product summary
Loading...
company name :
HUABIO
product type :
antibody
product name :
MUL1
catalog :
HA723721
quantity :
100μl
price :
385.00 USD
clonality :
monoclonal
host :
domestic rabbit
conjugate :
nonconjugated
clone name :
PSH15-17
reactivity :
human, mouse, rat
application :
western blot, immunohistochemistry - paraffin section
more info or order :
image
image 1 :

Western blot analysis of MUL1 on different lysates with Rabbit anti-MUL1 antibody (HA723721) at 1/5,000 dilution.
Lane 1: HEK-293 cell lysate (20 µg/Lane)
Lane 2: A431 cell lysate (20 µg/Lane)
Lane 3: HeLa cell lysate (20 µg/Lane)
Lane 4: RD cell lysate (20 µg/Lane)
Lane 5: RAW264.7 cell lysate (20 µg/Lane)
Lane 6: PC-12 cell lysate (20 µg/Lane)
Lane 7: Mouse thymus tissue lysate (low expression) (40 µg/Lane)
Lane 8: Mouse kidney tissue lysate (40 µg/Lane)
Lane 9: Rat thymus tissue lysate (low expression) (40 µg/Lane)
Lane 10: Rat kidney tissue lysate (40 µg/Lane)
Predicted band size: 40 kDa
Observed band size: 37 kDa
Exposure time: 2 minutes; ECL: K1801;
4-20% SDS-PAGE gel.
Proteins were transferred to a PVDF membrane and blocked with 5% NFDM/TBST for 1 hour at room temperature. The primary antibody (HA723721) at 1/5,000 dilution was used in primary antibody dilution (K1803) at 4℃ overnight. Goat Anti-Rabbit IgG - HRP Secondary Antibody (HA1001) at 1/50,000 dilution was used for 1 hour at room temperature.
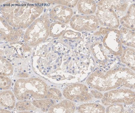
image 2 :

Immunohistochemical analysis of paraffin-embedded human kidney tissue with Rabbit anti-MUL1 antibody (HA723721) at 1/50 dilution.
The section was pre-treated using heat mediated antigen retrieval with Tris-EDTA buffer (pH 9.0) for 20 minutes. The tissues were blocked in 1% BSA for 20 minutes at room temperature, washed with ddH2O and PBS, and then probed with the primary antibody (HA723721) at 1/50 dilution for 1 hour at room temperature. The detection was performed using an HRP conjugated compact polymer system. DAB was used as the chromogen. Tissues were counterstained with hematoxylin and mounted with DPX.
product information
SKU :
HA723721
Target name :
MUL1
Species reactivity :
Human,Mouse,Rat
Applications :
WB,IHC-P
Conjugate :
Non-conjugated
Immunogen :
Recombinant protein within human MUL1 aa 260-352.
Uniprot id :
Q969V5>SwissProt: Q969V5 Human;SwissProt: Q8VCM5 Mouse;Entrez Gene: 298576 Rat
Host :
Rabbit
Clone number :
PSH15-17
Isotype :
IgG
Size :
100μl
List Price :
385.00 USD
Storage Buffer :
PBS (pH7.4), 0.1% BSA, 40% Glycerol. Preservative: 0.05% Sodium Azide.
Form :
Liquid
Storage Instruction :
Shipped at 4℃. Store at +4℃ short term (1-2 weeks). It is recommended to aliquot into single-use upon delivery. Store at -20℃ long term.
Purity :
Protein A affinity purified.
Product type :
Recombinant Rabbit monoclonal Antibody
Positive control :
HEK-293 cell lysate, A431 cell lysate, HeLa cell lysate, RD cell lysate, RAW264.7 cell lysate, PC-12 cell lysate, Mouse thymus tissue lysate, Mouse kidney tissue lysate, Rat thymus tissue lysate, Rat kidney tissue lysate, human kidney tissue.
Molecular wt :
Predicted band size: 40 kDa
Subcellular location :
Mitochondrion outer membrane, Peroxisome.
Concentration :
1 mg/mL.
Recommended dilutions :
WB: 1:5,000
;IHC-P: 1:50-1:200
more info or order :
company information

HUABIO
Founded in 2007, HUABIO is dedicated to developing high-quality antibodies that advance innovation. We are passionate about the accuracy, efficiency, and consistency of our products. That is why we have invested in new production platforms, like recombinant rabbit monoclonals, alpaca nanobodies, and adopted aggressive QA standards to deliver cutting-edge antibodies with uncompromised quality.
We hope to see you at your next discovery!
We hope to see you at your next discovery!
related products
browse more products
questions and comments
