product summary
Loading...
company name :
HUABIO
product type :
antibody
product name :
BAF170
catalog :
HA723413
quantity :
100μl
price :
385.00 USD
clonality :
monoclonal
host :
domestic rabbit
conjugate :
nonconjugated
clone name :
PSH12-00
reactivity :
human, mouse, rat
application :
western blot, immunoprecipitation, chromatin immunoprecipitation, immunohistochemistry - paraffin section
more info or order :
image
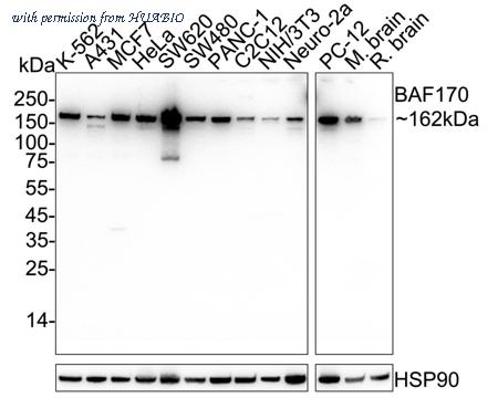
image 1 :

Western blot analysis of BAF170 on different lysates with Rabbit anti-BAF170 antibody (HA723413) at 1/5,000 dilution.
Lane 1: K-562 cell lysate (20 µg/Lane)
Lane 2: A431 cell lysate (20 µg/Lane)
Lane 3: MCF7 cell lysate (20 µg/Lane)
Lane 4: HeLa cell lysate (20 µg/Lane)
Lane 5: SW620 cell lysate (20 µg/Lane)
Lane 6: SW680 cell lysate (20 µg/Lane)
Lane 7: PANC cell lysate (20 µg/Lane)
Lane 8: C2C12 cell lysate (20 µg/Lane)
Lane 9: NIH/3T3 cell lysate (20 µg/Lane)
Lane 10: Neuro-2a cell lysate (20 µg/Lane)
Lane 11: PC-12 cell lysate (20 µg/Lane)
Lane 12: Mouse brain tissue lysate (40 µg/Lane)
Lane 13: Rat brain tissue lysate (40 µg/Lane)
Predicted band size: 133 kDa
Observed band size: 162 kDa
Exposure time: 25 seconds; ECL: K1801;
4-20% SDS-PAGE gel.
Proteins were transferred to a PVDF membrane and blocked with 5% NFDM/TBST for 1 hour at room temperature. The primary antibody (HA723413) at 1/5,000 dilution was used in primary antibody dilution (K1803) at 4℃ overnight. Goat Anti-Rabbit IgG - HRP Secondary Antibody (HA1001) at 1/50,000 dilution was used for 1 hour at room temperature.
image 2 :

Immunohistochemical analysis of paraffin-embedded human brain tissue with Rabbit anti-BAF170 antibody (HA723413) at 1/1,000 dilution.
The section was pre-treated using heat mediated antigen retrieval with Tris-EDTA buffer (pH 9.0) for 20 minutes. The tissues were blocked in 1% BSA for 20 minutes at room temperature, washed with ddH2O and PBS, and then probed with the primary antibody (HA723413) at 1/1,000 dilution for 1 hour at room temperature. The detection was performed using an HRP conjugated compact polymer system. DAB was used as the chromogen. Tissues were counterstained with hematoxylin and mounted with DPX.
image 3 :

