product summary
Loading...
company name :
HUABIO
product type :
antibody
product name :
TOM70
catalog :
HA723505
quantity :
100μl
price :
385.00 USD
clonality :
monoclonal
host :
domestic rabbit
conjugate :
nonconjugated
clone name :
PSH13-00
reactivity :
human, mouse, rat
application :
western blot, immunoprecipitation, flow cytometry, immunohistochemistry - paraffin section
more info or order :
image
image 1 :

Western blot analysis of TOM70 on different lysates with Rabbit anti-TOM70 antibody (HA723505) at 1/5,000 dilution.
Lane 1: MCF7 cell lysate
Lane 2: HeLa cell lysate
Lane 3: HepG2 cell lysate
Lane 4: Jurkat cell lysate
Lane 5: MDA-MB-231 cell lysate
Lane 6: NIH/3T3 cell lysate
Lane 7: 4T1 cell lysate
Lane 8: C6 cell lysate
Lane 9: PC-12 cell lysate
Lane 10: COS-1 cell lysate
Lysates/proteins at 20 µg/Lane.
Predicted band size: 67 kDa
Observed band size: 67 kDa
Exposure time: 35 seconds; ECL: K1801;
4-20% SDS-PAGE gel.
Proteins were transferred to a PVDF membrane and blocked with 5% NFDM/TBST for 1 hour at room temperature. The primary antibody (HA723505) at 1/5,000 dilution was used in 5% NFDM/TBST at 4℃ overnight. Goat Anti-Rabbit IgG - HRP Secondary Antibody (HA1001) at 1/50,000 dilution was used for 1 hour at room temperature.
image 2 :

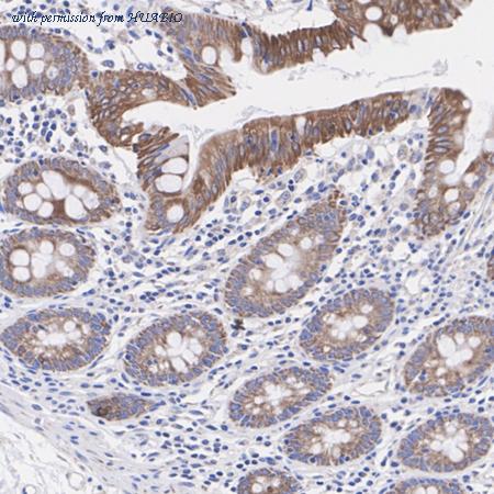
Immunohistochemical analysis of paraffin-embedded human colon tissue with Rabbit anti-TOM70 antibody (HA723505) at 1/200 dilution.
The section was pre-treated using heat mediated antigen retrieval with Tris-EDTA buffer (pH 9.0) for 20 minutes. The tissues were blocked in 1% BSA for 20 minutes at room temperature, washed with ddH2O and PBS, and then probed with the primary antibody (HA723505) at 1/200 dilution for 1 hour at room temperature. The detection was performed using an HRP conjugated compact polymer system. DAB was used as the chromogen. Tissues were counterstained with hematoxylin and mounted with DPX.
image 3 :

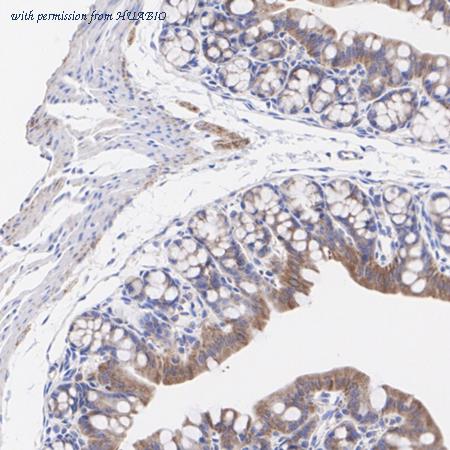
Immunohistochemical analysis of paraffin-embedded mouse colon tissue with Rabbit anti-TOM70 antibody (HA723505) at 1/200 dilution.
The section was pre-treated using heat mediated antigen retrieval with Tris-EDTA buffer (pH 9.0) for 20 minutes. The tissues were blocked in 1% BSA for 20 minutes at room temperature, washed with ddH2O and PBS, and then probed with the primary antibody (HA723505) at 1/200 dilution for 1 hour at room temperature. The detection was performed using an HRP conjugated compact polymer system. DAB was used as the chromogen. Tissues were counterstained with hematoxylin and mounted with DPX.
product information
SKU :
HA723505
Target name :
TOM70
Species reactivity :
Human,Mouse,Rat,Monkey
Applications :
WB,IHC-P,FC,IF-Cell,IP
Conjugate :
Non-conjugated
Immunogen :
Recombinant protein within human TOM70 aa 86-608 / 608.
