product summary
Loading...
company name :
HUABIO
product type :
antibody
product name :
Cyclin B1
catalog :
HA750141
quantity :
100μl
price :
649.00 USD
clonality :
monoclonal
host :
domestic rabbit
conjugate :
nonconjugated
clone name :
SU33-03
reactivity :
human
application :
western blot, immunoprecipitation, immunohistochemistry - paraffin section
more info or order :
image
image 1 :

Western blot analysis of Cyclin B1 on different lysates with Rabbit anti-Cyclin B1 antibody (HA750141) at 1/5,000 dilution.
Lane 1: HeLa cell lysate
Lane 2: Jurkat cell lysate
Lane 3: HepG2 cell lysate
Lysates/proteins at 15 µg/Lane.
Predicted band size: 48 kDa
Observed band size: 55 kDa
Exposure time: 3 minutes 10 seconds;
4-20% SDS-PAGE gel.
Proteins were transferred to a PVDF membrane and blocked with 5% NFDM/TBST for 1 hour at room temperature. The primary antibody (HA750141) at 1/5,000 dilution was used in 5% NFDM/TBST at 4℃ overnight. Goat Anti-Rabbit IgG - HRP Secondary Antibody (HA1001) at 1:50,000 dilution was used for 1 hour at room temperature.
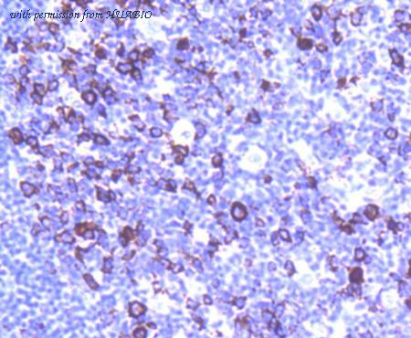
image 2 :

Immunohistochemical analysis of paraffin-embedded human tonsil tissue using anti-Cyclin B1 antibody. The section was pre-treated using heat mediated antigen retrieval with Tris-EDTA buffer (pH 8.0-8.4) for 20 minutes.The tissues were blocked in 5% BSA for 30 minutes at room temperature, washed with ddH2O and PBS, and then probed with the primary antibody (HA750141, 1/50) for 30 minutes at room temperature. The detection was performed using an HRP conjugated compact polymer system. DAB was used as the chromogen. Tissues were counterstained with hematoxylin and mounted with DPX.
image 3 :

