product summary
Loading...
company name :
HUABIO
product type :
antibody
product name :
TAZ / WWTR1
catalog :
HA723765
quantity :
100μl
price :
385.00 USD
clonality :
monoclonal
host :
domestic rabbit
conjugate :
nonconjugated
clone name :
PSH15-58
reactivity :
human, mouse, rat
application :
western blot, immunoprecipitation, immunohistochemistry - paraffin section
more info or order :
image
image 1 :

Western blot analysis of TAZ / WWTR1 on different lysates with Rabbit anti-TAZ / WWTR1 antibody (HA723765) at 1/5,000 dilution.
Lane 1: HeLa cell lysate
Lane 2: PANC-1 cell lysate
Lane 3: SH-SY5Y cell lysate (low expression)
Lane 4: SK-MEL-28 cell lysate
Lane 5: Raji cell lysate (negative)
Lane 6: A375 cell lysate
Lane 7: F9 cell lysate
Lane 8: C2C12 cell lysate
Lane 9: NIH/3T3 cell lysate
Lane 10: C6 cell lysate
Lysates/proteins at 20 µg/Lane.
Predicted band size: 44 kDa
Observed band size: 50 kDa
Exposure time: 3 minutes; ECL: K1801;
4-20% SDS-PAGE gel.
Proteins were transferred to a PVDF membrane and blocked with 5% NFDM/TBST for 1 hour at room temperature. The primary antibody (HA723765) at 1/5,000 dilution was used in primary antibody dilution (K1803) at 4℃ overnight. Goat Anti-Rabbit IgG - HRP Secondary Antibody (HA1001) at 1/50,000 dilution was used for 1 hour at room temperature.
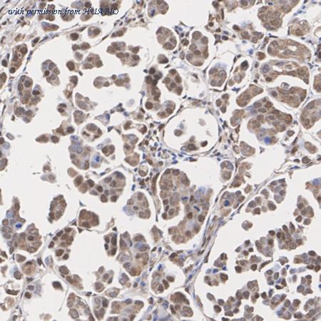
image 2 :

Immunohistochemical analysis of paraffin-embedded human breast carcinoma tissue with Rabbit anti-TAZ / WWTR1 antibody (HA723765) at 1/200 dilution.
The section was pre-treated using heat mediated antigen retrieval with Tris-EDTA buffer (pH 9.0) for 20 minutes. The tissues were blocked in 1% BSA for 20 minutes at room temperature, washed with ddH2O and PBS, and then probed with the primary antibody (HA723765) at 1/200 dilution for 1 hour at room temperature. The detection was performed using an HRP conjugated compact polymer system. DAB was used as the chromogen. Tissues were counterstained with hematoxylin and mounted with DPX.
image 3 :

