product summary
Loading...
company name :
HUABIO
product type :
antibody
product name :
Tyrosine Hydroxylase
catalog :
HA750243
quantity :
100μl
price :
649.00 USD
clonality :
monoclonal
host :
domestic rabbit
conjugate :
nonconjugated
clone name :
SN59-03
reactivity :
human, mouse, rat
application :
western blot, flow cytometry, immunohistochemistry - paraffin section, immunohistochemistry - frozen section
more info or order :
image
image 1 :

Immunofluorescence analysis of frozen mouse brain tissue with Rabbit anti-Tyrosine Hydroxylase antibody (HA750243) at 1/200 dilution.
The section was pre-treated using heat mediated antigen retrieval with sodium citrate buffer (pH 6.0) for about 2 minutes in microwave oven. The tissues were blocked in 10% negative goat serum for 1 hour at room temperature, washed with PBS, and then probed with the primary antibody (HA750243, green) at 1/200 dilution overnight at 4 ℃, washed with PBS. Goat Anti-Rabbit IgG H&L (iFluor™ 488, HA1121) was used as the secondary antibody at 1/1,000 dilution. Nuclei were counterstained with DAPI (blue).
image 2 :

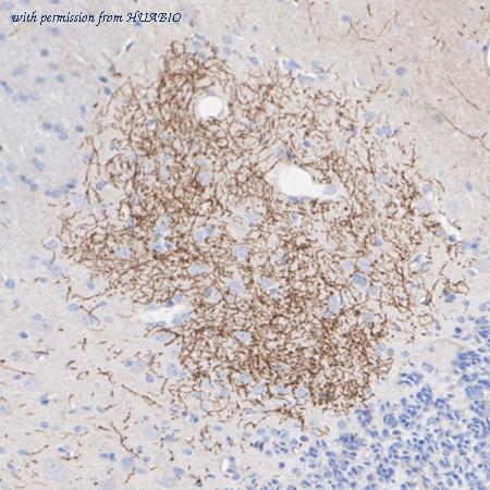
Immunohistochemical analysis of paraffin-embedded mouse brain tissue with Rabbit anti-Tyrosine Hydroxylase antibody (HA750243) at 1/2,000 dilution.
The section was pre-treated using heat mediated antigen retrieval with Tris-EDTA buffer (pH 9.0) for 20 minutes. The tissues were blocked in 1% BSA for 20 minutes at room temperature, washed with ddH2O and PBS, and then probed with the primary antibody (HA750243) at 1/2,000 dilution for 1 hour at room temperature. The detection was performed using an HRP conjugated compact polymer system. DAB was used as the chromogen. Tissues were counterstained with hematoxylin and mounted with DPX.
image 3 :

Immunohistochemical analysis of paraffin-embedded rat brain tissue with Rabbit anti-Tyrosine Hydroxylase antibody (HA750243) at 1/2,000 dilution.
The section was pre-treated using heat mediated antigen retrieval with Tris-EDTA buffer (pH 9.0) for 20 minutes. The tissues were blocked in 1% BSA for 20 minutes at room temperature, washed with ddH2O and PBS, and then probed with the primary antibody (HA750243) at 1/2,000 dilution for 1 hour at room temperature. The detection was performed using an HRP conjugated compact polymer system. DAB was used as the chromogen. Tissues were counterstained with hematoxylin and mounted with DPX.
product information
SKU :
HA750243
Target name :
Tyrosine Hydroxylase
Species reactivity :
Human,Mouse,Rat,Cynomolgus monkey
Applications :
WB,IF-Cell,IHC-P,FC,IF-Tissue,IHC-Fr
Conjugate :
Non-conjugated
Immunogen :
Synthetic peptide within C-terminal human Tyrosine Hydroxylase.
Uniprot id :
P07101>SwissProt: P07101 Human;SwissProt: P24529 Mouse;SwissProt: P04177 Rat
Host :
Rabbit
Clone number :
SN59-03
Isotype :
IgG
Size :
100μl
List Price :
649.00 USD
Storage Buffer :
PBS (pH7.4).
Form :
Liquid
Storage Instruction :
Store at +4℃ after thawing. Aliquot store at -20℃ or -80℃. Avoid repeated freeze / thaw cycles.