Immunohistochemical analysis of paraffin-embedded human colon carcinoma tissue with Rabbit anti-Cyclin B1 antibody (HA750141) at 1/400 dilution.
The section was pre-treated using heat mediated antigen retrieval with Tris-EDTA buffer (pH 9.0) for 20 minutes. The tissues were blocked in 1% BSA for 20 minutes at room temperature, washed with ddH2O and PBS, and then probed with the primary antibody (HA750141) at 1/400 dilution for 1 hour at room temperature. The detection was performed using an HRP conjugated compact polymer system. DAB was used as the chromogen. Tissues were counterstained with hematoxylin and mounted with DPX.
product information
SKU :
HA750141
Target name :
Cyclin B1
Species reactivity :
Human
Applications :
WB,IF-Cell,IF-Tissue,IHC-P,IP
Conjugate :
Non-conjugated
Immunogen :
Synthetic peptide within Human Cyclin B1 aa 384-433 / 433.
Uniprot id :
P14635>SwissProt: P14635 Human
Host :
Rabbit
Clone number :
SU33-03
Isotype :
IgG
Size :
100μl
List Price :
649.00 USD
Storage Buffer :
PBS (pH7.4).
Form :
Liquid
Storage Instruction :
Store at +4℃ after thawing. Aliquot store at -20℃ or -80℃. Avoid repeated freeze / thaw cycles.
Purity :
Protein A affinity purified.
Product type :
Recombinant Rabbit monoclonal Antibody
Positive control :
HeLa cell lysate, Jurkat cell lysate, HepG2 cell lysate, human tonsil tissue, human colon carcinoma tissue, human lymph nodes tissue, human breast carcinoma tissue.
Molecular wt :
Predicted band size: 48 kDa
Subcellular location :
Cytoplasm, Nucleus.
Concentration :
1 mg/mL.
Recommended dilutions :
WB: 1:5,000
;IF-Cell: 1:50-1:200
;IF-Tissue: 1:50-1:200
;IHC-P: 1:50-1:400
;IP: Use at an assay dependent concentration.
Advanced Validation :
Knockdown (KD)
Pic img4 :
https://storage.huabio.cn/huabio/productImg/HA750141_4.jpg
Pic legend4 :
Immunohistochemical analysis of paraffin-embedded human lymph nodes tissue with Rabbit anti-Cyclin B1 antibody (HA750141) at 1/400 dilution.
The section was pre-treated using heat mediated antigen retrieval with Tris-EDTA buffer (pH 9.0) for 20 minutes. The tissues were blocked in 1% BSA for 20 minutes at room temperature, washed with ddH2O and PBS, and then probed with the primary antibody (HA750141) at 1/400 dilution for 1 hour at room temperature. The detection was performed using an HRP conjugated compact polymer system. DAB was used as the chromogen. Tissues were counterstained with hematoxylin and mounted with DPX.
Pic img5 :
https://storage.huabio.cn/huabio/productImg/HA750141_5.jpg
Pic legend5 :
Immunohistochemical analysis of paraffin-embedded human breast carcinoma tissue with Rabbit anti-Cyclin B1 antibody (HA750141) at 1/400 dilution.
The section was pre-treated using heat mediated antigen retrieval with Tris-EDTA buffer (pH 9.0) for 20 minutes. The tissues were blocked in 1% BSA for 20 minutes at room temperature, washed with ddH2O and PBS, and then probed with the primary antibody (HA750141) at 1/400 dilution for 1 hour at room temperature. The detection was performed using an HRP conjugated compact polymer system. DAB was used as the chromogen. Tissues were counterstained with hematoxylin and mounted with DPX.
Pic img6 :
https://storage.huabio.cn/huabio/productImg/HA750141_6.jpg
Pic legend6 :
All lanes: Western blot analysis of CCNB1 with anti-CCNB1 antibody[SU33-03] (HA750141) at 1:500 dilution.
Lane 1: Wild-type Hela whole cell lysate (10 µg).
Lane 2: CCNB1 knockdown Hela whole cell lysate (10 µg).
ET1608-27 was shown to specifically react with CCNB1 in wild-type Hela cells. Weakened bands were observed when CCNB1 knockdown samples were tested. Wild-type and CCNB1 knockdown samples were subjected to SDS-PAGE. Proteins were transferred to a PVDF membrane and blocked with 5% NFDM in TBST for 1 hour at room temperature. The primary antibody (ET1608-27, 1/500) was used in 5% BSA at room temperature for 2 hours. Goat Anti-Rabbit IgG-HRP Secondary Antibody (HA1001) at 1:300,000 dilution was used for 1 hour at room temperature.
Pic img7 :
https://storage.huabio.cn/huabio/productImg/HA750141_7.jpg
Pic legend7 :
Immunocytochemistry analysis of HeLa cells labeling Cyclin B1 with Rabbit anti-Cyclin B1 antibody (HA750141) at 1/100 dilution.
Cells were fixed in 4% paraformaldehyde for 20 minutes at room temperature, permeabilized with 0.1% Triton X-100 in PBS for 5 minutes at room temperature, then blocked with 1% BSA in 10% negative goat serum for 1 hour at room temperature. Cells were then incubated with Rabbit anti-Cyclin B1 antibody (HA750141) at 1/100 dilution in 1% BSA in PBST overnight at 4 ℃. Goat Anti-Rabbit IgG H&L (iFluor™ 488, HA1121) was used as the secondary antibody at 1/1,000 dilution. PBS instead of the primary antibody was used as the secondary antibody only control. Nuclear DNA was labelled in blue with DAPI.
Beta tubulin (M1305-2, red) was stained at 1/100 dilution overnight at +4℃. Goat Anti-Mouse IgG H&L (iFluor™ 594, HA1126) was used as the secondary antibody at 1/1,000 dilution.
Pic img8 :
https://storage.huabio.cn/huabio/productImg/HA750141_8.jpg
Pic legend8 :
Immunocytochemistry analysis of HePG2 cells labeling Cyclin B1 with Rabbit anti-Cyclin B1 antibody (HA750141) at 1/50 dilution.
Cells were fixed in 4% paraformaldehyde for 20 minutes at room temperature, permeabilized with 0.1% Triton X-100 in PBS for 5 minutes at room temperature, then blocked with 1% BSA in 10% negative goat serum for 1 hour at room temperature. Cells were then incubated with Rabbit anti-Cyclin B1 antibody (HA750141) at 1/50 dilution in 1% BSA in PBST overnight at 4 ℃. Goat Anti-Rabbit IgG H&L (iFluor™ 488, HA1121) was used as the secondary antibody at 1/1,000 dilution. PBS instead of the primary antibody was used as the secondary antibody only control. Nuclear DNA was labelled in blue with DAPI.
Beta tubulin (M1305-2, red) was stained at 1/100 dilution overnight at +4℃. Goat Anti-Mouse IgG H&L (iFluor™ 594, HA1126) was used as the secondary antibody at 1/1,000 dilution.
more info or order :
company information

HUABIO
Founded in 2007, HUABIO is dedicated to developing high-quality antibodies that advance innovation. We are passionate about the accuracy, efficiency, and consistency of our products. That is why we have invested in new production platforms, like recombinant rabbit monoclonals, alpaca nanobodies, and adopted aggressive QA standards to deliver cutting-edge antibodies with uncompromised quality.
We hope to see you at your next discovery!
We hope to see you at your next discovery!
related products
browse more products
questions and comments
