product summary
Loading...
company name :
HUABIO
product type :
antibody
product name :
Lamin B1
catalog :
HA750098
quantity :
100μl
price :
649.00 USD
clonality :
monoclonal
host :
domestic rabbit
conjugate :
nonconjugated
clone name :
SI17-07
reactivity :
human, mouse, rat
application :
western blot, immunohistochemistry - paraffin section
more info or order :
image
image 1 :

Western blot analysis of Lamin B1 on different lysates with Rabbit anti-Lamin B1 antibody (HA750098) at 1/50,000 dilution.
Lane 1: HeLa cell lysate
Lane 2: HEK-293 cell lysate
Lane 3: THP-1 cell lysate
Lane 4: SH-SY5Y cell lysate
Lane 5: C2C12 cell lysate
Lane 6: NIH/3T3 cell lysate
Lane 7: C6 cell lysate
Lane 8: PC-12 cell lysate
Lysates/proteins at 15 µg/Lane.
Predicted band size: 66 kDa
Observed band size: 66 kDa
Exposure time: 21 seconds; ECL: K1801;
4-20% SDS-PAGE gel.
Proteins were transferred to a PVDF membrane and blocked with 5% NFDM/TBST for 1 hour at room temperature. The primary antibody (HA750098) at 1/50,000 dilution was used in 5% NFDM/TBST at 4℃ overnight. Goat Anti-Rabbit IgG - HRP Secondary Antibody (HA1001) at 1/50,000 dilution was used for 1 hour at room temperature.
image 2 :

All lanes: Western blot analysis of Lamin B1 with anti-Lamin B1 antibody [SI17-06] (HA750098) at 1:1,000 dilution.
Lane 1/2: Wild-type Hela whole cell lysate (20 µg).
Lane 3/4: Lamin B1 knockout Hela whole cell lysate (20 µg).
ET1606-27 was shown to specifically react with Lamin B1 in wild-type Hela cells. No band was observed when Lamin B1 knockout samples were tested. Wild-type and Lamin B1 knockout samples were subjected to SDS-PAGE. Proteins were transferred to a PVDF membrane and blocked with 5% NFDM in TBST for 1 hour at room temperature. The primary antibody (ET1606-27, 1/1,000) and Loading control antibody(Rabbit anti-Vinculin, ET1705-94, 1/5,000) was used in 5% BSA at room temperature for 2 hours. Goat Anti-Rabbit IgG-HRP Secondary Antibody (HA1001) at 1:200,000 dilution was used for 1 hour at room temperature.
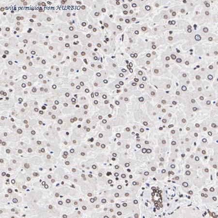
image 3 :