Purity :
Protein A affinity purified.
Product type :
Recombinant Rabbit monoclonal Antibody
Positive control :
Rat brain tissue lysates, PC-12 cell lysates, N2A, NIH/3T3, SH-SY5Y, mouse brain tissue, rat brain tissue, HEK-293.
Molecular wt :
Predicted band size: 59 kDa
Subcellular location :
Cytoplasm
Concentration :
1 mg/mL.
Recommended dilutions :
WB: 1:1,000-1:10,000
;IF-Cell: 1:50-1:200
;IHC-P: 1:2,000
;IHC-Fr: 1:200-1:1,000
;FC: 1:1,000
;IF-Tissue: 1:200
Pic img4 :
https://storage.huabio.cn/huabio/productImg/HA750243_4.jpg
Pic legend4 :
Western blot analysis of Tyrosine Hydroxylase on rat brain tissue lysates with Rabbit anti-Tyrosine Hydroxylase antibody (HA750243) at 1/1,000 dilution.
Lysates/proteins at 20 µg/Lane.
Predicted band size: 59 kDa
Observed band size: 59 kDa
Exposure time: 2 minutes;
10% SDS-PAGE gel.
Proteins were transferred to a PVDF membrane and blocked with 5% NFDM/TBST for 1 hour at room temperature. The primary antibody (HA750243) at 1/1,000 dilution was used in 5% NFDM/TBST at room temperature for 2 hours. Goat Anti-Rabbit IgG - HRP Secondary Antibody (HA1001) at 1:300,000 dilution was used for 1 hour at room temperature.
Pic img5 :
https://storage.huabio.cn/huabio/productImg/HA750243_5.jpg
Pic legend5 :
Western blot analysis of Tyrosine Hydroxylase on PC-12 cell lysates with Rabbit anti-Tyrosine Hydroxylase antibody (HA750243) at 1/2,000 dilution.
Lysates/proteins at 15 µg/Lane.
Predicted band size: 59 kDa
Observed band size: 59 kDa
Exposure time: 24 seconds; ECL: K1801;
4-20% SDS-PAGE gel.
Proteins were transferred to a PVDF membrane and blocked with 5% NFDM/TBST for 1 hour at room temperature. The primary antibody (HA750243) at 1/2,000 dilution was used in 5% NFDM/TBST at 4℃ overnight. Goat Anti-Rabbit IgG - HRP Secondary Antibody (HA1001) at 1/50,000 dilution was used for 1 hour at room temperature.
Pic img6 :
https://storage.huabio.cn/huabio/productImg/HA750243_6.jpg
Pic legend6 :
Immunofluorescence analysis of paraffin-embedded mouse brain tissue labeling Tyrosine Hydroxylase with Rabbit anti-Tyrosine Hydroxylase antibody (HA750243) at 1/200 dilution.
The section was pre-treated using heat mediated antigen retrieval with Tris-EDTA buffer (pH 9.0) for 20 minutes. The tissues were blocked in 10% negative goat serum for 1 hour at room temperature, washed with PBS, and then probed with the primary antibody (HA750243, green) at 1/200 dilution overnight at 4 ℃, washed with PBS. Goat Anti-Rabbit IgG H&L (iFluor™ 488, HA1121) was used as the secondary antibody at 1/1,000 dilution. Nuclei were counterstained with DAPI (blue).
Pic img7 :
https://storage.huabio.cn/huabio/productImg/HA750243_7.jpg
Pic legend7 :
Immunofluorescence analysis of paraffin-embedded rat brain tissue labeling Tyrosine Hydroxylase with Rabbit anti-Tyrosine Hydroxylase antibody (HA750243) at 1/200 dilution.
The section was pre-treated using heat mediated antigen retrieval with Tris-EDTA buffer (pH 9.0) for 20 minutes. The tissues were blocked in 10% negative goat serum for 1 hour at room temperature, washed with PBS, and then probed with the primary antibody (HA750243, green) at 1/200 dilution overnight at 4 ℃, washed with PBS. Goat Anti-Rabbit IgG H&L (iFluor™ 488, HA1121) was used as the secondary antibody at 1/1,000 dilution. Nuclei were counterstained with DAPI (blue).
