product summary
Loading...
company name :
HUABIO
product type :
antibody
product name :
Cytokeratin 8
catalog :
HA750145
quantity :
100μl
price :
649.00 USD
clonality :
monoclonal
host :
domestic rabbit
conjugate :
nonconjugated
clone name :
SU0338
reactivity :
human, mouse, rat
application :
western blot, immunoprecipitation, flow cytometry, immunohistochemistry - paraffin section
more info or order :
image
image 1 :

Western blot analysis of Cytokeratin 8 on different lysates with Rabbit anti-Cytokeratin 8 antibody (HA750145) at 1/1,000 dilution.
Lane 1: Hela cell lysate (10 µg/Lane)
Lane 2: A431 cell lysate (10 µg/Lane)
Predicted band size: 54 kDa
Observed band size: 54 kDa
Exposure time: 30 seconds;
10% SDS-PAGE gel.
Proteins were transferred to a PVDF membrane and blocked with 5% NFDM/TBST for 1 hour at room temperature. The primary antibody (HA750145) at 1/1,000 dilution was used in 5% NFDM/TBST at room temperature for 2 hours. Goat Anti-Rabbit IgG - HRP Secondary Antibody (HA1001) at 1:300,000 dilution was used for 1 hour at room temperature.
image 2 :

Western blot analysis of Cytokeratin 8 on different lysates with Rabbit anti-Cytokeratin 8 antibody (HA750145) at 1/2,000 dilution.
Lane 1: Hela-si NT cell lysate (10 µg/Lane)
Lane 2: Hela-si Cytokeratin 8 cell lysate (10 µg/Lane)
Predicted band size: 54 kDa
Observed band size: 54 kDa
Exposure time: 24 seconds;
4-20% SDS-PAGE gel.
ET1608-32 was shown to specifically react with Cytokeratin 8 in Hela-si NT cells. Weakened band was observed when Hela-si Cytokeratin 8 sample was tested. Hela-si NT and Hela-si Cytokeratin 8 samples were subjected to SDS-PAGE. Proteins were transferred to a PVDF membrane and blocked with 5% NFDM in TBST for 1 hour at room temperature. The primary antibody (ET1608-32, 1/2,000) and Loading control antibody (Rabbit anti-GAPDH, ET1601-4, 1/10,000) were used in 5% NFDM/TBST at 4℃ overnight. Goat Anti-rabbit IgG-HRP Secondary Antibody (HA1001) at 1:50,000 dilution was used for 1 hour at room temperature.
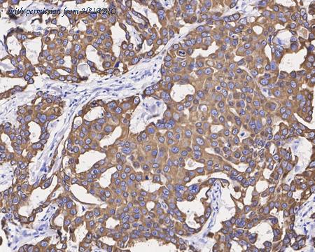
image 3 :

Immunohistochemical analysis of paraffin-embedded human breast carcinoma tissue with Rabbit anti-Cytokeratin 8 antibody (HA750145) at 1/1,500 dilution.
The section was pre-treated using heat mediated antigen retrieval with Tris-EDTA buffer (pH 9.0) for 20 minutes. The tissues were blocked in 1% BSA for 20 minutes at room temperature, washed with ddH2O and PBS, and then probed with the primary antibody (HA750145) at 1/1,500 dilution for 1 hour at room temperature. The detection was performed using an HRP conjugated compact polymer system. DAB was used as the chromogen. Tissues were counterstained with hematoxylin and mounted with DPX.
product information
SKU :
HA750145
Target name :
Cytokeratin 8
Species reactivity :
Human,Mouse,Rat
Applications :
WB,IF-Cell,IF-Tissue,IHC-P,IP,FC
Conjugate :
Non-conjugated
Immunogen :
Synthetic peptide within Human Cytokeratin 8 aa 321-370 / 483.
Uniprot id :
P05787>SwissProt: P05787 Human;SwissProt: P11679 Mouse;SwissProt: Q10758 Rat
Host :
Rabbit
Clone number :
SU0338
Isotype :
IgG
Size :
100μl
List Price :
649.00 USD
Storage Buffer :
PBS (pH7.4).
Form :
Liquid
Storage Instruction :
Store at +4℃ after thawing. Aliquot store at -20℃. Avoid repeated freeze / thaw cycles.
Purity :
Protein A affinity purified.
Product type :
Recombinant Rabbit monoclonal Antibody
Positive control :
Hela cell lysate, A431 cell lysate, Hela, MCF-7, A431, human breast carcinoma tissue, human breast tissue, human liver tissue, mouse liver tissue, rat liver tissue, SK-Br-3, HepG2.
Molecular wt :
Predicted band size: 54 kDa
Subcellular location :
Nucleoplasm, Nucleus matrix, Cytoplasm.
Concentration :
1 mg/mL.