Immunohistochemical analysis of paraffin-embedded human liver tissue with Rabbit anti-Lamin B1 antibody (HA750098) at 1/1,000 dilution.
The section was pre-treated using heat mediated antigen retrieval with Tris-EDTA buffer (pH 9.0) for 20 minutes. The tissues were blocked in 1% BSA for 20 minutes at room temperature, washed with ddH2O and PBS, and then probed with the primary antibody (HA750098) at 1/1,000 dilution for 1 hour at room temperature. The detection was performed using an HRP conjugated compact polymer system. DAB was used as the chromogen. Tissues were counterstained with hematoxylin and mounted with DPX.
product information
SKU :
HA750098
Target name :
Lamin B1
Species reactivity :
Human,Mouse,Rat
Applications :
WB,IF-Tissue,IHC-P,CUT&Tag-seq
Conjugate :
Non-conjugated
Immunogen :
Synthetic peptide within Human Lamin B1 aa 511-560 / 586.
Uniprot id :
P20700>SwissProt: P20700 Human;SwissProt: P14733 Mouse;SwissProt: P70615 Rat
Host :
Rabbit
Clone number :
SI17-07
Isotype :
IgG
Size :
100μl
List Price :
649.00 USD
Storage Buffer :
PBS (pH7.4).
Form :
Liquid
Storage Instruction :
Store at +4℃ after thawing. Aliquot store at -20℃ or -80℃. Avoid repeated freeze / thaw cycles.
Purity :
Protein A affinity purified.
Product type :
Recombinant Rabbit monoclonal Antibody
Positive control :
HeLa cell lysate, HEK-293 cell lysate, THP-1 cell lysate, SH-SY5Y cell lysate, C2C12 cell lysate, NIH/3T3 cell lysate, C6 cell lysate, PC-12 cell lysate, human liver tissue, human breast carcinoma tissue, human colon carcinoma tissue, human lymph nodes tissue, mouse large intestine tissue, rat liver tissue.
Molecular wt :
Predicted band size: 66 kDa
Subcellular location :
Nucleus inner membrane.
Concentration :
1 mg/mL.
Recommended dilutions :
WB: 1:50,000
;IHC-P: 1:500-1:1,000
;IF-Tissue: 1:500-1:1,000
Advanced Validation :
Knockout (KO)
Pic img4 :
https://storage.huabio.cn/huabio/productImg/HA750098_4.jpg
Pic legend4 :
Immunohistochemical analysis of paraffin-embedded human breast carcinoma tissue with Rabbit anti-Lamin B1 antibody (HA750098) at 1/1,000 dilution.
The section was pre-treated using heat mediated antigen retrieval with Tris-EDTA buffer (pH 9.0) for 20 minutes. The tissues were blocked in 1% BSA for 20 minutes at room temperature, washed with ddH2O and PBS, and then probed with the primary antibody (HA750098) at 1/1,000 dilution for 1 hour at room temperature. The detection was performed using an HRP conjugated compact polymer system. DAB was used as the chromogen. Tissues were counterstained with hematoxylin and mounted with DPX.
Pic img5 :
https://storage.huabio.cn/huabio/productImg/HA750098_5.jpg
Pic legend5 :
Immunohistochemical analysis of paraffin-embedded human colon carcinoma tissue with Rabbit anti-Lamin B1 antibody (HA750098) at 1/500 dilution.
The section was pre-treated using heat mediated antigen retrieval with sodium citrate buffer (pH 6.0) (high pressure) for 2 minutes. The tissues were blocked in 1% BSA for 20 minutes at room temperature, washed with ddH2O and PBS, and then probed with the primary antibody (HA750098) at 1/500 dilution for 1 hour at room temperature. The detection was performed using an HRP conjugated compact polymer system. DAB was used as the chromogen. Tissues were counterstained with hematoxylin and mounted with DPX.
Pic img6 :
https://storage.huabio.cn/huabio/productImg/HA750098_6.jpg
Pic legend6 :
Immunohistochemical analysis of paraffin-embedded human lymph nodes tissue with Rabbit anti-Lamin B1 antibody (HA750098) at 1/500 dilution.
The section was pre-treated using heat mediated antigen retrieval with sodium citrate buffer (pH 6.0) (high pressure) for 2 minutes. The tissues were blocked in 1% BSA for 20 minutes at room temperature, washed with ddH2O and PBS, and then probed with the primary antibody (HA750098) at 1/500 dilution for 1 hour at room temperature. The detection was performed using an HRP conjugated compact polymer system. DAB was used as the chromogen. Tissues were counterstained with hematoxylin and mounted with DPX.
Pic img7 :
https://storage.huabio.cn/huabio/productImg/HA750098_7.jpg
Pic legend7 :
Immunohistochemical analysis of paraffin-embedded mouse large intestine tissue with Rabbit anti-Lamin B1 antibody (HA750098) at 1/500 dilution.
The section was pre-treated using heat mediated antigen retrieval with sodium citrate buffer (pH 6.0) (high pressure) for 2 minutes. The tissues were blocked in 1% BSA for 20 minutes at room temperature, washed with ddH2O and PBS, and then probed with the primary antibody (HA750098) at 1/500 dilution for 1 hour at room temperature. The detection was performed using an HRP conjugated compact polymer system. DAB was used as the chromogen. Tissues were counterstained with hematoxylin and mounted with DPX.
Pic img8 :
https://storage.huabio.cn/huabio/productImg/HA750098_8.jpg
Pic legend8 :
Immunohistochemical analysis of paraffin-embedded rat liver tissue with Rabbit anti-Lamin B1 antibody (HA750098) at 1/1,000 dilution.
The section was pre-treated using heat mediated antigen retrieval with Tris-EDTA buffer (pH 9.0) for 20 minutes. The tissues were blocked in 1% BSA for 20 minutes at room temperature, washed with ddH2O and PBS, and then probed with the primary antibody (HA750098) at 1/1,000 dilution for 1 hour at room temperature. The detection was performed using an HRP conjugated compact polymer system. DAB was used as the chromogen. Tissues were counterstained with hematoxylin and mounted with DPX.
more info or order :
company information

HUABIO
Founded in 2007, HUABIO is dedicated to developing high-quality antibodies that advance innovation. We are passionate about the accuracy, efficiency, and consistency of our products. That is why we have invested in new production platforms, like recombinant rabbit monoclonals, alpaca nanobodies, and adopted aggressive QA standards to deliver cutting-edge antibodies with uncompromised quality.
We hope to see you at your next discovery!
We hope to see you at your next discovery!
related products
browse more products
questions and comments