Pic img8 :
https://storage.huabio.cn/huabio/productImg/HA750243_8.jpg
Pic legend8 :
Immunocytochemistry analysis of N2A cells labeling Tyrosine Hydroxylase with Rabbit anti-Tyrosine Hydroxylase antibody (HA750243) at 1/50 dilution.
Cells were fixed in 4% paraformaldehyde for 10 minutes at 37 ℃, permeabilized with 0.05% Triton X-100 in PBS for 20 minutes, and then blocked with 2% negative goat serum for 30 minutes at room temperature. Cells were then incubated with Rabbit anti-Tyrosine Hydroxylase antibody (HA750243) at 1/50 dilution in 2% negative goat serum overnight at 4 ℃. Goat Anti-Rabbit IgG H&L (iFluor™ 488, HA1121) was used as the secondary antibody at 1/1,000 dilution. PBS instead of the primary antibody was used as the secondary antibody only control. Nuclear DNA was labelled in blue with DAPI.
Pic img9 :
https://storage.huabio.cn/huabio/productImg/HA750243_9.jpg
Pic legend9 :
Immunocytochemistry analysis of NIH/3T3 cells labeling Tyrosine Hydroxylase with Rabbit anti-Tyrosine Hydroxylase antibody (HA750243) at 1/50 dilution.
Cells were fixed in 4% paraformaldehyde for 10 minutes at 37 ℃, permeabilized with 0.05% Triton X-100 in PBS for 20 minutes, and then blocked with 2% negative goat serum for 30 minutes at room temperature. Cells were then incubated with Rabbit anti-Tyrosine Hydroxylase antibody (HA750243) at 1/50 dilution in 2% negative goat serum overnight at 4 ℃. Goat Anti-Rabbit IgG H&L (iFluor™ 488, HA1121) was used as the secondary antibody at 1/1,000 dilution. PBS instead of the primary antibody was used as the secondary antibody only control. Nuclear DNA was labelled in blue with DAPI.
Pic img10 :
https://storage.huabio.cn/huabio/productImg/HA750243_10.jpg
Pic legend10 :
Immunocytochemistry analysis of SH-SY5Y cells labeling Tyrosine Hydroxylase with Rabbit anti-Tyrosine Hydroxylase antibody (HA750243) at 1/50 dilution.
Cells were fixed in 4% paraformaldehyde for 10 minutes at 37 ℃, permeabilized with 0.05% Triton X-100 in PBS for 20 minutes, and then blocked with 2% negative goat serum for 30 minutes at room temperature. Cells were then incubated with Rabbit anti-Tyrosine Hydroxylase antibody (HA750243) at 1/50 dilution in 2% negative goat serum overnight at 4 ℃. Goat Anti-Rabbit IgG H&L (iFluor™ 488, HA1121) was used as the secondary antibody at 1/1,000 dilution. PBS instead of the primary antibody was used as the secondary antibody only control. Nuclear DNA was labelled in blue with DAPI.
Pic img11 :
https://storage.huabio.cn/huabio/productImg/HA750243_11.jpg
Pic legend11 :
Flow cytometric analysis of HEK-293 cells labeling Tyrosine Hydroxylase.
Cells were fixed and permeabilized. Then stained with the primary antibody (HA750243, 1μg/mL) (red) compared with Rabbit IgG Isotype Control (green). After incubation of the primary antibody at +4℃ for an hour, the cells were stained with a iFluor™ 488 conjugate-Goat anti-Rabbit IgG Secondary antibody (HA1121) at 1/1,000 dilution for 30 minutes at +4℃. Unlabelled sample was used as a control (cells without incubation with primary antibody; black).
more info or order :
company information

HUABIO
Founded in 2007, HUABIO is dedicated to developing high-quality antibodies that advance innovation. We are passionate about the accuracy, efficiency, and consistency of our products. That is why we have invested in new production platforms, like recombinant rabbit monoclonals, alpaca nanobodies, and adopted aggressive QA standards to deliver cutting-edge antibodies with uncompromised quality.
We hope to see you at your next discovery!
We hope to see you at your next discovery!
related products
browse more products
questions and comments
