product summary
Loading...
company name :
HUABIO
product type :
antibody
product name :
SOX9
catalog :
HA723548
quantity :
100μl
price :
385.00 USD
clonality :
monoclonal
host :
domestic rabbit
conjugate :
nonconjugated
clone name :
PSH13-59
reactivity :
human, mouse, rat
application :
western blot, immunoprecipitation, flow cytometry, chromatin immunoprecipitation, immunohistochemistry - paraffin section, immunohistochemistry - frozen section
more info or order :
image
image 1 :

Application: IHC-Fr
Species: Mouse
Site: brain
Sample: Frozen section
Antibody concentration: 1/500
Antigen retrieval: Not required
image 2 :

Application: IHC-Fr
Species: Rat
Site: brain
Sample: Frozen section
Antibody concentration: 1/500
Antigen retrieval: Not required
image 3 :

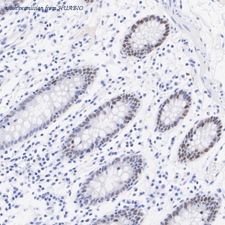
Immunohistochemical analysis of paraffin-embedded human colon tissue with Rabbit anti-SOX9 antibody (HA723548) at 1/1,000 dilution.
The section was pre-treated using heat mediated antigen retrieval with Tris-EDTA buffer (pH 9.0) for 20 minutes. The tissues were blocked in 1% BSA for 20 minutes at room temperature, washed with ddH2O and PBS, and then probed with the primary antibody (HA723548) at 1/1,000 dilution for 1 hour at room temperature. The detection was performed using an HRP conjugated compact polymer system. DAB was used as the chromogen. Tissues were counterstained with hematoxylin and mounted with DPX.
product information
SKU :
HA723548
Target name :
SOX9
Species reactivity :
Human,Mouse,Rat
Applications :
IHC-Fr,IHC-P,WB,IF-Cell,IP,FC,ChIP
Conjugate :
Non-conjugated
Immunogen :
Recombinant protein within mouse SOX9 aa 1-450.
Uniprot id :
P48436>SwissProt: P48436 Human;SwissProt: Q04887 Mouse;SwissProt: F1LYL9 Rat
Host :
Rabbit
Clone number :
PSH13-59
Isotype :
IgG
Size :
100μl
List Price :
385.00 USD
Storage Buffer :
PBS (pH7.4), 0.1% BSA, 40% Glycerol. Preservative: 0.05% Sodium Azide.
Form :
Liquid
Storage Instruction :
Shipped at 4℃. Store at +4℃ short term (1-2 weeks). It is recommended to aliquot into single-use upon delivery. Store at -20℃ long term.
Purity :
Protein A affinity purified.
Product type :
Recombinant Rabbit monoclonal Antibody
Positive control :
Human colon tissue, mouse brain tissue, mouse colon tissue, rat brain tissue, rat colon tissue, NIH/3T3 cell lysate, PANC-1 cell lysate, SW480 cell lysate, MDA-MB-231 cell lysate, SW480, NIH/3T3.
Molecular wt :
Predicted band size: 56 kDa
Subcellular location :
Nucleus.
Concentration :
1 mg/mL.
Recommended dilutions :
IHC-Fr: 1:500
;IHC-P: 1:1,000
;WB: 1:5,000
;IF-Cell: 1:2,000-1:5,000
;IP: 1-2μg/sample
;FC: 1:1,000
;ChIP: Use 5 μg for 25 μg of chromatin.
Advanced Validation :
Relative expression (RE)
Pic img4 :
https://storage.huabio.cn/huabio/productImg/HA723548_4.jpg
Pic legend4 :
Immunohistochemical analysis of paraffin-embedded mouse brain tissue with Rabbit anti-SOX9 antibody (HA723548) at 1/1,000 dilution.
The section was pre-treated using heat mediated antigen retrieval with Tris-EDTA buffer (pH 9.0) for 20 minutes. The tissues were blocked in 1% BSA for 20 minutes at room temperature, washed with ddH2O and PBS, and then probed with the primary antibody (HA723548) at 1/1,000 dilution for 1 hour at room temperature. The detection was performed using an HRP conjugated compact polymer system. DAB was used as the chromogen. Tissues were counterstained with hematoxylin and mounted with DPX.