Recommended dilutions :
WB: 1:1,000-1:2,000
;IF-Cell: 1:400-1:800
;IF-Tissue: 1:400-1:800
;IHC-P: 1:1,000-1:1,500
;FC: 1:500-1:1,000
;IP: Use at an assay dependent concentration.
Advanced Validation :
Knockdown (KD)
Pic img4 :
https://storage.huabio.cn/huabio/productImg/HA750145_4.jpg
Pic legend4 :
Immunohistochemical analysis of paraffin-embedded human breast carcinoma tissue with Rabbit anti-Cytokeratin 8 antibody (HA750145) at 1/1,500 dilution.
The section was not undergone antigen retrieval. The tissues were blocked in 1% BSA for 20 minutes at room temperature, washed with ddH2O and PBS, and then probed with the primary antibody (HA750145) at 1/1,500 dilution for 1 hour at room temperature. The detection was performed using an HRP conjugated compact polymer system. DAB was used as the chromogen. Tissues were counterstained with hematoxylin and mounted with DPX.
Pic img5 :
https://storage.huabio.cn/huabio/productImg/HA750145_5.jpg
Pic legend5 :
Immunohistochemical analysis of paraffin-embedded human breast tissue with Rabbit anti-Cytokeratin 8 antibody (HA750145) at 1/1,500 dilution.
The section was not undergone antigen retrieval. The tissues were blocked in 1% BSA for 20 minutes at room temperature, washed with ddH2O and PBS, and then probed with the primary antibody (HA750145) at 1/1,500 dilution for 1 hour at room temperature. The detection was performed using an HRP conjugated compact polymer system. DAB was used as the chromogen. Tissues were counterstained with hematoxylin and mounted with DPX.
Pic img6 :
https://storage.huabio.cn/huabio/productImg/HA750145_6.jpg
Pic legend6 :
Immunohistochemical analysis of paraffin-embedded human liver tissue with Rabbit anti-Cytokeratin 8 antibody (HA750145) at 1/1,000 dilution.
The section was pre-treated using heat mediated antigen retrieval with Tris-EDTA buffer (pH 9.0) for 20 minutes. The tissues were blocked in 1% BSA for 20 minutes at room temperature, washed with ddH2O and PBS, and then probed with the primary antibody (HA750145) at 1/1,000 dilution for 1 hour at room temperature. The detection was performed using an HRP conjugated compact polymer system. DAB was used as the chromogen. Tissues were counterstained with hematoxylin and mounted with DPX.
Pic img7 :
https://storage.huabio.cn/huabio/productImg/HA750145_7.jpg
Pic legend7 :
Immunohistochemical analysis of paraffin-embedded mouse liver tissue with Rabbit anti-Cytokeratin 8 antibody (HA750145) at 1/1,000 dilution.
The section was pre-treated using heat mediated antigen retrieval with Tris-EDTA buffer (pH 9.0) for 20 minutes. The tissues were blocked in 1% BSA for 20 minutes at room temperature, washed with ddH2O and PBS, and then probed with the primary antibody (HA750145) at 1/1,000 dilution for 1 hour at room temperature. The detection was performed using an HRP conjugated compact polymer system. DAB was used as the chromogen. Tissues were counterstained with hematoxylin and mounted with DPX.
Pic img8 :
https://storage.huabio.cn/huabio/productImg/HA750145_8.jpg
Pic legend8 :
Immunohistochemical analysis of paraffin-embedded rat liver tissue with Rabbit anti-Cytokeratin 8 antibody (HA750145) at 1/1,000 dilution.
The section was pre-treated using heat mediated antigen retrieval with Tris-EDTA buffer (pH 9.0) for 20 minutes. The tissues were blocked in 1% BSA for 20 minutes at room temperature, washed with ddH2O and PBS, and then probed with the primary antibody (HA750145) at 1/1,000 dilution for 1 hour at room temperature. The detection was performed using an HRP conjugated compact polymer system. DAB was used as the chromogen. Tissues were counterstained with hematoxylin and mounted with DPX.
Pic img9 :
https://storage.huabio.cn/huabio/productImg/HA750145_9.jpg
Pic legend9 :
Immunofluorescence analysis of paraffin-embedded human breast tissue labeling Cytokeratin 8 (HA750145).
The section was pre-treated using heat mediated antigen retrieval with Tris-EDTA buffer (pH 9.0) for 20 minutes. The tissues were blocked in 10% negative goat serum for 1 hour at room temperature, washed with PBS. And then probed with the primary antibodies Cytokeratin 8 (HA750145, red) at 1/400 dilution at +4℃ overnight, washed with PBS.
Goat Anti-Rabbit IgG H&L (iFluor™ 594, HA1122) was used as the secondary antibodies at 1/1,000 dilution. Nuclei were counterstained with DAPI (blue).
Pic img10 :
https://storage.huabio.cn/huabio/productImg/HA750145_10.jpg
Pic legend10 :
Immunofluorescence analysis of paraffin-embedded human liver tissue labeling Cytokeratin 8 (HA750145) and Vimentin (EM0401).