Uniprot id :
O94826>SwissProt: O94826 Human;SwissProt: Q9CZW5 Mouse;SwissProt: Q75Q39 Rat;SwissProt: G7NZN9 Monkey
Host :
Rabbit
Clone number :
PSH13-00
Isotype :
IgG
Size :
100μl
List Price :
385.00 USD
Storage Buffer :
PBS (pH7.4), 0.1% BSA, 40% Glycerol. Preservative: 0.05% Sodium Azide.
Form :
Liquid
Storage Instruction :
Shipped at 4℃. Store at +4℃ short term (1-2 weeks). It is recommended to aliquot into single-use upon delivery. Store at -20℃ long term.
Purity :
Protein A affinity purified.
Product type :
Recombinant Rabbit monoclonal Antibody
Positive control :
MCF7 cell lysate, HeLa cell lysate, HepG2 cell lysate, Jurkat cell lysate, MDA-MB-231 cell lysate, NIH/3T3 cell lysate, 4T1 cell lysate, C6 cell lysate, PC-12 cell lysate, COS-1 cell lysate, human colon tissue, mouse colon tissue, rat colon tissue, HeLa, NIH/3T3, C6.
Molecular wt :
Predicted band size: 67 kDa
Subcellular location :
Mitochondrion outer membrane.
Concentration :
1 mg/mL.
Recommended dilutions :
WB: 1:20,000
;IHC-P: 1:200
;IF-Cell: 1:100
;FC: 1:1,000
;IP: 1-2μg/sample
Pic img4 :
https://storage.huabio.cn/huabio/productImg/HA723505_4.jpg
Pic legend4 :
Immunohistochemical analysis of paraffin-embedded rat colon tissue with Rabbit anti-TOM70 antibody (HA723505) at 1/200 dilution.
The section was pre-treated using heat mediated antigen retrieval with Tris-EDTA buffer (pH 9.0) for 20 minutes. The tissues were blocked in 1% BSA for 20 minutes at room temperature, washed with ddH2O and PBS, and then probed with the primary antibody (HA723505) at 1/200 dilution for 1 hour at room temperature. The detection was performed using an HRP conjugated compact polymer system. DAB was used as the chromogen. Tissues were counterstained with hematoxylin and mounted with DPX.
Pic img5 :
https://storage.huabio.cn/huabio/productImg/HA723505_5.jpg
Pic legend5 :
Immunocytochemistry analysis of HeLa cells labeling TOM70 with Rabbit anti-TOM70 antibody (HA723505) at 1/100 dilution.
Cells were fixed in 4% paraformaldehyde for 15 minutes at room temperature, permeabilized with 0.1% Triton X-100 in PBS for 15 minutes at room temperature, then blocked with 1% BSA in 10% negative goat serum for 1 hour at room temperature. Cells were then incubated with Rabbit anti-TOM70 antibody (HA723505) at 1/100 dilution in 1% BSA in PBST overnight at 4 ℃. Goat Anti-Rabbit IgG H&L (iFluor™ 488, HA1121) was used as the secondary antibody at 1/1,000 dilution. PBS instead of the primary antibody was used as the secondary antibody only control. Nuclear DNA was labelled in blue with DAPI.
Beta tubulin (HA601187, red) was stained at 1/100 dilution overnight at +4℃. Goat Anti-Mouse IgG H&L (iFluor™ 594, HA1126) was used as the secondary antibody at 1/1,000 dilution.
Pic img6 :
https://storage.huabio.cn/huabio/productImg/HA723505_6.jpg
Pic legend6 :
Immunocytochemistry analysis of NIH/3T3 cells labeling TOM70 with Rabbit anti-TOM70 antibody (HA723505) at 1/100 dilution.
Cells were fixed in 4% paraformaldehyde for 15 minutes at room temperature, permeabilized with 0.1% Triton X-100 in PBS for 15 minutes at room temperature, then blocked with 1% BSA in 10% negative goat serum for 1 hour at room temperature. Cells were then incubated with Rabbit anti-TOM70 antibody (HA723505) at 1/100 dilution in 1% BSA in PBST overnight at 4 ℃. Goat Anti-Rabbit IgG H&L (iFluor™ 488, HA1121) was used as the secondary antibody at 1/1,000 dilution. PBS instead of the primary antibody was used as the secondary antibody only control. Nuclear DNA was labelled in blue with DAPI.
