product summary
Loading...
company name :
HUABIO
product type :
antibody
product name :
eNOS
catalog :
HA723892
quantity :
100μl
price :
385.00 USD
clonality :
monoclonal
host :
domestic rabbit
conjugate :
nonconjugated
clone name :
PSH16-96
reactivity :
human, mouse, rat
application :
western blot, immunoprecipitation, flow cytometry, immunohistochemistry - paraffin section
more info or order :
image
image 1 :

Western blot analysis of eNOS on different lysates with Rabbit anti-eNOS antibody (HA723892) at 1/5,000 dilution.
Lane 1: EA.hy926 cell lysate (20 µg/Lane)
Lane 2: HeLa cell lysate (negative) (20 µg/Lane)
Lane 3: bEND.3 cell lysate (20 µg/Lane)
Lane 4: RAW264.7 cell lysate (negative) (20 µg/Lane)
Lane 5: Mouse placenta tissue lysate (30 µg/Lane)
Lane 6: Mouse kidney tissue lysate (30 µg/Lane)
Lane 7: Rat placenta tissue lysate (30 µg/Lane)
Lane 8: Rat kidney tissue lysate (30 µg/Lane)
Predicted band size: 133 kDa
Observed band size: 133 kDa
Exposure time: Lane 1-2: 10 seconds; Lane 3-8: 3 minutes; ECL: K1801;
4-20% SDS-PAGE gel.
Proteins were transferred to a PVDF membrane and blocked with 5% NFDM/TBST for 1 hour at room temperature. The primary antibody (HA723892) at 1/5,000 dilution was used in primary antibody dilution (K1803) at 4℃ overnight. Goat Anti-Rabbit IgG - HRP Secondary Antibody (HA1001) at 1/50,000 dilution was used for 1 hour at room temperature.
image 2 :

Immunocytochemistry analysis of EA.hy926 (positive) and HeLa (negative) labeling eNOS with Rabbit anti-eNOS antibody (HA723892) at 1/50 dilution.
Cells were fixed in 4% paraformaldehyde for 15 minutes at room temperature, permeabilized with 0.1% Triton X-100 in PBS for 15 minutes at room temperature, then blocked with 1% BSA in 10% negative goat serum for 1 hour at room temperature. Cells were then incubated with Rabbit anti-eNOS antibody (HA723892) at 1/50 dilution in 1% BSA in PBST overnight at 4 ℃. Goat Anti-Rabbit IgG H&L (iFluor™ 488, HA1121) was used as the secondary antibody at 1/1,000 dilution. PBS instead of the primary antibody was used as the secondary antibody only control. Nuclear DNA was labelled in blue with DAPI.
Beta tubulin (HA601187, red) was stained at 1/100 dilution overnight at +4℃. Goat Anti-Mouse IgG H&L (iFluor™ 594, HA1126) was used as the secondary antibody at 1/1,000 dilution.
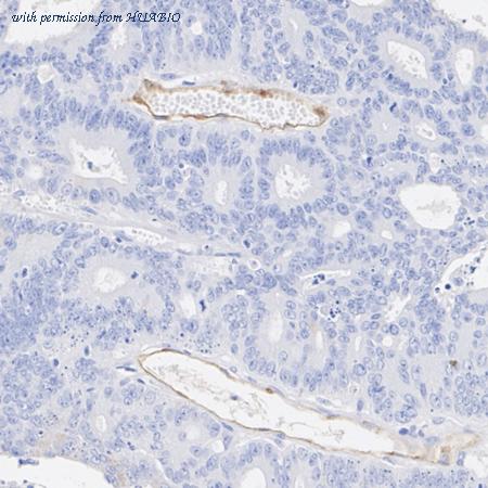
image 3 :

Immunohistochemical analysis of paraffin-embedded human colon carcinoma tissue with Rabbit anti-eNOS antibody (HA723892) at 1/200 dilution.
The section was pre-treated using heat mediated antigen retrieval with Tris-EDTA buffer (pH 9.0) for 20 minutes. The tissues were blocked in 1% BSA for 20 minutes at room temperature, washed with ddH2O and PBS, and then probed with the primary antibody (HA723892) at 1/200 dilution for 1 hour at room temperature. The detection was performed using an HRP conjugated compact polymer system. DAB was used as the chromogen. Tissues were counterstained with hematoxylin and mounted with DPX.
product information
SKU :
HA723892
Target name :
eNOS
Species reactivity :
Human,Mouse,Rat
Applications :
WB,IF-Cell,IHC-P,FC,IP
Conjugate :
Non-conjugated
Immunogen :
Recombinant protein within human eNOS aa 950-1,203.
