product summary
Loading...
company name :
HUABIO
product type :
antibody
product name :
CD11c
catalog :
HA723512
quantity :
100μl
price :
385.00 USD
clonality :
polyclonal
host :
domestic rabbit
conjugate :
nonconjugated
clone name :
PSH13-25
reactivity :
human, mouse
application :
western blot, immunohistochemistry - paraffin section, immunohistochemistry - frozen section
more info or order :
image
image 1 :

Western blot analysis of CD11c on different lysates with Rabbit anti-CD11c antibody (HA723512) at 1/5,000 dilution.
Lane 1: THP-1 cell lysate
Lane 2: THP-1 starved for 2 hours then add 100ng/mL TPA for 48 hours cell lysate
Lane 3: RAW264.7 cell lysate (20 µg/Lane)
Lane 4: C2C12 cell lysate (negative) (20 µg/Lane)
Lane 5: Mouse colon tissue lysate (40 µg/Lane)
Lane 6: Mouse spleen tissue lysate (40 µg/Lane)
Lysates/proteins at 20 µg/Lane.
Predicted band size: 129 kDa
Observed band size: 140 kDa
Exposure time: Lane 1-2: 59 seconds; Lane 3-5: 25 seconds; Lane 6: 8 seconds; ECL: K1801;
4-20% SDS-PAGE gel.
Proteins were transferred to a PVDF membrane and blocked with 5% NFDM/TBST for 1 hour at room temperature. The primary antibody (HA723512) at 1/5,000 dilution was used in primary antibody dilution (K1803) at 4℃ overnight. Goat Anti-Rabbit IgG - HRP Secondary Antibody (HA1001) at 1/50,000 dilution was used for 1 hour at room temperature.
image 2 :

Application: IHC-Fr
Species: Mouse
Site: spleen
Sample: Frozen section
Antibody concentration: 1/500
Antigen retrieval: Not required
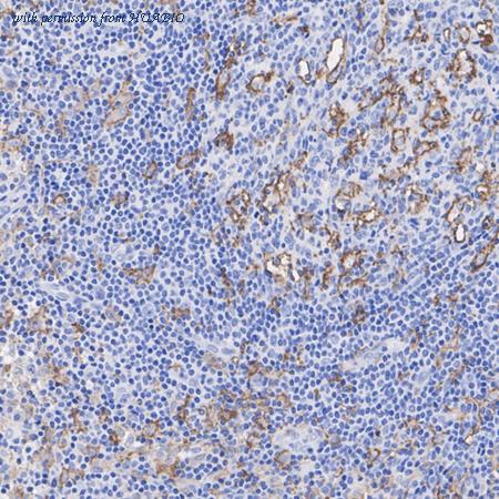
image 3 :

Immunohistochemical analysis of paraffin-embedded human Hodgkin's lymphoma tissue with Rabbit anti-CD11c antibody (HA723512) at 1/1,000 dilution.
The section was pre-treated using heat mediated antigen retrieval with Tris-EDTA buffer (pH 9.0) for 20 minutes. The tissues were blocked in 1% BSA for 20 minutes at room temperature, washed with ddH2O and PBS, and then probed with the primary antibody (HA723512) at 1/1,000 dilution for 1 hour at room temperature. The detection was performed using an HRP conjugated compact polymer system. DAB was used as the chromogen. Tissues were counterstained with hematoxylin and mounted with DPX.
product information
SKU :
HA723512
Target name :
CD11c
Species reactivity :
Human,Mouse
Applications :
WB,IHC-Fr,IHC-P
Conjugate :
Non-conjugated
Immunogen :
Recombinant protein within mouse CD11c aa 616-936 / 1,169.
Uniprot id :
P20702>SwissProt: P20702 Human;SwissProt: Q9QXH4 Mouse
Host :
Rabbit
Clone number :
PSH13-25
Isotype :
IgG
Size :
100μl
List Price :
385.00 USD
Storage Buffer :
PBS (pH7.4), 0.1% BSA, 40% Glycerol. Preservative: 0.05% Sodium Azide.
Form :
Liquid
Storage Instruction :
Shipped at 4℃. Store at +4℃ short term (1-2 weeks). It is recommended to aliquot into single-use upon delivery. Store at -20℃ long term.
Purity :
Protein A affinity purified.
Product type :
Recombinant Rabbit multiclonal Antibody
Positive control :
THP-1 starved for 2 hours then add 100ng/mL TPA for 48 hours cell lysate, RAW264.7 cell lysate, Mouse colon tissue lysate, Mouse spleen tissue lysate, human Hodgkin's lymphoma tissue, human spleen tissue, mouse spleen tissue.
Molecular wt :
Predicted band size: 129 kDa
Subcellular location :
Membrane
Concentration :
1 mg/mL.
Recommended dilutions :
WB: 1:5,000
;IHC-Fr: 1:500
;IHC-P: 1:1,000
Advanced Validation :
Relative expression (RE)
Pic img4 :
https://storage.huabio.cn/huabio/productImg/HA723512_4.jpg
Pic legend4 :
Immunohistochemical analysis of paraffin-embedded human spleen tissue with Rabbit anti-CD11c antibody (HA723512) at 1/1,000 dilution.
The section was pre-treated using heat mediated antigen retrieval with Tris-EDTA buffer (pH 9.0) for 20 minutes. The tissues were blocked in 1% BSA for 20 minutes at room temperature, washed with ddH2O and PBS, and then probed with the primary antibody (HA723512) at 1/1,000 dilution for 1 hour at room temperature. The detection was performed using an HRP conjugated compact polymer system. DAB was used as the chromogen. Tissues were counterstained with hematoxylin and mounted with DPX.
Pic img5 :
https://storage.huabio.cn/huabio/productImg/HA723512_5.jpg
Pic legend5 :
Immunohistochemical analysis of paraffin-embedded mouse spleen tissue with Rabbit anti-CD11c antibody (HA723512) at 1/1,000 dilution.
The section was pre-treated using heat mediated antigen retrieval with Tris-EDTA buffer (pH 9.0) for 20 minutes. The tissues were blocked in 1% BSA for 20 minutes at room temperature, washed with ddH2O and PBS, and then probed with the primary antibody (HA723512) at 1/1,000 dilution for 1 hour at room temperature. The detection was performed using an HRP conjugated compact polymer system. DAB was used as the chromogen. Tissues were counterstained with hematoxylin and mounted with DPX.
more info or order :
company information

HUABIO
Founded in 2007, HUABIO is dedicated to developing high-quality antibodies that advance innovation. We are passionate about the accuracy, efficiency, and consistency of our products. That is why we have invested in new production platforms, like recombinant rabbit monoclonals, alpaca nanobodies, and adopted aggressive QA standards to deliver cutting-edge antibodies with uncompromised quality.
We hope to see you at your next discovery!
We hope to see you at your next discovery!
related products
browse more products
questions and comments