Beta tubulin (HA601187, red) was stained at 1/100 dilution overnight at +4℃. Goat Anti-Mouse IgG H&L (iFluor™ 594, HA1126) was used as the secondary antibody at 1/1,000 dilution.
Pic img7 :
https://storage.huabio.cn/huabio/productImg/HA723505_7.jpg
Pic legend7 :
Immunocytochemistry analysis of C6 cells labeling TOM70 with Rabbit anti-TOM70 antibody (HA723505) at 1/100 dilution.
Cells were fixed in 4% paraformaldehyde for 15 minutes at room temperature, permeabilized with 0.1% Triton X-100 in PBS for 15 minutes at room temperature, then blocked with 1% BSA in 10% negative goat serum for 1 hour at room temperature. Cells were then incubated with Rabbit anti-TOM70 antibody (HA723505) at 1/100 dilution in 1% BSA in PBST overnight at 4 ℃. Goat Anti-Rabbit IgG H&L (iFluor™ 488, HA1121) was used as the secondary antibody at 1/1,000 dilution. PBS instead of the primary antibody was used as the secondary antibody only control. Nuclear DNA was labelled in blue with DAPI.
Beta tubulin (HA601187, red) was stained at 1/100 dilution overnight at +4℃. Goat Anti-Mouse IgG H&L (iFluor™ 594, HA1126) was used as the secondary antibody at 1/1,000 dilution.
Pic img8 :
https://storage.huabio.cn/huabio/productImg/HA723505_8.jpg
Pic legend8 :
Flow cytometric analysis of HeLa cells labeling TOM70.
Cells were fixed and permeabilized. Then stained with the primary antibody (HA723505, 1/1,000) (red) compared with Rabbit IgG Isotype Control (green). After incubation of the primary antibody at +4℃ for an hour, the cells were stained with a iFluor™ 488 conjugate-Goat anti-Rabbit IgG Secondary antibody (HA1121) at 1/1,000 dilution for 30 minutes at +4℃. Unlabelled sample was used as a control (cells without incubation with primary antibody; black).
Pic img9 :
https://storage.huabio.cn/huabio/productImg/HA723505_9.jpg
Pic legend9 :
Flow cytometric analysis of NIH/3T3 cells labeling TOM70.
Cells were fixed and permeabilized. Then stained with the primary antibody (HA723505, 1/1,000) (red) compared with Rabbit IgG Isotype Control (green). After incubation of the primary antibody at +4℃ for an hour, the cells were stained with a iFluor™ 488 conjugate-Goat anti-Rabbit IgG Secondary antibody (HA1121) at 1/1,000 dilution for 30 minutes at +4℃. Unlabelled sample was used as a control (cells without incubation with primary antibody; black).
Pic img10 :
https://storage.huabio.cn/huabio/productImg/HA723505_10.jpg
Pic legend10 :
Flow cytometric analysis of C6 cells labeling TOM70.
Cells were fixed and permeabilized. Then stained with the primary antibody (HA723505, 1/1,000) (red) compared with Rabbit IgG Isotype Control (green). After incubation of the primary antibody at +4℃ for an hour, the cells were stained with a iFluor™ 488 conjugate-Goat anti-Rabbit IgG Secondary antibody (HA1121) at 1/1,000 dilution for 30 minutes at +4℃. Unlabelled sample was used as a control (cells without incubation with primary antibody; black).
Pic img11 :
https://storage.huabio.cn/huabio/productImg/HA723505_11.jpg
Pic legend11 :
TOM70 was immunoprecipitated from 0.2 mg MCF7 cell lysate with HA723505 at 2 µg/10 µl beads. Western blot was performed from the immunoprecipitate using HA723505 at 1/5,000 dilution. HRP Conjugated Anti-Rabbit IgG for IP secondary antibody at 1/5,000 dilution was used for 1 hour at room temperature.
Lane 1: MCF7 cell lysate (input)
Lane 2: HA723505 IP in MCF7 cell lysate
Lane 3: Rabbit IgG instead of HA723505 in MCF7 cell lysate
Blocking/Dilution buffer: 5% NFDM/TBST
Exposure time: 2 seconds; ECL: K1801
more info or order :
company information

HUABIO
Founded in 2007, HUABIO is dedicated to developing high-quality antibodies that advance innovation. We are passionate about the accuracy, efficiency, and consistency of our products. That is why we have invested in new production platforms, like recombinant rabbit monoclonals, alpaca nanobodies, and adopted aggressive QA standards to deliver cutting-edge antibodies with uncompromised quality.
We hope to see you at your next discovery!
We hope to see you at your next discovery!
related products
browse more products
questions and comments
