product summary
Loading...
company name :
HUABIO
product type :
antibody
product name :
TPP1
catalog :
HA723972
quantity :
100μl
price :
385.00 USD
clonality :
monoclonal
host :
domestic rabbit
conjugate :
nonconjugated
clone name :
PSH18-09
reactivity :
human, mouse, rat
application :
western blot, immunoprecipitation, flow cytometry, immunohistochemistry - paraffin section
more info or order :
image
image 1 :

Western blot analysis of TPP1 on different lysates with Rabbit anti-TPP1 antibody (HA723972) at 1/5,000 dilution.
Lane 1: HepG2 cell lysate (20 µg/Lane)
Lane 2: HeLa cell lysate (20 µg/Lane)
Lane 3: Jurkat cell lysate (20 µg/Lane)
Lane 4: Raji cell lysate (20 µg/Lane)
Lane 5: 786-0 cell lysate (20 µg/Lane)
Lane 6: A431 cell lysate (20 µg/Lane)
Lane 7: JAR cell lysate (20 µg/Lane)
Lane 8: U-87 MG cell lysate (20 µg/Lane)
Predicted band size: 61 kDa
Observed band size: 48/61 kDa
Exposure time: 6 seconds; ECL: K1801;
4-20% SDS-PAGE gel.
Proteins were transferred to a PVDF membrane and blocked with 5% NFDM/TBST for 1 hour at room temperature. The primary antibody (HA723972) at 1/5,000 dilution was used in primary antibody dilution (K1803) at 4℃ overnight. Goat Anti-Rabbit IgG - HRP Secondary Antibody (HA1001) at 1/50,000 dilution was used for 1 hour at room temperature.
image 2 :

Western blot analysis of TPP1 on different lysates with Rabbit anti-TPP1 antibody (HA723972) at 1/5,000 dilution.
Lane 1: Mouse heart tissue lysate (20 µg/Lane)
Lane 2: Mouse cerebellum tissue lysate (20 µg/Lane)
Lane 3: Mouse skeletal muscle tissue lysate (20 µg/Lane)
Lane 4: Rat heart tissue lysate (20 µg/Lane)
Lane 5: Rat cerebellum tissue lysate (20 µg/Lane)
Lane 6: Rat skeletal muscle tissue lysate (20 µg/Lane)
Predicted band size: 61 kDa
Observed band size: 48/61 kDa
Exposure time: 10 seconds; ECL: K1801;
4-20% SDS-PAGE gel.
Proteins were transferred to a PVDF membrane and blocked with 5% NFDM/TBST for 1 hour at room temperature. The primary antibody (HA723972) at 1/5,000 dilution was used in primary antibody dilution (K1803) at 4℃ overnight. Goat Anti-Rabbit IgG - HRP Secondary Antibody (HA1001) at 1/50,000 dilution was used for 1 hour at room temperature.
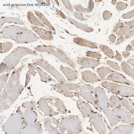
image 3 :

Immunohistochemical analysis of paraffin-embedded human skeletal muscle tissue with Rabbit anti-TPP1 antibody (HA723972) at 1/1,000 dilution.
The section was pre-treated using heat mediated antigen retrieval with Tris-EDTA buffer (pH 9.0) for 20 minutes. The tissues were blocked in 1% BSA for 20 minutes at room temperature, washed with ddH2O and PBS, and then probed with the primary antibody (HA723972) at 1/1,000 dilution for 1 hour at room temperature. The detection was performed using an HRP conjugated compact polymer system. DAB was used as the chromogen. Tissues were counterstained with hematoxylin and mounted with DPX.
product information
SKU :
HA723972
Target name :
TPP1
Species reactivity :
Human,Mouse,Rat
Applications :
WB,IHC-P,IF-Cell,FC,IP
Conjugate :
Non-conjugated
Immunogen :
Recombinant protein within human TPP1 aa 1-563.
Uniprot id :
O14773>SwissProt: O14773 Human;SwissProt: O89023 Mouse;SwissProt: Q9EQV6 Rat
Host :
Rabbit
Clone number :
PSH18-09
Isotype :
IgG
Size :
100μl
List Price :
385.00 USD
Storage Buffer :
PBS (pH7.4), 0.1% BSA, 40% Glycerol. Preservative: 0.05% Sodium Azide.
Form :
Liquid
Storage Instruction :
Store at +4℃ after thawing. Aliquot store at -20℃. Avoid repeated freeze / thaw cycles.
Purity :
Protein A affinity purified.
Product type :
Recombinant Rabbit monoclonal Antibody
Positive control :
HepG2 cell lysate, HeLa cell lysate, Jurkat cell lysate, Raji cell lysate, 786-0 cell lysate, A431 cell lysate, JAR cell lysate, U-87 MG cell lysate, Mouse heart tissue lysate, Mouse cerebellum tissue lysate, Mouse skeletal muscle tissue lysate, Rat heart tissue lysate, Rat cerebellum tissue lysate, Rat skeletal muscle tissue lysate, human skeletal muscle tissue, human cerebellum tissue, human placenta tissue, mouse cerebellum tissue, mouse placenta tissue, rat cerebellum tissue, rat placenta tissue, Raji, HepG2.