Uniprot id :
P29474>SwissProt: P29474 Human;SwissProt: P70313 Mouse;SwissProt: Q62600 Rat
Host :
Rabbit
Clone number :
PSH16-96
Isotype :
IgG
Size :
100μl
List Price :
385.00 USD
Storage Buffer :
PBS (pH7.4), 0.1% BSA, 40% Glycerol. Preservative: 0.05% Sodium Azide.
Form :
Liquid
Storage Instruction :
Shipped at 4℃. Store at +4℃ short term (1-2 weeks). It is recommended to aliquot into single-use upon delivery. Store at -20℃ long term.
Purity :
Protein A affinity purified.
Product type :
Recombinant Rabbit monoclonal Antibody
Positive control :
EA.hy926 cell lysate, bEND.3 cell lysate, Mouse placenta tissue lysate, Mouse kidney tissue lysate, Rat placenta tissue lysate, Rat kidney tissue lysate, EA.hy926, human colon carcinoma tissue, human placenta tissue, human kidney tissue, human spleen tissue, mouse spleen tissue, rat kidney tissue, rat spleen tissue, rat placenta tissue.
Molecular wt :
Predicted band size: 133 kDa
Subcellular location :
Cell membrane, Membrane, caveola, Cytoplasm, cytoskeleton, Golgi apparatus.
Concentration :
1 mg/mL.
Recommended dilutions :
WB: 1:5,000
;IF-Cell: 1:50
;IHC-P: 1:50-1:200
;FC: 1:1,000
;IP: 1-2μg/sample
Advanced Validation :
Relative expression (RE)
Pic img4 :
https://storage.huabio.cn/huabio/productImg/HA723892_4.jpg
Pic legend4 :
Immunohistochemical analysis of paraffin-embedded human placenta tissue with Rabbit anti-eNOS antibody (HA723892) at 1/200 dilution.
The section was pre-treated using heat mediated antigen retrieval with Tris-EDTA buffer (pH 9.0) for 20 minutes. The tissues were blocked in 1% BSA for 20 minutes at room temperature, washed with ddH2O and PBS, and then probed with the primary antibody (HA723892) at 1/200 dilution for 1 hour at room temperature. The detection was performed using an HRP conjugated compact polymer system. DAB was used as the chromogen. Tissues were counterstained with hematoxylin and mounted with DPX.
Pic img5 :
https://storage.huabio.cn/huabio/productImg/HA723892_5.jpg
Pic legend5 :
Immunohistochemical analysis of paraffin-embedded human kidney tissue with Rabbit anti-eNOS antibody (HA723892) at 1/50 dilution.
The section was pre-treated using heat mediated antigen retrieval with Tris-EDTA buffer (pH 9.0) for 20 minutes. The tissues were blocked in 1% BSA for 20 minutes at room temperature, washed with ddH2O and PBS, and then probed with the primary antibody (HA723892) at 1/50 dilution for 1 hour at room temperature. The detection was performed using an HRP conjugated compact polymer system. DAB was used as the chromogen. Tissues were counterstained with hematoxylin and mounted with DPX.
Pic img6 :
https://storage.huabio.cn/huabio/productImg/HA723892_6.jpg
Pic legend6 :
Immunohistochemical analysis of paraffin-embedded human spleen tissue with Rabbit anti-eNOS antibody (HA723892) at 1/50 dilution.
The section was pre-treated using heat mediated antigen retrieval with Tris-EDTA buffer (pH 9.0) for 20 minutes. The tissues were blocked in 1% BSA for 20 minutes at room temperature, washed with ddH2O and PBS, and then probed with the primary antibody (HA723892) at 1/50 dilution for 1 hour at room temperature. The detection was performed using an HRP conjugated compact polymer system. DAB was used as the chromogen. Tissues were counterstained with hematoxylin and mounted with DPX.
Pic img7 :
https://storage.huabio.cn/huabio/productImg/HA723892_7.jpg
Pic legend7 :
Immunohistochemical analysis of paraffin-embedded mouse spleen tissue with Rabbit anti-eNOS antibody (HA723892) at 1/50 dilution.
The section was pre-treated using heat mediated antigen retrieval with Tris-EDTA buffer (pH 9.0) for 20 minutes. The tissues were blocked in 1% BSA for 20 minutes at room temperature, washed with ddH2O and PBS, and then probed with the primary antibody (HA723892) at 1/50 dilution for 1 hour at room temperature. The detection was performed using an HRP conjugated compact polymer system. DAB was used as the chromogen. Tissues were counterstained with hematoxylin and mounted with DPX.
Pic img8 :
https://storage.huabio.cn/huabio/productImg/HA723892_8.jpg
Pic legend8 :
Immunohistochemical analysis of paraffin-embedded rat kidney tissue with Rabbit anti-eNOS antibody (HA723892) at 1/50 dilution.
