product summary
Loading...
company name :
HUABIO
product type :
antibody
product name :
Aurora B
catalog :
HA750208
quantity :
100μl
price :
649.00 USD
clonality :
monoclonal
host :
domestic rabbit
conjugate :
nonconjugated
clone name :
SC55-08
reactivity :
human, mouse, rat
application :
western blot, immunoprecipitation, immunohistochemistry - paraffin section
more info or order :
image
image 1 :

Western blot analysis of Aurora B on different lysates using anti-Aurora B antibody at 1/1,000 dilution.
Positive control: Lane 1: Hela cell lysates Lane 2: MCF-7 cell lysates
image 2 :

All lanes: Western blot analysis of Aurora B with anti-Aurora B antibody (HA750208) at 1:500 dilution.
Lane 1: Wild-type Hela whole cell lysate (10 µg).
Lane 2: Aurora B knockdown Hela whole cell lysate (10 µg).
ET1610-25 was shown to specifically react with Aurora B in wild-type Hela cells. Weakened band was observed when Aurora B knockdown sample was tested. Wild-type and Aurora B knockdown samples were subjected to SDS-PAGE. Proteins were transferred to a PVDF membrane and blocked with 5% NFDM in TBST for 1 hour at room temperature. The primary antibody (ET1610-25, 1:500) was used in 5% BSA at room temperature for 2 hours. Goat Anti-Rabbit IgG-HRP Secondary Antibody (HA1001) at 1:200,000 dilution was used for 1 hour at room temperature.
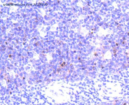
image 3 :

Immunohistochemical analysis of paraffin-embedded human tonsil tissue using anti-Aurora B antibody. Counter stained with hematoxylin.
product information
SKU :
HA750208
Target name :
Aurora B
Species reactivity :
Human
Applications :
WB,IHC-P,IP,IF-Cell
Conjugate :
Non-conjugated
Immunogen :
Synthetic peptide within Human Aurora B aa 1-50 / 344.
Uniprot id :
Q96GD4>SwissProt: Q96GD4 Human;SwissProt: O70126 Mouse;SwissProt: O55099 Rat
Host :
Rabbit
Clone number :
SC55-08
Isotype :
IgG
Size :
100μl
List Price :
649.00 USD
Storage Buffer :
PBS (pH7.4).
Form :
Liquid
Storage Instruction :
Store at +4℃ after thawing. Aliquot store at -20℃ or -80℃. Avoid repeated freeze / thaw cycles.
Purity :
Protein A affinity purified.
Product type :
Recombinant Rabbit monoclonal Antibody
Positive control :
Hela cell lysate, MCF-7 cell lysate, human tonsil tissue, HeLa.
Molecular wt :
Predicted band size: 39 kDa
Subcellular location :
Nucleus, Cytoplasm, Chromosome.
Concentration :
1 mg/mL.
Recommended dilutions :
WB: 1:1,000-1:2,000
;IHC-P: 1:50-1:200
;IF-Cell: 1:100
Advanced Validation :
Knockdown (KD)
Pic img4 :
https://storage.huabio.cn/huabio/productImg/HA750208_4.jpg
Pic legend4 :
Immunocytochemistry analysis of HeLa cells labeling Aurora B with Rabbit anti-Aurora B antibody (HA750208) at 1/100 dilution.
Cells were fixed in 4% paraformaldehyde for 20 minutes at room temperature, permeabilized with 0.1% Triton X-100 in PBS for 5 minutes at room temperature, then blocked with 1% BSA in 10% negative goat serum for 1 hour at room temperature. Cells were then incubated with Rabbit anti-Aurora B antibody (HA750208) at 1/100 dilution in 1% BSA in PBST overnight at 4 ℃. Goat Anti-Rabbit IgG H&L (iFluor™ 488, HA1121) was used as the secondary antibody at 1/1,000 dilution. PBS instead of the primary antibody was used as the secondary antibody only control. Nuclear DNA was labelled in blue with DAPI.
more info or order :
company information

HUABIO
Founded in 2007, HUABIO is dedicated to developing high-quality antibodies that advance innovation. We are passionate about the accuracy, efficiency, and consistency of our products. That is why we have invested in new production platforms, like recombinant rabbit monoclonals, alpaca nanobodies, and adopted aggressive QA standards to deliver cutting-edge antibodies with uncompromised quality.
We hope to see you at your next discovery!
We hope to see you at your next discovery!
related products
browse more products
questions and comments
