product summary
Loading...
company name :
HUABIO
product type :
antibody
product name :
Histone H3 (mono+di+tri methyl K79)
catalog :
HA750051
quantity :
100μl
price :
649.00 USD
clonality :
monoclonal
host :
domestic rabbit
conjugate :
nonconjugated
clone name :
SR42-06
reactivity :
human, mouse, rat
application :
western blot, chromatin immunoprecipitation, immunohistochemistry - paraffin section
more info or order :
image
image 1 :

Western blot analysis of Histone H3 (mono+di+tri methyl K79) on different lysates. Proteins were transferred to a PVDF membrane and blocked with 5% BSA in PBS for 1 hour at room temperature. The primary antibody (HA750051, 1/500) was used in 5% BSA at room temperature for 2 hours. Goat Anti-Rabbit IgG - HRP Secondary Antibody (HA1001) at 1:5,000 dilution was used for 1 hour at room temperature.
Positive control:
Lane 1: mouse testis tissue lysate
Lane 2: CRC cell lysate
image 2 :

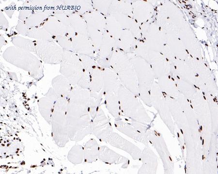
Immunohistochemical analysis of paraffin-embedded rat muscle tissue with Rabbit anti-Histone H3 (mono+di+tri methyl K79) antibody (HA750051) at 1/1,000 dilution.
The section was pre-treated using heat mediated antigen retrieval with sodium citrate buffer (pH 6.0) (high pressure) for 2 minutes. The tissues were blocked in 1% BSA for 20 minutes at room temperature, washed with ddH2O and PBS, and then probed with the primary antibody (HA750051) at 1/1,000 dilution for 1 hour at room temperature. The detection was performed using an HRP conjugated compact polymer system. DAB was used as the chromogen. Tissues were counterstained with hematoxylin and mounted with DPX.
image 3 :

