product summary
Loading...
company name :
HUABIO
product type :
antibody
product name :
SIRT4
catalog :
HA723752
quantity :
100μl
price :
385.00 USD
clonality :
monoclonal
host :
domestic rabbit
conjugate :
nonconjugated
clone name :
PSH15-46
reactivity :
human, mouse, rat
application :
western blot, immunoprecipitation, immunohistochemistry - paraffin section
more info or order :
image
image 1 :

Western blot analysis of SIRT4 on different lysates with Rabbit anti-SIRT4 antibody (HA723752) at 1/5,000 dilution.
Lane 1: RD cell lysate (20 µg/Lane)
Lane 2: COS-1 cell lysate (20 µg/Lane)
Lane 3: Neuro-2a cell lysate (20 µg/Lane)
Lane 4: RAW264.7 cell lysate (20 µg/Lane)
Lane 5: Mouse kidney tissue lysate (40 µg/Lane)
Lane 6: Rat kidney tissue lysate (40 µg/Lane)
Predicted band size: 35 kDa
Observed band size: 32 kDa
Exposure time: 20 seconds; ECL: K1801;
4-20% SDS-PAGE gel.
Proteins were transferred to a PVDF membrane and blocked with 5% NFDM/TBST for 1 hour at room temperature. The primary antibody (HA723752) at 1/5,000 dilution was used in primary antibody dilution (K1803) at 4℃ overnight. Goat Anti-Rabbit IgG - HRP Secondary Antibody (HA1001) at 1/50,000 dilution was used for 1 hour at room temperature.
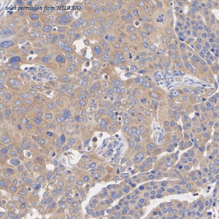
image 2 :

Immunohistochemical analysis of paraffin-embedded human ovarian cancer tissue with Rabbit anti-SIRT4 antibody (HA723752) at 1/200 dilution.
The section was pre-treated using heat mediated antigen retrieval with Tris-EDTA buffer (pH 9.0) for 20 minutes. The tissues were blocked in 1% BSA for 20 minutes at room temperature, washed with ddH2O and PBS, and then probed with the primary antibody (HA723752) at 1/200 dilution for 1 hour at room temperature. The detection was performed using an HRP conjugated compact polymer system. DAB was used as the chromogen. Tissues were counterstained with hematoxylin and mounted with DPX.
image 3 :

