product summary
Loading...
company name :
HUABIO
product type :
antibody
product name :
ULBP3
catalog :
HA723508
quantity :
100μl
price :
385.00 USD
clonality :
monoclonal
host :
domestic rabbit
conjugate :
nonconjugated
clone name :
PSH13-03
reactivity :
human
application :
western blot, immunoprecipitation, immunohistochemistry - paraffin section
more info or order :
image
image 1 :

Western blot analysis of ULBP3 on different lysates with Rabbit anti-ULBP3 antibody (HA723508) at 1/5,000 dilution.
Lane 1: MDA-MB-231 cell lysate (20 µg/Lane)
Lane 2: MCF7 cell lysate (low expression) (20 µg/Lane)
Lane 3: SW480 cell lysate (20 µg/Lane)
Lane 4: HeLa cell lysate (20 µg/Lane)
Predicted band size: 28 kDa
Observed band size: 28 kDa
Exposure time: 59 seconds; ECL: K1801;
4-20% SDS-PAGE gel.
Proteins were transferred to a PVDF membrane and blocked with 5% NFDM/TBST for 1 hour at room temperature. The primary antibody (HA723508) at 1/5,000 dilution was used in primary antibody dilution (K1803) at 4℃ overnight. Goat Anti-Rabbit IgG - HRP Secondary Antibody (HA1001) at 1/50,000 dilution was used for 1 hour at room temperature.
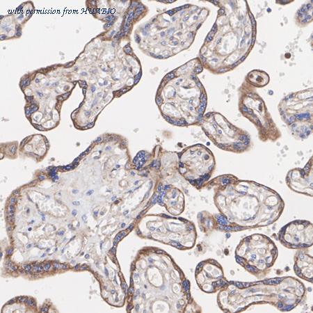
image 2 :

Immunohistochemical analysis of paraffin-embedded human placenta tissue with Rabbit anti-ULBP3 antibody (HA723508) at 1/200 dilution.
The section was pre-treated using heat mediated antigen retrieval with Tris-EDTA buffer (pH 9.0) for 20 minutes. The tissues were blocked in 1% BSA for 20 minutes at room temperature, washed with ddH2O and PBS, and then probed with the primary antibody (HA723508) at 1/200 dilution for 1 hour at room temperature. The detection was performed using an HRP conjugated compact polymer system. DAB was used as the chromogen. Tissues were counterstained with hematoxylin and mounted with DPX.
image 3 :

Immunohistochemical analysis of paraffin-embedded human stomach tissue with Rabbit anti-ULBP3 antibody (HA723508) at 1/200 dilution.
The section was pre-treated using heat mediated antigen retrieval with Tris-EDTA buffer (pH 9.0) for 20 minutes. The tissues were blocked in 1% BSA for 20 minutes at room temperature, washed with ddH2O and PBS, and then probed with the primary antibody (HA723508) at 1/200 dilution for 1 hour at room temperature. The detection was performed using an HRP conjugated compact polymer system. DAB was used as the chromogen. Tissues were counterstained with hematoxylin and mounted with DPX.
product information
SKU :
HA723508
Target name :
ULBP3
Species reactivity :
Human
Applications :
WB,IHC-P,IP
Conjugate :
Non-conjugated
Immunogen :
Recombinant protein within human ULBP3 aa 21-220.
Uniprot id :
Q9BZM4>SwissProt: Q9BZM4 Human
Host :
Rabbit
Clone number :
PSH13-03
Isotype :
IgG
Size :
100μl
List Price :
385.00 USD
Storage Buffer :
PBS (pH7.4), 0.1% BSA, 40% Glycerol. Preservative: 0.05% Sodium Azide.
Form :
Liquid
Storage Instruction :
Shipped at 4℃. Store at +4℃ short term (1-2 weeks). It is recommended to aliquot into single-use upon delivery. Store at -20℃ long term.
Purity :
Protein A affinity purified.
Product type :
Recombinant Rabbit monoclonal Antibody
Positive control :
MDA-MB-231 cell lysate, MCF7 cell lysate, SW480 cell lysate, HeLa cell lysate, human placenta tissue, human stomach tissue.
Molecular wt :
Predicted band size: 28 kDa
Subcellular location :
Cell membrane
Concentration :
1 mg/mL.
Recommended dilutions :
WB: 1:5,000
;IHC-P: 1:200
;IP: 1-2μg/sample
Advanced Validation :
Relative expression (RE)
Pic img4 :
https://storage.huabio.cn/huabio/productImg/HA723508_4.jpg
Pic legend4 :
ULBP3 was immunoprecipitated from 0.2 mg HeLa cell lysate with HA723508 at 2 µg/10 µl beads. Western blot was performed from the immunoprecipitate using HA723508 at 1/5,000 dilution. HRP Conjugated Anti-Rabbit IgG for IP Nano-secondary antibody at 1/5,000 dilution was used for 1 hour at room temperature.
Lane 1: HeLa cell lysate (input)
Lane 2: HA723508 IP in HeLa cell lysate
Lane 3: Rabbit IgG instead of HA723508 in HeLa cell lysate
Blocking/Dilution buffer: primary antibody dilution (K1803)
Exposure time: 42 seconds; ECL: K1802
Pic img5 :
https://storage.huabio.cn/huabio/productImg/HA723508_5.jpg
Pic legend5 :
Western blot analysis of ULBP3 on different lysates with Rabbit anti-ULBP3 antibody (HA723508) at 1/5,000 dilution.
Lane 1: His-tagged Human ULBP3 recombinant protein
Lane 2: His-tagged Human ULBP1 recombinant protein
Lysates/proteins at 20 ng/Lane.
Exposure time: 6 seconds; ECL: K1801;
4-20% SDS-PAGE gel.
Proteins were transferred to a PVDF membrane and blocked with 5% NFDM/TBST for 1 hour at room temperature. The primary antibody (HA723508) at 1/5,000 dilution was used in primary antibody dilution (K1803) at 4℃ overnight. Goat Anti-Rabbit IgG - HRP Secondary Antibody (HA1001) at 1/50,000 dilution was used for 1 hour at room temperature.
more info or order :
company information

HUABIO
Founded in 2007, HUABIO is dedicated to developing high-quality antibodies that advance innovation. We are passionate about the accuracy, efficiency, and consistency of our products. That is why we have invested in new production platforms, like recombinant rabbit monoclonals, alpaca nanobodies, and adopted aggressive QA standards to deliver cutting-edge antibodies with uncompromised quality.
We hope to see you at your next discovery!
We hope to see you at your next discovery!
related products
browse more products
questions and comments