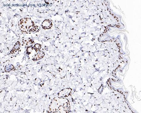
Immunohistochemical analysis of paraffin-embedded rat skin tissue with Rabbit anti-Histone H3 (mono+di+tri methyl K79) antibody (HA750051) at 1/1,000 dilution.
The section was pre-treated using heat mediated antigen retrieval with sodium citrate buffer (pH 6.0) (high pressure) for 2 minutes. The tissues were blocked in 1% BSA for 20 minutes at room temperature, washed with ddH2O and PBS, and then probed with the primary antibody (HA750051) at 1/1,000 dilution for 1 hour at room temperature. The detection was performed using an HRP conjugated compact polymer system. DAB was used as the chromogen. Tissues were counterstained with hematoxylin and mounted with DPX.
product information
SKU :
HA750051
Target name :
Histone H3 (mono+di+tri methyl K79)
Species reactivity :
Human,Mouse,Rat
Applications :
WB,IHC-P,ChIP
Conjugate :
Non-conjugated
Immunogen :
Synthetic peptide within Human Histone H3 aa 56-105 / 136(tri methyl K79) conjugated to Keyhole Limpet Haemocyanin (KLH).
Uniprot id :
P68431>SwissProt: P68431 Human;SwissProt: P84243 Human;SwissProt: Q16695 Human;SwissProt: Q6NXT2 Human;SwissProt: Q71DI3 Human;SwissProt: P68433 Mouse;SwissProt: Q6LED0 Rat
Host :
Rabbit
Clone number :
SR42-06
Isotype :
IgG
Size :
100μl
List Price :
649.00 USD
Storage Buffer :
PBS (pH7.4).
Form :
Liquid
Storage Instruction :
Store at +4℃ after thawing. Aliquot store at -20℃ or -80℃. Avoid repeated freeze / thaw cycles.
Purity :
Protein A affinity purified.
Product type :
Recombinant Rabbit monoclonal Antibody
Positive control :
Mouse testis tissue lysate, CRC cell lysate, rat muscle tissue, rat skin tissue, human colon carcinoma tissue, human skin tissue, mouse colon tissue, rat colon tissue.
Molecular wt :
Predicted band size: 15 kDa
Subcellular location :
Nucleus, Chromosome.
Concentration :
1 mg/mL.
Recommended dilutions :
WB: 1:1,000-1:2,000
;IHC-P: 1:1,000-1:5,000
;ChIP: Use 0.5~2 μg for 25 μg of chromatin.
Pic img4 :
https://storage.huabio.cn/huabio/productImg/HA750051_4.jpg
Pic legend4 :
Immunohistochemical analysis of paraffin-embedded human colon carcinoma tissue with Rabbit anti-Histone H3 (mono+di+tri methyl K79) antibody (HA750051) at 1/1,000 dilution.
The section was pre-treated using heat mediated antigen retrieval with sodium citrate buffer (pH 6.0) (high pressure) for 2 minutes. The tissues were blocked in 1% BSA for 20 minutes at room temperature, washed with ddH2O and PBS, and then probed with the primary antibody (HA750051) at 1/1,000 dilution for 1 hour at room temperature. The detection was performed using an HRP conjugated compact polymer system. DAB was used as the chromogen. Tissues were counterstained with hematoxylin and mounted with DPX.
Pic img5 :
https://storage.huabio.cn/huabio/productImg/HA750051_5.jpg
Pic legend5 :
Immunohistochemical analysis of paraffin-embedded human skin tissue with Rabbit anti-Histone H3 (mono+di+tri methyl K79) antibody (HA750051) at 1/1,000 dilution.
The section was pre-treated using heat mediated antigen retrieval with sodium citrate buffer (pH 6.0) (high pressure) for 2 minutes. The tissues were blocked in 1% BSA for 20 minutes at room temperature, washed with ddH2O and PBS, and then probed with the primary antibody (HA750051) at 1/1,000 dilution for 1 hour at room temperature. The detection was performed using an HRP conjugated compact polymer system. DAB was used as the chromogen. Tissues were counterstained with hematoxylin and mounted with DPX.
Pic img6 :
https://storage.huabio.cn/huabio/productImg/HA750051_6.jpg
Pic legend6 :
Immunohistochemical analysis of paraffin-embedded mouse colon tissue with Rabbit anti-Histone H3 (mono+di+tri methyl K79) antibody (HA750051) at 1/5,000 dilution.
The section was pre-treated using heat mediated antigen retrieval with sodium citrate buffer (pH 6.0) (high pressure) for 2 minutes. The tissues were blocked in 1% BSA for 20 minutes at room temperature, washed with ddH2O and PBS, and then probed with the primary antibody (HA750051) at 1/5,000 dilution for 1 hour at room temperature. The detection was performed using an HRP conjugated compact polymer system. DAB was used as the chromogen. Tissues were counterstained with hematoxylin and mounted with DPX.
Pic img7 :
https://storage.huabio.cn/huabio/productImg/HA750051_7.jpg
Pic legend7 :
Immunohistochemical analysis of paraffin-embedded rat colon tissue with Rabbit anti-Histone H3 (mono+di+tri methyl K79) antibody (HA750051) at 1/5,000 dilution.
The section was pre-treated using heat mediated antigen retrieval with sodium citrate buffer (pH 6.0) (high pressure) for 2 minutes. The tissues were blocked in 1% BSA for 20 minutes at room temperature, washed with ddH2O and PBS, and then probed with the primary antibody (HA750051) at 1/5,000 dilution for 1 hour at room temperature. The detection was performed using an HRP conjugated compact polymer system. DAB was used as the chromogen. Tissues were counterstained with hematoxylin and mounted with DPX.
Pic img8 :
https://storage.huabio.cn/huabio/productImg/HA750051_8.jpg
Pic legend8 :
Chromatin immunoprecipitations were performed with cross-linked chromatin from HeLa cells with Histone H3 (mono+di+tri methyl K79) (HA750051) or Normal Rabbit IgG according to the ChIP protocol. The enriched DNA was quantified by real-time PCR using indicated primers. The amount of immunoprecipitated DNA in each sample is represented as signal relative to the total amount of input chromatin, which is equivalent to one.
more info or order :
company information

HUABIO
Founded in 2007, HUABIO is dedicated to developing high-quality antibodies that advance innovation. We are passionate about the accuracy, efficiency, and consistency of our products. That is why we have invested in new production platforms, like recombinant rabbit monoclonals, alpaca nanobodies, and adopted aggressive QA standards to deliver cutting-edge antibodies with uncompromised quality.
We hope to see you at your next discovery!
We hope to see you at your next discovery!
related products
browse more products
questions and comments