The section was pre-treated using heat mediated antigen retrieval with Tris-EDTA buffer (pH 9.0) for 20 minutes. The tissues were blocked in 10% negative goat serum for 1 hour at room temperature, washed with PBS. And then probed with the primary antibodies Cytokeratin 8 (HA750145, red) at 1/50 dilution and Vimentin (EM0401, green) at 1/500 dilution at +4℃ overnight, washed with PBS.
Goat Anti-Rabbit IgG H&L (iFluor™ 594, HA1122) and Goat Anti-Mouse IgG H&L (iFluor™ 488, HA1125) were used as the secondary antibodies at 1/1,000 dilution. Nuclei were counterstained with DAPI (blue).
Pic img11 :
https://storage.huabio.cn/huabio/productImg/HA750145_11.jpg
Pic legend11 :
Immunocytochemistry analysis of SK-Br-3 cells labeling Cytokeratin 8 (HA750145).
Cells were fixed in 4% paraformaldehyde and permeabilized with 0.05% Triton X-100 in PBS for 10 minutes, and then blocked with 2% negative goat serum for 15 minutes at room temperature. Cells were probed with the primary antibody Cytokeratin 8 (HA750145, red) at 1/50 dilution and Beta-tubulin (EM0103, yellow) at 1/500 dilution at +4℃ overnight.
Goat Anti-Rabbit IgG H&L (iFluor™ 594, HA1122) and Goat Anti-Mouse IgG H&L (iFluor™ 488, HA1125) were used as the secondary antibodies at 1/1,000 dilution. Nuclei were counterstained with DAPI (blue).
Pic img12 :
https://storage.huabio.cn/huabio/productImg/HA750145_12.jpg
Pic legend12 :
Flow cytometric analysis of HepG2 cells labeling Cytokeratin 8.
Cells were fixed and permeabilized. Then stained with the primary antibody (HA750145, 1ug/ml) (red) compared with Rabbit IgG Isotype Control (green). After incubation of the primary antibody at +4℃ for an hour, the cells were stained with a iFluor™ 488 conjugate-Goat anti-Rabbit IgG Secondary antibody (HA1121) at 1/1,000 dilution for 30 minutes at +4℃. Unlabelled sample was used as a control (cells without incubation with primary antibody; black).
Pic img13 :
https://storage.huabio.cn/huabio/productImg/HA750145_13.jpg
Pic legend13 :
Cytokeratin 8 was immunoprecipitated in 0.2mg HeLa cell lysate with HA750145 at 2 µg/10 µl beads. Western blot was performed from the immunoprecipitate using HA750145 at 1/2,000 dilution. Anti-Rabbit IgG for IP Nano-secondary antibody (NBI01H) at 1/5,000 dilution was used for 1 hour at room temperature.
Lane 1: HeLa cell lysate (input)
Lane 2: Rabbit IgG instead of HA750145 in HeLa cell lysate
Lane 3: HA750145 IP in HeLa cell lysate
Blocking/Dilution buffer: 5% NFDM/TBST
Exposure time: 43 seconds
Pic img14 :
https://storage.huabio.cn/huabio/productImg/HA750145_14.jpg
Pic legend14 :
Immunocytochemistry analysis of HepG2 cells labeling Cytokeratin 8 with Rabbit anti-Cytokeratin 8 antibody (HA750145) at 1/100 dilution.
Cells were fixed in 4% paraformaldehyde for 20 minutes at room temperature, permeabilized with 0.1% Triton X-100 in PBS for 5 minutes at room temperature, then blocked with 1% BSA in 10% negative goat serum for 1 hour at room temperature. Cells were then incubated with Rabbit anti-Cytokeratin 8 antibody (HA750145) at 1/100 dilution in 1% BSA in PBST overnight at 4 ℃. Goat Anti-Rabbit IgG H&L (iFluor™ 488, HA1121) was used as the secondary antibody at 1/1,000 dilution. PBS instead of the primary antibody was used as the secondary antibody only control. Nuclear DNA was labelled in blue with DAPI.
Beta tubulin (M1305-2, red) was stained at 1/100 dilution overnight at +4℃. Goat Anti-Mouse IgG H&L (iFluor™ 594, HA1126) was used as the secondary antibody at 1/1,000 dilution.
more info or order :
company information

HUABIO
Founded in 2007, HUABIO is dedicated to developing high-quality antibodies that advance innovation. We are passionate about the accuracy, efficiency, and consistency of our products. That is why we have invested in new production platforms, like recombinant rabbit monoclonals, alpaca nanobodies, and adopted aggressive QA standards to deliver cutting-edge antibodies with uncompromised quality.
We hope to see you at your next discovery!
We hope to see you at your next discovery!
related products
browse more products
questions and comments