The section was pre-treated using heat mediated antigen retrieval with Tris-EDTA buffer (pH 9.0) for 20 minutes. The tissues were blocked in 1% BSA for 20 minutes at room temperature, washed with ddH2O and PBS, and then probed with the primary antibody (HA723892) at 1/50 dilution for 1 hour at room temperature. The detection was performed using an HRP conjugated compact polymer system. DAB was used as the chromogen. Tissues were counterstained with hematoxylin and mounted with DPX.
Pic img9 :
https://storage.huabio.cn/huabio/productImg/HA723892_9.jpg
Pic legend9 :
Immunohistochemical analysis of paraffin-embedded rat spleen tissue with Rabbit anti-eNOS antibody (HA723892) at 1/50 dilution.
The section was pre-treated using heat mediated antigen retrieval with Tris-EDTA buffer (pH 9.0) for 20 minutes. The tissues were blocked in 1% BSA for 20 minutes at room temperature, washed with ddH2O and PBS, and then probed with the primary antibody (HA723892) at 1/50 dilution for 1 hour at room temperature. The detection was performed using an HRP conjugated compact polymer system. DAB was used as the chromogen. Tissues were counterstained with hematoxylin and mounted with DPX.
Pic img10 :
https://storage.huabio.cn/huabio/productImg/HA723892_10.jpg
Pic legend10 :
Immunohistochemical analysis of paraffin-embedded rat placenta tissue with Rabbit anti-eNOS antibody (HA723892) at 1/200 dilution.
The section was pre-treated using heat mediated antigen retrieval with Tris-EDTA buffer (pH 9.0) for 20 minutes. The tissues were blocked in 1% BSA for 20 minutes at room temperature, washed with ddH2O and PBS, and then probed with the primary antibody (HA723892) at 1/200 dilution for 1 hour at room temperature. The detection was performed using an HRP conjugated compact polymer system. DAB was used as the chromogen. Tissues were counterstained with hematoxylin and mounted with DPX.
Pic img11 :
https://storage.huabio.cn/huabio/productImg/HA723892_11.jpg
Pic legend11 :
Flow cytometric analysis of HeLa (left, negative) and EA.hy926 (right, positive) cells labeling eNOS.
Cells were fixed and permeabilized. Then stained with the primary antibody (HA723892, 1/1,000) (red) compared with Rabbit IgG Isotype Control (green). After incubation of the primary antibody at +4℃ for an hour, the cells were stained with a iFluor™ 488 conjugate-Goat anti-Rabbit IgG Secondary antibody (HA1121) at 1/1,000 dilution for 30 minutes at +4℃. Unlabelled sample was used as a control (cells without incubation with primary antibody; black).
Pic img12 :
https://storage.huabio.cn/huabio/productImg/HA723892_12.jpg
Pic legend12 :
Western blot analysis of eNOS on different lysates with Rabbit anti-eNOS antibody (HA723892) at 1/5,000 dilution.
Lane 1: His-tagged eNOS recombinant protein
Lane 2: His-tagged nNOS recombinant protein
Lysates/proteins at 20 ng/Lane.
Exposure time: 2 seconds; ECL: K1801;
4-20% SDS-PAGE gel.
Proteins were transferred to a PVDF membrane and blocked with 5% NFDM/TBST for 1 hour at room temperature. The primary antibody (HA723892) at 1/5,000 dilution was used in primary antibody dilution (K1803) at 4℃ overnight. Goat Anti-Rabbit IgG - HRP Secondary Antibody (HA1001) at 1/50,000 dilution was used for 1 hour at room temperature.
Pic img13 :
https://storage.huabio.cn/huabio/productImg/HA723892_13.jpg
Pic legend13 :
eNOS was immunoprecipitated from 0.2 mg bEnd.3 cell lysate with HA723892 at 2 µg/10 µl beads. Western blot was performed from the immunoprecipitate using HA723892 at 1/5,000 dilution. HRP Conjugated Anti-Rabbit IgG for IP Nano-secondary antibody at 1/5,000 dilution was used for 1 hour at room temperature.
Lane 1: bEnd.3 cell lysate (input)
Lane 2: HA723892 IP in bEnd.3 cell lysate
Lane 3: Rabbit IgG instead of HA723892 in bEnd.3 cell lysate
Blocking/Dilution buffer: primary antibody dilution (K1803)
Exposure time: 3 minutes; ECL: K1801
more info or order :
company information

HUABIO
Founded in 2007, HUABIO is dedicated to developing high-quality antibodies that advance innovation. We are passionate about the accuracy, efficiency, and consistency of our products. That is why we have invested in new production platforms, like recombinant rabbit monoclonals, alpaca nanobodies, and adopted aggressive QA standards to deliver cutting-edge antibodies with uncompromised quality.
We hope to see you at your next discovery!
We hope to see you at your next discovery!
related products
browse more products
questions and comments