Pic img5 :
https://storage.huabio.cn/huabio/productImg/HA723548_5.jpg
Pic legend5 :
Immunohistochemical analysis of paraffin-embedded mouse colon tissue with Rabbit anti-SOX9 antibody (HA723548) at 1/1,000 dilution.
The section was pre-treated using heat mediated antigen retrieval with Tris-EDTA buffer (pH 9.0) for 20 minutes. The tissues were blocked in 1% BSA for 20 minutes at room temperature, washed with ddH2O and PBS, and then probed with the primary antibody (HA723548) at 1/1,000 dilution for 1 hour at room temperature. The detection was performed using an HRP conjugated compact polymer system. DAB was used as the chromogen. Tissues were counterstained with hematoxylin and mounted with DPX.
Pic img6 :
https://storage.huabio.cn/huabio/productImg/HA723548_6.jpg
Pic legend6 :
Immunohistochemical analysis of paraffin-embedded rat brain tissue with Rabbit anti-SOX9 antibody (HA723548) at 1/1,000 dilution.
The section was pre-treated using heat mediated antigen retrieval with Tris-EDTA buffer (pH 9.0) for 20 minutes. The tissues were blocked in 1% BSA for 20 minutes at room temperature, washed with ddH2O and PBS, and then probed with the primary antibody (HA723548) at 1/1,000 dilution for 1 hour at room temperature. The detection was performed using an HRP conjugated compact polymer system. DAB was used as the chromogen. Tissues were counterstained with hematoxylin and mounted with DPX.
Pic img7 :
https://storage.huabio.cn/huabio/productImg/HA723548_7.jpg
Pic legend7 :
Immunohistochemical analysis of paraffin-embedded rat colon tissue with Rabbit anti-SOX9 antibody (HA723548) at 1/1,000 dilution.
The section was pre-treated using heat mediated antigen retrieval with Tris-EDTA buffer (pH 9.0) for 20 minutes. The tissues were blocked in 1% BSA for 20 minutes at room temperature, washed with ddH2O and PBS, and then probed with the primary antibody (HA723548) at 1/1,000 dilution for 1 hour at room temperature. The detection was performed using an HRP conjugated compact polymer system. DAB was used as the chromogen. Tissues were counterstained with hematoxylin and mounted with DPX.
Pic img8 :
https://storage.huabio.cn/huabio/productImg/HA723548_8.jpg
Pic legend8 :
Western blot analysis of SOX9 on different lysates with Rabbit anti-SOX9 antibody (HA723548) at 1/5,000 dilution.
Lane 1: NIH/3T3 cell lysate
Lane 2: PANC-1 cell lysate
Lane 3: SW480 cell lysate
Lane 4: MDA-MB-231 cell lysate
Lane 5: MCF7 cell lysate (negative)
Lysates/proteins at 20 µg/Lane.
Predicted band size: 56 kDa
Observed band size: 50-70 kDa
Exposure time: 18 seconds; ECL: K1801;
4-20% SDS-PAGE gel.
Proteins were transferred to a PVDF membrane and blocked with 5% NFDM/TBST for 1 hour at room temperature. The primary antibody (HA723548) at 1/5,000 dilution was used in primary antibody dilution (K1803) at 4℃ overnight. Goat Anti-Rabbit IgG - HRP Secondary Antibody (HA1001) at 1/50,000 dilution was used for 1 hour at room temperature.
Pic img9 :
https://storage.huabio.cn/huabio/productImg/HA723548_9.jpg
Pic legend9 :
Immunocytochemistry analysis of SW480 cells (positive) and MCF7 cells (negative) labeling SOX9 with Rabbit anti-SOX9 antibody (HA723548) at 1/5,000 dilution.
Cells were fixed in 4% paraformaldehyde for 15 minutes at room temperature, permeabilized with 0.1% Triton X-100 in PBS for 15 minutes at room temperature, then blocked with 1% BSA in 10% negative goat serum for 1 hour at room temperature. Cells were then incubated with Rabbit anti-SOX9 antibody (HA723548) at 1/5,000 dilution in 1% BSA in PBST overnight at 4 ℃. Goat Anti-Rabbit IgG H&L (iFluor™ 488, HA1121) was used as the secondary antibody at 1/1,000 dilution. PBS instead of the primary antibody was used as the secondary antibody only control. Nuclear DNA was labelled in blue with DAPI.
