product summary
Loading...
company name :
HUABIO
product type :
antibody
product name :
Cytokeratin 9
catalog :
HA750302
quantity :
100μl
price :
649.00 USD
clonality :
monoclonal
host :
domestic rabbit
conjugate :
nonconjugated
clone name :
SD201-09
reactivity :
human, mouse, rat
application :
western blot, immunoprecipitation, immunohistochemistry - paraffin section
more info or order :
image
image 1 :

Western blot analysis of Cytokeratin 9 on different lysates with Rabbit anti-Cytokeratin 9 antibody (HA750302) at 1/1,000 dilution.
Lane 1: HAP1-parental cell lysate
Lane 2: HAP1-Cytokeratin 9 KD cell lysate
Lysates/proteins at 10 µg/Lane.
Predicted band size: 62 kDa
Observed band size: 62 kDa
Exposure time: 18 seconds; ECL: K1801;
4-20% SDS-PAGE gel.
Proteins were transferred to a PVDF membrane and blocked with 5% NFDM/TBST for 1 hour at room temperature. The primary antibody (HA750302) at 1/1,000 dilution was used in primary antibody dilution (K1803) at 4℃ overnight. Goat Anti-Rabbit IgG - HRP Secondary Antibody (HA1001) at 1/50,000 dilution was used for 1 hour at room temperature.
image 2 :

Western blot analysis of Cytokeratin 9 on A431 cell lysates. Proteins were transferred to a PVDF membrane and blocked with 5% BSA in PBS for 1 hour at room temperature. The primary antibody (HA750302, 1/500) was used in 5% BSA at room temperature for 2 hours. Goat Anti-Rabbit IgG - HRP Secondary Antibody (HA1001) at 1:200,000 dilution was used for 1 hour at room temperature.
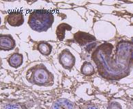
image 3 :

Immunohistochemical analysis of paraffin-embedded mouse skin tissue using anti-Cytokeratin 9 antibody. The section was pre-treated using heat mediated antigen retrieval with Tris-EDTA buffer (pH 8.0-8.4) for 20 minutes.The tissues were blocked in 5% BSA for 30 minutes at room temperature, washed with ddH2O and PBS, and then probed with the primary antibody (HA750302, 1/50) for 30 minutes at room temperature. The detection was performed using an HRP conjugated compact polymer system. DAB was used as the chromogen. Tissues were counterstained with hematoxylin and mounted with DPX.
product information
SKU :
HA750302
Target name :
Cytokeratin 9
Species reactivity :
Human,Mouse,Rat
Applications :
WB,IHC-P,IF-Tissue,IF-Cell,IP
Conjugate :
Non-conjugated
Immunogen :
Recombinant protein wiehin Human Cytokeratin 9 aa 234-422 / 623.
Uniprot id :
P35527>SwissProt: P35527 Human;SwissProt: Q6RHW0 Mouse;SwissProt: Q8CIS9 Rat
Host :
Rabbit
Clone number :
SD201-09
Isotype :
IgG
Size :
100μl
List Price :
649.00 USD
Storage Buffer :
PBS (pH7.4).
Form :
Liquid
Storage Instruction :
Store at +4℃ after thawing. Aliquot store at -20℃ or -80℃. Avoid repeated freeze / thaw cycles.
Purity :
Protein A affinity purified.
Product type :
Recombinant Rabbit monoclonal Antibody
Positive control :
A431 cell lysates, mouse skin tissue, human breast tissue, MCF-7.
Molecular wt :
Predicted band size: 62 kDa
Subcellular location :
Extracellular exosome, membrane, nucleus.
Concentration :
1 mg/mL.
Recommended dilutions :
WB: 1:500-1:1,000
;IHC-P: 1:50-1:200
;IF-Tissue: 1:50-1:200
;IF-Cell: 1:50
Advanced Validation :
Knockdown (KD)
Pic img4 :
https://storage.huabio.cn/huabio/productImg/HA750302_4.jpg
Pic legend4 :
Immunofluorescence analysis of paraffin-embedded human breast tissue labeling Cytokeratin 9 (HA750302) and Vimentin (EM0401).
The section was pre-treated using heat mediated antigen retrieval with Tris-EDTA buffer (pH 9.0) for 20 minutes. The tissues were blocked in 10% negative goat serum for 1 hour at room temperature, washed with PBS. And then probed with the primary antibodies Cytokeratin 9 (ET1612-77, red) at 1/50 dilution and Vimentin (EM0401, green) at 1/500 dilution at +4℃ overnight, washed with PBS.
Goat Anti-Rabbit IgG H&L (iFluor™ 594, HA1122) and Goat Anti-Mouse IgG H&L (iFluor™ 488, HA1125) were used as the secondary antibodies at 1/1,000 dilution. Nuclei were counterstained with DAPI (blue).
Pic img5 :
https://storage.huabio.cn/huabio/productImg/HA750302_5.jpg
Pic legend5 :
Immunofluorescence analysis of paraffin-embedded human breast tissue labeling Cytokeratin 9 (HA750302).
The section was pre-treated using heat mediated antigen retrieval with Tris-EDTA buffer (pH 9.0) for 20 minutes. The tissues were blocked in 10% negative goat serum for 1 hour at room temperature, washed with PBS. And then probed with the primary antibodies Cytokeratin 9 (ET1612-77, red) at 1/50 dilution at +4℃ overnight, washed with PBS.
Goat Anti-Rabbit IgG H&L (iFluor™ 594, HA1122) was used as the secondary antibodies at 1/1,000 dilution. Nuclei were counterstained with DAPI (blue).
Pic img6 :
https://storage.huabio.cn/huabio/productImg/HA750302_6.jpg
Pic legend6 :
Immunocytochemistry analysis of MCF-7 cells labeling Cytokeratin 9 (HA750302).
Cells were fixed in 4% paraformaldehyde and permeabilized with 0.05% Triton X-100 in PBS for 10 minutes, and then blocked with 2% negative goat serum for 15 minutes at room temperature. Cells were probed with the primary antibody Cytokeratin 9 (ET1612-77, red) at 1/200 dilution for overnight at 4℃.
Goat Anti-Rabbit IgG H&L (iFluor™ 594, HA1122) was used as the secondary antibody at 1/800 dilution. DAPI was used to stain the cell nuclei (blue).
more info or order :
company information

HUABIO
Founded in 2007, HUABIO is dedicated to developing high-quality antibodies that advance innovation. We are passionate about the accuracy, efficiency, and consistency of our products. That is why we have invested in new production platforms, like recombinant rabbit monoclonals, alpaca nanobodies, and adopted aggressive QA standards to deliver cutting-edge antibodies with uncompromised quality.
We hope to see you at your next discovery!
We hope to see you at your next discovery!
related products
browse more products
questions and comments