Immunohistochemical analysis of paraffin-embedded human kidney tissue with Rabbit anti-SIRT4 antibody (HA723752) at 1/200 dilution.
The section was pre-treated using heat mediated antigen retrieval with Tris-EDTA buffer (pH 9.0) for 20 minutes. The tissues were blocked in 1% BSA for 20 minutes at room temperature, washed with ddH2O and PBS, and then probed with the primary antibody (HA723752) at 1/200 dilution for 1 hour at room temperature. The detection was performed using an HRP conjugated compact polymer system. DAB was used as the chromogen. Tissues were counterstained with hematoxylin and mounted with DPX.
product information
SKU :
HA723752
Target name :
SIRT4
Species reactivity :
Human,Mouse,Rat,Monkey
Applications :
WB,IHC-P,IP
Conjugate :
Non-conjugated
Immunogen :
Recombinant protein within human SIRT4 aa 1-314.
Uniprot id :
Q9Y6E7>SwissProt: Q9Y6E7 Human;SwissProt: Q8R216 Mouse;Entrez Gene: 304539 Rat
Host :
Rabbit
Clone number :
PSH15-46
Isotype :
IgG
Size :
100μl
List Price :
385.00 USD
Storage Buffer :
PBS (pH7.4), 0.1% BSA, 40% Glycerol. Preservative: 0.05% Sodium Azide.
Form :
Liquid
Storage Instruction :
Shipped at 4℃. Store at +4℃ short term (1-2 weeks). It is recommended to aliquot into single-use upon delivery. Store at -20℃ long term.
Purity :
Protein A affinity purified.
Product type :
Recombinant Rabbit monoclonal Antibody
Positive control :
RD cell lysate, COS-1 cell lysate, Neuro-2a cell lysate, RAW264.7 cell lysate, Mouse kidney tissue lysate, Rat kidney tissue lysate, human ovarian cancer tissue, human kidney tissue, human pancreas tissue, mouse kidney tissue, mouse pancreas tissue, rat kidney tissue, rat pancreas tissue.
Molecular wt :
Predicted band size: 35 kDa
Subcellular location :
Mitochondrion matrix.
Concentration :
1 mg/mL.
Recommended dilutions :
WB: 1:5,000
;IHC-P: 1:200
;IP: 1-2μg/sample
Pic img4 :
https://storage.huabio.cn/huabio/productImg/HA723752_4.jpg
Pic legend4 :
Immunohistochemical analysis of paraffin-embedded human pancreas tissue with Rabbit anti-SIRT4 antibody (HA723752) at 1/200 dilution.
The section was pre-treated using heat mediated antigen retrieval with Tris-EDTA buffer (pH 9.0) for 20 minutes. The tissues were blocked in 1% BSA for 20 minutes at room temperature, washed with ddH2O and PBS, and then probed with the primary antibody (HA723752) at 1/200 dilution for 1 hour at room temperature. The detection was performed using an HRP conjugated compact polymer system. DAB was used as the chromogen. Tissues were counterstained with hematoxylin and mounted with DPX.
Pic img5 :
https://storage.huabio.cn/huabio/productImg/HA723752_5.jpg
Pic legend5 :
Immunohistochemical analysis of paraffin-embedded mouse kidney tissue with Rabbit anti-SIRT4 antibody (HA723752) at 1/200 dilution.
The section was pre-treated using heat mediated antigen retrieval with Tris-EDTA buffer (pH 9.0) for 20 minutes. The tissues were blocked in 1% BSA for 20 minutes at room temperature, washed with ddH2O and PBS, and then probed with the primary antibody (HA723752) at 1/200 dilution for 1 hour at room temperature. The detection was performed using an HRP conjugated compact polymer system. DAB was used as the chromogen. Tissues were counterstained with hematoxylin and mounted with DPX.
Pic img6 :
https://storage.huabio.cn/huabio/productImg/HA723752_6.jpg
Pic legend6 :
Immunohistochemical analysis of paraffin-embedded mouse pancreas tissue with Rabbit anti-SIRT4 antibody (HA723752) at 1/200 dilution.
The section was pre-treated using heat mediated antigen retrieval with Tris-EDTA buffer (pH 9.0) for 20 minutes. The tissues were blocked in 1% BSA for 20 minutes at room temperature, washed with ddH2O and PBS, and then probed with the primary antibody (HA723752) at 1/200 dilution for 1 hour at room temperature. The detection was performed using an HRP conjugated compact polymer system. DAB was used as the chromogen. Tissues were counterstained with hematoxylin and mounted with DPX.
Pic img7 :
https://storage.huabio.cn/huabio/productImg/HA723752_7.jpg
Pic legend7 :
Immunohistochemical analysis of paraffin-embedded rat kidney tissue with Rabbit anti-SIRT4 antibody (HA723752) at 1/200 dilution.
The section was pre-treated using heat mediated antigen retrieval with Tris-EDTA buffer (pH 9.0) for 20 minutes. The tissues were blocked in 1% BSA for 20 minutes at room temperature, washed with ddH2O and PBS, and then probed with the primary antibody (HA723752) at 1/200 dilution for 1 hour at room temperature. The detection was performed using an HRP conjugated compact polymer system. DAB was used as the chromogen. Tissues were counterstained with hematoxylin and mounted with DPX.
Pic img8 :
https://storage.huabio.cn/huabio/productImg/HA723752_8.jpg
Pic legend8 :
Immunohistochemical analysis of paraffin-embedded rat pancreas tissue with Rabbit anti-SIRT4 antibody (HA723752) at 1/200 dilution.
The section was pre-treated using heat mediated antigen retrieval with Tris-EDTA buffer (pH 9.0) for 20 minutes. The tissues were blocked in 1% BSA for 20 minutes at room temperature, washed with ddH2O and PBS, and then probed with the primary antibody (HA723752) at 1/200 dilution for 1 hour at room temperature. The detection was performed using an HRP conjugated compact polymer system. DAB was used as the chromogen. Tissues were counterstained with hematoxylin and mounted with DPX.
Pic img9 :
https://storage.huabio.cn/huabio/productImg/HA723752_9.jpg
Pic legend9 :
SIRT4 was immunoprecipitated from 0.2 mg Neuro-2a cell lysate with HA723752 at 2 µg/10 µl beads. Western blot was performed from the immunoprecipitate using HA723752 at 1/5,000 dilution. HRP Conjugated Anti-Rabbit IgG for IP Nano-secondary antibody at 1/5,000 dilution was used for 1 hour at room temperature.
Lane 1: Neuro-2a cell lysate (input)
Lane 2: HA723752 IP in Neuro-2a cell lysate
Lane 3: Rabbit IgG instead of HA723752 in Neuro-2a cell lysate
Blocking/Dilution buffer: primary antibody dilution (K1803)
Exposure time: 20 seconds; ECL: K1801
more info or order :
company information

HUABIO
Founded in 2007, HUABIO is dedicated to developing high-quality antibodies that advance innovation. We are passionate about the accuracy, efficiency, and consistency of our products. That is why we have invested in new production platforms, like recombinant rabbit monoclonals, alpaca nanobodies, and adopted aggressive QA standards to deliver cutting-edge antibodies with uncompromised quality.
We hope to see you at your next discovery!
We hope to see you at your next discovery!
related products
browse more products
questions and comments
