product summary
Loading...
company name :
HUABIO
product type :
antibody
product name :
TRPV4
catalog :
HA723855
quantity :
100μl
price :
385.00 USD
clonality :
monoclonal
host :
domestic rabbit
conjugate :
nonconjugated
clone name :
PSH16-51
reactivity :
human, mouse
application :
western blot, immunoprecipitation, immunohistochemistry - paraffin section, immunohistochemistry - frozen section
more info or order :
image
image 1 :

Western blot analysis of TRPV4 on different lysates with Rabbit anti-TRPV4 antibody (HA723855) at 1/1,000 dilution.
Lane 1: A375 cell lysate
Lane 2: 293T cell lysate (negative)
Lysates/proteins at 20 µg/Lane.
Predicted band size: 98 kDa
Observed band size: 90 kDa
Exposure time: 2 minutes; ECL: K1801;
4-20% SDS-PAGE gel.
Proteins were transferred to a PVDF membrane and blocked with 5% NFDM/TBST for 1 hour at room temperature. The primary antibody (HA723855) at 1/1,000 dilution was used in primary antibody dilution (K1803) at 4℃ overnight. Goat Anti-Rabbit IgG - HRP Secondary Antibody (HA1001) at 1/50,000 dilution was used for 1 hour at room temperature.
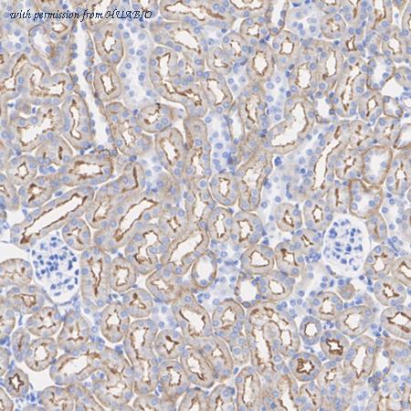
image 2 :

Application: IHC-Fr
Species: Mouse
Site: kidney
Sample: Frozen section
Antibody concentration: 1/500
Antigen retrieval: Not required
image 3 :

Immunohistochemical analysis of paraffin-embedded mouse kidney tissue with Rabbit anti-TRPV4 antibody (HA723855) at 1/1,000 dilution.
The section was pre-treated using heat mediated antigen retrieval with Tris-EDTA buffer (pH 9.0) for 20 minutes. The tissues were blocked in 1% BSA for 20 minutes at room temperature, washed with ddH2O and PBS, and then probed with the primary antibody (HA723855) at 1/1,000 dilution for 1 hour at room temperature. The detection was performed using an HRP conjugated compact polymer system. DAB was used as the chromogen. Tissues were counterstained with hematoxylin and mounted with DPX.
product information
SKU :
HA723855
Target name :
TRPV4
Species reactivity :
Human,Mouse
Applications :
WB,IHC-Fr,IHC-P,IP
Conjugate :
Non-conjugated
Uniprot id :
Q9HBA0>SwissProt: Q9HBA0 Human;SwissProt: Q9EPK8 Mouse
Host :
Rabbit
Clone number :
PSH16-51
Isotype :
IgG
Size :
100μl
List Price :
385.00 USD
Storage Buffer :
PBS (pH7.4), 0.1% BSA, 40% Glycerol. Preservative: 0.05% Sodium Azide.
Form :
Liquid
Storage Instruction :
Shipped at 4℃. Store at +4℃ short term (1-2 weeks). It is recommended to aliquot into single-use upon delivery. Store at -20℃ long term.
Purity :
Protein A affinity purified.
Product type :
Recombinant Rabbit monoclonal Antibody
Positive control :
A375 cell lysate, mouse kidney tissue.
Molecular wt :
Predicted band size: 98 kDa
Subcellular location :
Cell membrane, Apical cell membrane, Cell junction, adherens junction, Cell projection, cilium.
Concentration :
1 mg/mL.
Recommended dilutions :
WB: 1:1,000
;IHC-Fr: 1:500
;IHC-P: 1:1,000
;IP: 1-2μg/sample
Advanced Validation :
Relative expression (RE)
Pic img4 :
https://storage.huabio.cn/huabio/productImg/HA723855_4.jpg
Pic legend4 :
TRPV4 was immunoprecipitated from 0.2 mg A375 cell lysate with HA723855 at 2 µg/10 µl beads. Western blot was performed from the immunoprecipitate using HA723855 at 1/1,000 dilution. HRP Conjugated Anti-Rabbit IgG for IP Nano-secondary antibody at 1/5,000 dilution was used for 1 hour at room temperature.
Lane 1: A375 cell lysate (input)
Lane 2: HA723855 IP in A375 cell lysate
Lane 3: Rabbit IgG instead of HA723855 in A375 cell lysate
Blocking/Dilution buffer: primary antibody dilution (K1803)
Exposure time: 59 seconds; ECL: K1801
more info or order :
company information

HUABIO
Founded in 2007, HUABIO is dedicated to developing high-quality antibodies that advance innovation. We are passionate about the accuracy, efficiency, and consistency of our products. That is why we have invested in new production platforms, like recombinant rabbit monoclonals, alpaca nanobodies, and adopted aggressive QA standards to deliver cutting-edge antibodies with uncompromised quality.
We hope to see you at your next discovery!
We hope to see you at your next discovery!
related products
browse more products
questions and comments