Immunohistochemical analysis of paraffin-embedded human kidney tissue with Rabbit anti-TAZ / WWTR1 antibody (HA723765) at 1/1,000 dilution.
The section was pre-treated using heat mediated antigen retrieval with Tris-EDTA buffer (pH 9.0) for 20 minutes. The tissues were blocked in 1% BSA for 20 minutes at room temperature, washed with ddH2O and PBS, and then probed with the primary antibody (HA723765) at 1/1,000 dilution for 1 hour at room temperature. The detection was performed using an HRP conjugated compact polymer system. DAB was used as the chromogen. Tissues were counterstained with hematoxylin and mounted with DPX.
product information
SKU :
HA723765
Target name :
TAZ / WWTR1
Species reactivity :
Human,Mouse,Rat
Applications :
WB,IHC-P,IP
Conjugate :
Non-conjugated
Immunogen :
Recombinant protein within human TAZ / WWTR1 aa 1-400.
Uniprot id :
Q9GZV5>SwissProt: Q9GZV5 Human;SwissProt: Q9EPK5 Mouse;Entrez Gene: 295062 Rat
Host :
Rabbit
Clone number :
PSH15-58
Isotype :
IgG
Size :
100μl
List Price :
385.00 USD
Storage Buffer :
PBS (pH7.4), 0.1% BSA, 40% Glycerol. Preservative: 0.05% Sodium Azide.
Form :
Liquid
Storage Instruction :
Shipped at 4℃. Store at +4℃ short term (1-2 weeks). It is recommended to aliquot into single-use upon delivery. Store at -20℃ long term.
Purity :
Protein A affinity purified.
Product type :
Recombinant Rabbit monoclonal Antibody
Positive control :
HeLa cell lysate, PANC-1 cell lysate, SK-MEL-28 cell lysate, A375 cell lysate, F9 cell lysate, C2C12 cell lysate, NIH/3T3 cell lysate, C6 cell lysate, human breast carcinoma tissue, human kidney tissue, human stomach tissue, mouse kidney tissue, mouse stomach tissue, rat kidney tissue, rat stomach tissue.
Molecular wt :
Predicted band size: 44 kDa
Subcellular location :
Nucleus, Cytoplasm, Cell membrane, Cell junction, tight junction.
Concentration :
1 mg/mL.
Recommended dilutions :
WB: 1:5,000
;IHC-P: 1:200-1:1,000
;IP: 1-2μg/sample
Pic img4 :
https://storage.huabio.cn/huabio/productImg/HA723765_4.jpg
Pic legend4 :
Immunohistochemical analysis of paraffin-embedded human stomach tissue with Rabbit anti-TAZ / WWTR1 antibody (HA723765) at 1/1,000 dilution.
The section was pre-treated using heat mediated antigen retrieval with Tris-EDTA buffer (pH 9.0) for 20 minutes. The tissues were blocked in 1% BSA for 20 minutes at room temperature, washed with ddH2O and PBS, and then probed with the primary antibody (HA723765) at 1/1,000 dilution for 1 hour at room temperature. The detection was performed using an HRP conjugated compact polymer system. DAB was used as the chromogen. Tissues were counterstained with hematoxylin and mounted with DPX.
Pic img5 :
https://storage.huabio.cn/huabio/productImg/HA723765_5.jpg
Pic legend5 :
Immunohistochemical analysis of paraffin-embedded mouse kidney tissue with Rabbit anti-TAZ / WWTR1 antibody (HA723765) at 1/1,000 dilution.
The section was pre-treated using heat mediated antigen retrieval with Tris-EDTA buffer (pH 9.0) for 20 minutes. The tissues were blocked in 1% BSA for 20 minutes at room temperature, washed with ddH2O and PBS, and then probed with the primary antibody (HA723765) at 1/1,000 dilution for 1 hour at room temperature. The detection was performed using an HRP conjugated compact polymer system. DAB was used as the chromogen. Tissues were counterstained with hematoxylin and mounted with DPX.
Pic img6 :
https://storage.huabio.cn/huabio/productImg/HA723765_6.jpg
Pic legend6 :
Immunohistochemical analysis of paraffin-embedded mouse stomach tissue with Rabbit anti-TAZ / WWTR1 antibody (HA723765) at 1/1,000 dilution.
The section was pre-treated using heat mediated antigen retrieval with Tris-EDTA buffer (pH 9.0) for 20 minutes. The tissues were blocked in 1% BSA for 20 minutes at room temperature, washed with ddH2O and PBS, and then probed with the primary antibody (HA723765) at 1/1,000 dilution for 1 hour at room temperature. The detection was performed using an HRP conjugated compact polymer system. DAB was used as the chromogen. Tissues were counterstained with hematoxylin and mounted with DPX.
Pic img7 :
https://storage.huabio.cn/huabio/productImg/HA723765_7.jpg
Pic legend7 :
Immunohistochemical analysis of paraffin-embedded rat kidney tissue with Rabbit anti-TAZ / WWTR1 antibody (HA723765) at 1/1,000 dilution.
The section was pre-treated using heat mediated antigen retrieval with Tris-EDTA buffer (pH 9.0) for 20 minutes. The tissues were blocked in 1% BSA for 20 minutes at room temperature, washed with ddH2O and PBS, and then probed with the primary antibody (HA723765) at 1/1,000 dilution for 1 hour at room temperature. The detection was performed using an HRP conjugated compact polymer system. DAB was used as the chromogen. Tissues were counterstained with hematoxylin and mounted with DPX.
Pic img8 :
https://storage.huabio.cn/huabio/productImg/HA723765_8.jpg
Pic legend8 :
Immunohistochemical analysis of paraffin-embedded rat stomach tissue with Rabbit anti-TAZ / WWTR1 antibody (HA723765) at 1/1,000 dilution.
The section was pre-treated using heat mediated antigen retrieval with Tris-EDTA buffer (pH 9.0) for 20 minutes. The tissues were blocked in 1% BSA for 20 minutes at room temperature, washed with ddH2O and PBS, and then probed with the primary antibody (HA723765) at 1/1,000 dilution for 1 hour at room temperature. The detection was performed using an HRP conjugated compact polymer system. DAB was used as the chromogen. Tissues were counterstained with hematoxylin and mounted with DPX.
Pic img9 :
https://storage.huabio.cn/huabio/productImg/HA723765_9.jpg
Pic legend9 :
TAZ / WWTR1 was immunoprecipitated from 0.2 mg PANC-1 cell lysate with HA723765 at 2 µg/10 µl beads. Western blot was performed from the immunoprecipitate using HA723765 at 1/5,000 dilution. HRP Conjugated Anti-Rabbit IgG for IP Nano-secondary antibody at 1/5,000 dilution was used for 1 hour at room temperature.
Lane 1: PANC-1 cell lysate (input)
Lane 2: HA723765 IP in PANC-1 cell lysate
Lane 3: Rabbit IgG instead of HA723765 in PANC-1 cell lysate
Blocking/Dilution buffer: primary antibody dilution (K1803)
Exposure time: 3 minutes; ECL: K1801
Pic img10 :
https://storage.huabio.cn/huabio/productImg/HA723765_10.jpg
Pic legend10 :
TAZ / WWTR1 was immunoprecipitated from 0.2 mg C2C12 cell lysate with HA723765 at 2 µg/10 µl beads. Western blot was performed from the immunoprecipitate using HA723765 at 1/5,000 dilution. HRP Conjugated Anti-Rabbit IgG for IP Nano-secondary antibody at 1/5,000 dilution was used for 1 hour at room temperature.
Lane 1: C2C12 cell lysate (input)
Lane 2: HA723765 IP in C2C12 cell lysate
Lane 3: Rabbit IgG instead of HA723765 in C2C12 cell lysate
Blocking/Dilution buffer: primary antibody dilution (K1803)
Exposure time: 20 seconds; ECL: K1801
more info or order :
company information

HUABIO
Founded in 2007, HUABIO is dedicated to developing high-quality antibodies that advance innovation. We are passionate about the accuracy, efficiency, and consistency of our products. That is why we have invested in new production platforms, like recombinant rabbit monoclonals, alpaca nanobodies, and adopted aggressive QA standards to deliver cutting-edge antibodies with uncompromised quality.
We hope to see you at your next discovery!
We hope to see you at your next discovery!
related products
browse more products
questions and comments