Molecular wt :
Predicted band size: 61 kDa
Subcellular location :
Lysosome, Melanosome.
Concentration :
1 mg/mL.
Recommended dilutions :
WB:1:5,000
;IHC-P:1:1,000
;IF-Cell:1:100-1:200
;FC:1:1,000
;IP: 1-2μg/sample
Pic img4 :
https://storage.huabio.cn/huabio/productImg/HA723972_4.jpg
Pic legend4 :
Immunohistochemical analysis of paraffin-embedded human cerebellum tissue with Rabbit anti-TPP1 antibody (HA723972) at 1/1,000 dilution.
The section was pre-treated using heat mediated antigen retrieval with Tris-EDTA buffer (pH 9.0) for 20 minutes. The tissues were blocked in 1% BSA for 20 minutes at room temperature, washed with ddH2O and PBS, and then probed with the primary antibody (HA723972) at 1/1,000 dilution for 1 hour at room temperature. The detection was performed using an HRP conjugated compact polymer system. DAB was used as the chromogen. Tissues were counterstained with hematoxylin and mounted with DPX.
Pic img5 :
https://storage.huabio.cn/huabio/productImg/HA723972_5.jpg
Pic legend5 :
Immunohistochemical analysis of paraffin-embedded human placenta tissue with Rabbit anti-TPP1 antibody (HA723972) at 1/1,000 dilution.
The section was pre-treated using heat mediated antigen retrieval with Tris-EDTA buffer (pH 9.0) for 20 minutes. The tissues were blocked in 1% BSA for 20 minutes at room temperature, washed with ddH2O and PBS, and then probed with the primary antibody (HA723972) at 1/1,000 dilution for 1 hour at room temperature. The detection was performed using an HRP conjugated compact polymer system. DAB was used as the chromogen. Tissues were counterstained with hematoxylin and mounted with DPX.
Pic img6 :
https://storage.huabio.cn/huabio/productImg/HA723972_6.jpg
Pic legend6 :
Immunohistochemical analysis of paraffin-embedded mouse cerebellum tissue with Rabbit anti-TPP1 antibody (HA723972) at 1/1,000 dilution.
The section was pre-treated using heat mediated antigen retrieval with Tris-EDTA buffer (pH 9.0) for 20 minutes. The tissues were blocked in 1% BSA for 20 minutes at room temperature, washed with ddH2O and PBS, and then probed with the primary antibody (HA723972) at 1/1,000 dilution for 1 hour at room temperature. The detection was performed using an HRP conjugated compact polymer system. DAB was used as the chromogen. Tissues were counterstained with hematoxylin and mounted with DPX.
Pic img7 :
https://storage.huabio.cn/huabio/productImg/HA723972_7.jpg
Pic legend7 :
Immunohistochemical analysis of paraffin-embedded mouse placenta tissue with Rabbit anti-TPP1 antibody (HA723972) at 1/1,000 dilution.
The section was pre-treated using heat mediated antigen retrieval with Tris-EDTA buffer (pH 9.0) for 20 minutes. The tissues were blocked in 1% BSA for 20 minutes at room temperature, washed with ddH2O and PBS, and then probed with the primary antibody (HA723972) at 1/1,000 dilution for 1 hour at room temperature. The detection was performed using an HRP conjugated compact polymer system. DAB was used as the chromogen. Tissues were counterstained with hematoxylin and mounted with DPX.
Pic img8 :
https://storage.huabio.cn/huabio/productImg/HA723972_8.jpg
Pic legend8 :
Immunohistochemical analysis of paraffin-embedded rat cerebellum tissue with Rabbit anti-TPP1 antibody (HA723972) at 1/1,000 dilution.
The section was pre-treated using heat mediated antigen retrieval with Tris-EDTA buffer (pH 9.0) for 20 minutes. The tissues were blocked in 1% BSA for 20 minutes at room temperature, washed with ddH2O and PBS, and then probed with the primary antibody (HA723972) at 1/1,000 dilution for 1 hour at room temperature. The detection was performed using an HRP conjugated compact polymer system. DAB was used as the chromogen. Tissues were counterstained with hematoxylin and mounted with DPX.
Pic img9 :
https://storage.huabio.cn/huabio/productImg/HA723972_9.jpg
Pic legend9 :
Immunohistochemical analysis of paraffin-embedded rat placenta tissue with Rabbit anti-TPP1 antibody (HA723972) at 1/1,000 dilution.
The section was pre-treated using heat mediated antigen retrieval with Tris-EDTA buffer (pH 9.0) for 20 minutes. The tissues were blocked in 1% BSA for 20 minutes at room temperature, washed with ddH2O and PBS, and then probed with the primary antibody (HA723972) at 1/1,000 dilution for 1 hour at room temperature. The detection was performed using an HRP conjugated compact polymer system. DAB was used as the chromogen. Tissues were counterstained with hematoxylin and mounted with DPX.
