product summary
Loading...
company name :
HUABIO
product type :
antibody
product name :
Total OXPHOS Antibody Cocktail
catalog :
HA723756
quantity :
100μl
price :
385.00 USD
clonality :
polyclonal
host :
domestic rabbit
conjugate :
nonconjugated
clone name :
PSH15-50
reactivity :
human
application :
western blot, immunohistochemistry - paraffin section
more info or order :
image
image 1 :

Western blot analysis of Total OXPHOS Antibody Cocktail on different lysates with Rabbit anti-Total OXPHOS Antibody Cocktail antibody (HA723756) at 1/2,000 dilution.
Lane 1: HEK-293 cell lysate
Lane 2: HeLa cell lysate
Lane 3: A549 cell lysate
Lane 4: K-562 cell lysate
Lane 5: MCF7 cell lysate
Lysates/proteins at 20 µg/Lane.
Predicted band size: 18/22/29/48/54 kDa
Observed band size: 18/22/29/48/54 kDa
Exposure time: 15 seconds; ECL: K1801;
4-20% SDS-PAGE gel.
Proteins were transferred to a PVDF membrane and blocked with 5% NFDM/TBST for 1 hour at room temperature. The primary antibody (HA723756) at 1/2,000 dilution was used in primary antibody dilution (K1803) at 4℃ overnight. Goat Anti-Rabbit IgG - HRP Secondary Antibody (HA1001) at 1/50,000 dilution was used for 1 hour at room temperature.
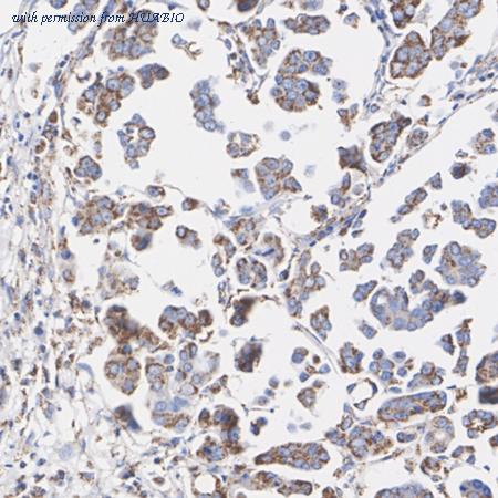
image 2 :

Immunohistochemical analysis of paraffin-embedded human breast carcinoma tissue with Rabbit anti-Total OXPHOS Antibody Cocktail antibody (HA723756) at 1/200 dilution.
The section was pre-treated using heat mediated antigen retrieval with Tris-EDTA buffer (pH 9.0) for 20 minutes. The tissues were blocked in 1% BSA for 20 minutes at room temperature, washed with ddH2O and PBS, and then probed with the primary antibody (HA723756) at 1/200 dilution for 1 hour at room temperature. The detection was performed using an HRP conjugated compact polymer system. DAB was used as the chromogen. Tissues were counterstained with hematoxylin and mounted with DPX.
image 3 :

Immunohistochemical analysis of paraffin-embedded human liver tissue with Rabbit anti-Total OXPHOS Antibody Cocktail antibody (HA723756) at 1/200 dilution.
The section was pre-treated using heat mediated antigen retrieval with Tris-EDTA buffer (pH 9.0) for 20 minutes. The tissues were blocked in 1% BSA for 20 minutes at room temperature, washed with ddH2O and PBS, and then probed with the primary antibody (HA723756) at 1/200 dilution for 1 hour at room temperature. The detection was performed using an HRP conjugated compact polymer system. DAB was used as the chromogen. Tissues were counterstained with hematoxylin and mounted with DPX.
product information
SKU :
HA723756
Target name :
Total OXPHOS Antibody Cocktail
Species reactivity :
Human
Applications :
WB,IHC-P
Conjugate :
Non-conjugated
Uniprot id :
O95169>SwissProt: O95169 Human;SwissProt: P00403 Human;SwissProt: P21912 Human;SwissProt: P22695 Human;SwissProt: P25705 Human
Host :
Rabbit
Clone number :
PSH15-50
Isotype :
IgG
Size :
100μl
List Price :
385.00 USD
Storage Buffer :
PBS (pH7.4), 0.1% BSA, 40% Glycerol. Preservative: 0.05% Sodium Azide.
Form :
Liquid
Storage Instruction :
Shipped at 4℃. Store at +4℃ short term (1-2 weeks). It is recommended to aliquot into single-use upon delivery. Store at -20℃ long term.
Purity :
Protein A affinity purified.
Product type :
Recombinant Rabbit multiclonal Antibody
Positive control :
HEK-293 cell lysate, HeLa cell lysate, A549 cell lysate, K-562 cell lysate, MCF7 cell lysate, human breast carcinoma tissue, human liver tissue.
Molecular wt :
Predicted band size: 18/22/29/48/54 kDa
Subcellular location :
Mitochondrion inner membrane.
Concentration :
1 mg/mL.
Recommended dilutions :
WB: 1:2,000
;IHC-P: 1:200
more info or order :
company information

HUABIO
Founded in 2007, HUABIO is dedicated to developing high-quality antibodies that advance innovation. We are passionate about the accuracy, efficiency, and consistency of our products. That is why we have invested in new production platforms, like recombinant rabbit monoclonals, alpaca nanobodies, and adopted aggressive QA standards to deliver cutting-edge antibodies with uncompromised quality.
We hope to see you at your next discovery!
We hope to see you at your next discovery!
related products
browse more products
questions and comments