Beta tubulin (HA601187, red) was stained at 1/100 dilution overnight at +4℃. Goat Anti-Mouse IgG H&L (iFluor™ 594, HA1126) was used as the secondary antibody at 1/1,000 dilution.
Pic img10 :
https://storage.huabio.cn/huabio/productImg/HA723548_10.jpg
Pic legend10 :
Immunocytochemistry analysis of NIH/3T3 cells labeling SOX9 with Rabbit anti-SOX9 antibody (HA723548) at 1/2,000 dilution.
Cells were fixed in 4% paraformaldehyde for 15 minutes at room temperature, permeabilized with 0.1% Triton X-100 in PBS for 15 minutes at room temperature, then blocked with 1% BSA in 10% negative goat serum for 1 hour at room temperature. Cells were then incubated with Rabbit anti-SOX9 antibody (HA723548) at 1/2,000 dilution in 1% BSA in PBST overnight at 4 ℃. Goat Anti-Rabbit IgG H&L (iFluor™ 488, HA1121) was used as the secondary antibody at 1/1,000 dilution. PBS instead of the primary antibody was used as the secondary antibody only control. Nuclear DNA was labelled in blue with DAPI.
Beta tubulin (HA601187, red) was stained at 1/100 dilution overnight at +4℃. Goat Anti-Mouse IgG H&L (iFluor™ 594, HA1126) was used as the secondary antibody at 1/1,000 dilution.
Pic img11 :
https://storage.huabio.cn/huabio/productImg/HA723548_11.jpg
Pic legend11 :
SOX9 was immunoprecipitated from 0.2 mg MDA-MB-231 cell lysate with HA723548 at 2 µg/10 µl beads. Western blot was performed from the immunoprecipitate using HA723548 at 1/5,000 dilution. HRP Conjugated Anti-Rabbit IgG for IP Nano-secondary antibody at 1/5,000 dilution was used for 1 hour at room temperature.
Lane 1: MDA-MB-231 cell lysate (input)
Lane 2: HA723548 IP in MDA-MB-231 cell lysate
Lane 3: Rabbit IgG instead of HA723548 in MDA-MB-231 cell lysate
Blocking/Dilution buffer: 5% NFDM/TBST
Exposure time: 46 seconds; ECL: K1801
Pic img12 :
https://storage.huabio.cn/huabio/productImg/HA723548_12.jpg
Pic legend12 :
Flow cytometric analysis of MCF7 (left, negative) and SW480 (right, positive) cells labeling SOX9.
Cells were fixed and permeabilized. Then stained with the primary antibody (HA723548, 1/1,000) (red) compared with Rabbit IgG Isotype Control (green). After incubation of the primary antibody at +4℃ for an hour, the cells were stained with a iFluor™ 488 conjugate-Goat anti-Rabbit IgG Secondary antibody (HA1121) at 1/1,000 dilution for 30 minutes at +4℃. Unlabelled sample was used as a control (cells without incubation with primary antibody; black).
Pic img13 :
https://storage.huabio.cn/huabio/productImg/HA723548_13.jpg
Pic legend13 :
Chromatin immunoprecipitations were performed with cross-linked chromatin from SW480 cells with SOX9 (HA723548) or Normal Rabbit IgG according to the ChIP protocol. The enriched DNA was quantified by real-time PCR using indicated primers. The amount of immunoprecipitated DNA in each sample is represented as signal relative to the total amount of input chromatin, which is equivalent to one.
more info or order :
company information

HUABIO
Founded in 2007, HUABIO is dedicated to developing high-quality antibodies that advance innovation. We are passionate about the accuracy, efficiency, and consistency of our products. That is why we have invested in new production platforms, like recombinant rabbit monoclonals, alpaca nanobodies, and adopted aggressive QA standards to deliver cutting-edge antibodies with uncompromised quality.
We hope to see you at your next discovery!
We hope to see you at your next discovery!
related products
browse more products
questions and comments