Pic img10 :
https://storage.huabio.cn/huabio/productImg/HA723972_10.jpg
Pic legend10 :
Immunocytochemistry analysis of Raji cells labeling TPP1 with Rabbit anti-TPP1 antibody (HA723972) at 1/100 dilution.
Cells were fixed in 4% paraformaldehyde for 15 minutes at room temperature, permeabilized with 0.1% Triton X-100 in PBS for 15 minutes at room temperature, then blocked with 1% BSA in 10% negative goat serum for 1 hour at room temperature. Cells were then incubated with Rabbit anti-TPP1 antibody (HA723972) at 1/100 dilution in 1% BSA in PBST overnight at 4 ℃. Goat Anti-Rabbit IgG H&L (iFluor™ 488, HA1121) was used as the secondary antibody at 1/1,000 dilution. PBS instead of the primary antibody was used as the secondary antibody only control. Nuclear DNA was labelled in blue with DAPI.
Beta tubulin (HA601187, red) was stained at 1/100 dilution overnight at +4℃. Goat Anti-Mouse IgG H&L (iFluor™ 594, HA1126) was used as the secondary antibody at 1/1,000 dilution.
Pic img11 :
https://storage.huabio.cn/huabio/productImg/HA723972_11.jpg
Pic legend11 :
Immunocytochemistry analysis of HepG2 cells labeling TPP1 with Rabbit anti-TPP1 antibody (HA723972) at 1/200 dilution.
Cells were fixed in 4% paraformaldehyde for 15 minutes at room temperature, permeabilized with 0.1% Triton X-100 in PBS for 15 minutes at room temperature, then blocked with 1% BSA in 10% negative goat serum for 1 hour at room temperature. Cells were then incubated with Rabbit anti-TPP1 antibody (HA723972) at 1/200 dilution in 1% BSA in PBST overnight at 4 ℃. Goat Anti-Rabbit IgG H&L (iFluor™ 488, HA1121) was used as the secondary antibody at 1/1,000 dilution. PBS instead of the primary antibody was used as the secondary antibody only control. Nuclear DNA was labelled in blue with DAPI.
Beta tubulin (HA601187, red) was stained at 1/100 dilution overnight at +4℃. Goat Anti-Mouse IgG H&L (iFluor™ 594, HA1126) was used as the secondary antibody at 1/1,000 dilution.
Pic img12 :
https://storage.huabio.cn/huabio/productImg/HA723972_12.jpg
Pic legend12 :
Flow cytometric analysis of Raji cells labeling TPP1.
Cells were fixed and permeabilized. Then stained with the primary antibody (HA723972, 1/1,000) (red) compared with Rabbit IgG Isotype Control (green). After incubation of the primary antibody at +4℃ for an hour, the cells were stained with a iFluor™ 488 conjugate-Goat anti-Rabbit IgG Secondary antibody (HA1121) at 1/1,000 dilution for 30 minutes at +4℃. Unlabelled sample was used as a control (cells without incubation with primary antibody; black).
Pic img13 :
https://storage.huabio.cn/huabio/productImg/HA723972_13.jpg
Pic legend13 :
Flow cytometric analysis of HepG2 cells labeling TPP1.
Cells were fixed and permeabilized. Then stained with the primary antibody (HA723972, 1/1,000) (red) compared with Rabbit IgG Isotype Control (green). After incubation of the primary antibody at +4℃ for an hour, the cells were stained with a iFluor™ 488 conjugate-Goat anti-Rabbit IgG Secondary antibody (HA1121) at 1/1,000 dilution for 30 minutes at +4℃. Unlabelled sample was used as a control (cells without incubation with primary antibody; black).
Pic img14 :
https://storage.huabio.cn/huabio/productImg/HA723972_14.jpg
Pic legend14 :
TPP1 was immunoprecipitated from 0.2 mg HeLa cell lysate with HA723972 at 2 µg/10 µl beads. Western blot was performed from the immunoprecipitate using HA723972 at 1/5,000 dilution. HRP Conjugated Anti-Rabbit IgG for IP Nano-secondary antibody at 1/5,000 dilution was used for 1 hour at room temperature.
Lane 1: HeLa cell lysate (input)
Lane 2: HA723972 IP in HeLa cell lysate
Lane 3: Rabbit IgG instead of HA723972 in HeLa cell lysate
Blocking/Dilution buffer: primary antibody dilution (K1803)
Exposure time: 6 seconds; ECL: K1801
more info or order :
company information

HUABIO
Founded in 2007, HUABIO is dedicated to developing high-quality antibodies that advance innovation. We are passionate about the accuracy, efficiency, and consistency of our products. That is why we have invested in new production platforms, like recombinant rabbit monoclonals, alpaca nanobodies, and adopted aggressive QA standards to deliver cutting-edge antibodies with uncompromised quality.
We hope to see you at your next discovery!
We hope to see you at your next discovery!
browse more products
questions and comments
