product summary
Loading...
company name :
HUABIO
product type :
antibody
product name :
TIA1
catalog :
HA750385
quantity :
100μl
price :
649.00 USD
clonality :
monoclonal
host :
domestic rabbit
conjugate :
nonconjugated
clone name :
JM42-11
reactivity :
human, mouse
application :
western blot, immunoprecipitation, immunohistochemistry - paraffin section
more info or order :
image
image 1 :

Western blot analysis of TIA1 on different lysates with Rabbit anti-TIA1 antibody (HA750385) at 1/2,000 dilution.
Lane 1: Jurkat cell lysate (15 µg/Lane)
Lane 2: K-562 cell lysate (15 µg/Lane)
Lane 3: MOLT-4 cell lysate (15 µg/Lane)
Lane 4: HepG2 cell lysate (15 µg/Lane)
Lane 5: A20 cell lysate (15 µg/Lane)
Lane 6: NIH/3T3 cell lysate (15 µg/Lane)
Lane 7: Human lung tissue lysate (30 µg/Lane)
Predicted band size: 43 kDa
Observed band size: 41/43 kDa
Exposure time: 2 minutes 6 seconds; ECL: K1801;
4-20% SDS-PAGE gel.
Proteins were transferred to a PVDF membrane and blocked with 5% NFDM/TBST for 1 hour at room temperature. The primary antibody (HA750385) at 1/2,000 dilution was used in 5% NFDM/TBST at 4℃ overnight. Goat Anti-Rabbit IgG - HRP Secondary Antibody (HA1001) at 1/50,000 dilution was used for 1 hour at room temperature.
image 2 :

Immunohistochemical analysis of paraffin-embedded human tonsil tissue with Rabbit anti-TIA1 antibody (HA750385) at 1/200 dilution.
The section was pre-treated using heat mediated antigen retrieval with sodium citrate buffer (pH 6.0) (high pressure) for 2 minutes. The tissues were blocked in 1% BSA for 20 minutes at room temperature, washed with ddH2O and PBS, and then probed with the primary antibody (HA750385) at 1/200 dilution for 1 hour at room temperature. The detection was performed using an HRP conjugated compact polymer system. DAB was used as the chromogen. Tissues were counterstained with hematoxylin and mounted with DPX.
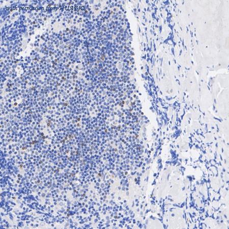
image 3 :

Immunohistochemical analysis of paraffin-embedded human spleen tissue with Rabbit anti-TIA1 antibody (HA750385) at 1/1,000 dilution.
The section was pre-treated using heat mediated antigen retrieval with sodium citrate buffer (pH 6.0) (high pressure) for 2 minutes. The tissues were blocked in 1% BSA for 20 minutes at room temperature, washed with ddH2O and PBS, and then probed with the primary antibody (HA750385) at 1/1,000 dilution for 1 hour at room temperature. The detection was performed using an HRP conjugated compact polymer system. DAB was used as the chromogen. Tissues were counterstained with hematoxylin and mounted with DPX.
product information
SKU :
HA750385
Target name :
TIA1
Species reactivity :
Human,Mouse
Applications :
WB,IF-Tissue,IHC-P,IP
Conjugate :
Non-conjugated
Immunogen :
Synthetic peptide within Human TIA1 aa 353-386 / 386.
Uniprot id :
P31483>SwissProt: P31483 Human;SwissProt: P52912 Mouse
Host :
Rabbit
Clone number :
JM42-11
Isotype :
IgG
Size :
100μl
List Price :
649.00 USD
Storage Buffer :
PBS (pH7.4).
Form :
Liquid
Storage Instruction :
Store at +4℃ after thawing. Aliquot store at -20℃ or -80℃. Avoid repeated freeze / thaw cycles.
Purity :
Protein A affinity purified.
Product type :
Recombinant Rabbit monoclonal Antibody
Positive control :
Jurkat cell lysate, K-562 cell lysate, MOLT-4 cell lysate, HepG2 cell lysate, A20 cell lysate, NIH/3T3 cell lysate, Human lung tissue lysate, human tonsil tissue, human spleen tissue.
Molecular wt :
Predicted band size: 43 kDa
Subcellular location :
Nucleus, Cytoplasm, Stress granule.
Concentration :
1 mg/mL.
Recommended dilutions :
WB: 1:500-1:2,000
;IF-Tissue: 1:50
;IHC-P: 1:200-1:1,000
;IP: 1-2μg/sample
Pic img4 :
https://storage.huabio.cn/huabio/productImg/HA750385_4.jpg
Pic legend4 :
Immunofluorescence analysis of paraffin-embedded human spleen tissue labeling TIA1 with Rabbit anti-TIA1 antibody (HA750385) at 1/50 dilution.
The section was pre-treated using heat mediated antigen retrieval with Tris-EDTA buffer (pH 9.0) for 20 minutes. The tissues were blocked in 10% negative goat serum for 1 hour at room temperature, washed with PBS, and then probed with the primary antibody (HA750385, green) at 1/50 dilution overnight at 4 ℃, washed with PBS. Goat Anti-Rabbit IgG H&L (iFluor™ 488, HA1121) was used as the secondary antibody at 1/1,000 dilution. Nuclei were counterstained with DAPI (blue).
more info or order :
company information

HUABIO
Founded in 2007, HUABIO is dedicated to developing high-quality antibodies that advance innovation. We are passionate about the accuracy, efficiency, and consistency of our products. That is why we have invested in new production platforms, like recombinant rabbit monoclonals, alpaca nanobodies, and adopted aggressive QA standards to deliver cutting-edge antibodies with uncompromised quality.
We hope to see you at your next discovery!
We hope to see you at your next discovery!
related products
browse more products
questions and comments