Immunohistochemical analysis of paraffin-embedded human stomach tissue with Rabbit anti-BAF170 antibody (HA723413) at 1/1,000 dilution.
The section was pre-treated using heat mediated antigen retrieval with Tris-EDTA buffer (pH 9.0) for 20 minutes. The tissues were blocked in 1% BSA for 20 minutes at room temperature, washed with ddH2O and PBS, and then probed with the primary antibody (HA723413) at 1/1,000 dilution for 1 hour at room temperature. The detection was performed using an HRP conjugated compact polymer system. DAB was used as the chromogen. Tissues were counterstained with hematoxylin and mounted with DPX.
product information
SKU :
HA723413
Target name :
BAF170
Species reactivity :
Human,Mouse,Rat
Applications :
WB,IHC-P,IF-Cell,IP,ChIP
Conjugate :
Non-conjugated
Immunogen :
Recombinant protein within human BAF170 aa 915-1,214.
Uniprot id :
Q8TAQ2>SwissProt: Q8TAQ2 Human;SwissProt: Q6PDG5 Mouse;Entrez Gene: 362815 Rat
Host :
Rabbit
Clone number :
PSH12-00
Isotype :
IgG
Size :
100μl
List Price :
385.00 USD
Storage Buffer :
PBS (pH7.4), 0.1% BSA, 40% Glycerol. Preservative: 0.05% Sodium Azide.
Form :
Liquid
Storage Instruction :
Shipped at 4℃. Store at +4℃ short term (1-2 weeks). It is recommended to aliquot into single-use upon delivery. Store at -20℃ long term.
Purity :
Protein A affinity purified.
Product type :
Recombinant Rabbit monoclonal Antibody
Positive control :
K-562 cell lysate, A431 cell lysate, MCF7 cell lysate, HeLa cell lysate, SW620 cell lysate, SW680 cell lysate, PANC cell lysate, C2C12 cell lysate, NIH/3T3 cell lysate, Neuro-2a cell lysate, PC-12 cell lysate, Mouse brain tissue lysate, Rat brain tissue lysate, human brain tissue, human stomach tissue, mouse brain tissue, mouse stomach tissue, rat brain tissue, rat stomach tissue, HeLa, Neuro-2a.
Molecular wt :
Predicted band size: 133 kDa
Subcellular location :
Nucleus.
Concentration :
1mg/mL.
Recommended dilutions :
WB: 1:5,000
;IHC-P: 1:1,000
;IF-Cell: 1:500
;IP: 1-2μg/sample
;ChIP: Use 5 μg for 25 μg of chromatin.
Pic img4 :
https://storage.huabio.cn/huabio/productImg/HA723413_4.jpg
Pic legend4 :
Immunohistochemical analysis of paraffin-embedded mouse brain tissue with Rabbit anti-BAF170 antibody (HA723413) at 1/1,000 dilution.
The section was pre-treated using heat mediated antigen retrieval with Tris-EDTA buffer (pH 9.0) for 20 minutes. The tissues were blocked in 1% BSA for 20 minutes at room temperature, washed with ddH2O and PBS, and then probed with the primary antibody (HA723413) at 1/1,000 dilution for 1 hour at room temperature. The detection was performed using an HRP conjugated compact polymer system. DAB was used as the chromogen. Tissues were counterstained with hematoxylin and mounted with DPX.
Pic img5 :
https://storage.huabio.cn/huabio/productImg/HA723413_5.jpg
Pic legend5 :
Immunohistochemical analysis of paraffin-embedded mouse stomach tissue with Rabbit anti-BAF170 antibody (HA723413) at 1/1,000 dilution.
The section was pre-treated using heat mediated antigen retrieval with Tris-EDTA buffer (pH 9.0) for 20 minutes. The tissues were blocked in 1% BSA for 20 minutes at room temperature, washed with ddH2O and PBS, and then probed with the primary antibody (HA723413) at 1/1,000 dilution for 1 hour at room temperature. The detection was performed using an HRP conjugated compact polymer system. DAB was used as the chromogen. Tissues were counterstained with hematoxylin and mounted with DPX.
Pic img6 :
https://storage.huabio.cn/huabio/productImg/HA723413_6.jpg
Pic legend6 :
Immunohistochemical analysis of paraffin-embedded rat brain tissue with Rabbit anti-BAF170 antibody (HA723413) at 1/1,000 dilution.
The section was pre-treated using heat mediated antigen retrieval with Tris-EDTA buffer (pH 9.0) for 20 minutes. The tissues were blocked in 1% BSA for 20 minutes at room temperature, washed with ddH2O and PBS, and then probed with the primary antibody (HA723413) at 1/1,000 dilution for 1 hour at room temperature. The detection was performed using an HRP conjugated compact polymer system. DAB was used as the chromogen. Tissues were counterstained with hematoxylin and mounted with DPX.
Pic img7 :
https://storage.huabio.cn/huabio/productImg/HA723413_7.jpg
Pic legend7 :
Immunohistochemical analysis of paraffin-embedded rat stomach tissue with Rabbit anti-BAF170 antibody (HA723413) at 1/1,000 dilution.
The section was pre-treated using heat mediated antigen retrieval with Tris-EDTA buffer (pH 9.0) for 20 minutes. The tissues were blocked in 1% BSA for 20 minutes at room temperature, washed with ddH2O and PBS, and then probed with the primary antibody (HA723413) at 1/1,000 dilution for 1 hour at room temperature. The detection was performed using an HRP conjugated compact polymer system. DAB was used as the chromogen. Tissues were counterstained with hematoxylin and mounted with DPX.
Pic img8 :
https://storage.huabio.cn/huabio/productImg/HA723413_8.jpg
Pic legend8 :
Immunocytochemistry analysis of HeLa cells labeling BAF170 with Rabbit anti-BAF170 antibody (HA723413) at 1/500 dilution.
Cells were fixed in 4% paraformaldehyde for 15 minutes at room temperature, permeabilized with 0.1% Triton X-100 in PBS for 15 minutes at room temperature, then blocked with 1% BSA in 10% negative goat serum for 1 hour at room temperature. Cells were then incubated with Rabbit anti-BAF170 antibody (HA723413) at 1/500 dilution in 1% BSA in PBST overnight at 4 ℃. Goat Anti-Rabbit IgG H&L (iFluor™ 594, HA1126) was used as the secondary antibody at 1/1,000 dilution. PBS instead of the primary antibody was used as the secondary antibody only control. Nuclear DNA was labelled in blue with DAPI.
Beta tubulin (HA601187, red) was stained at 1/100 dilution overnight at +4℃. Goat Anti-Mouse IgG H&L (iFluor™ 594, HA1126) was used as the secondary antibody at 1/1,000 dilution.
Pic img9 :
https://storage.huabio.cn/huabio/productImg/HA723413_9.jpg
Pic legend9 :
Immunocytochemistry analysis of Neuro-2a cells labeling BAF170 with Rabbit anti-BAF170 antibody (HA723413) at 1/500 dilution.
Cells were fixed in 4% paraformaldehyde for 15 minutes at room temperature, permeabilized with 0.1% Triton X-100 in PBS for 15 minutes at room temperature, then blocked with 1% BSA in 10% negative goat serum for 1 hour at room temperature. Cells were then incubated with Rabbit anti-BAF170 antibody (HA723413) at 1/500 dilution in 1% BSA in PBST overnight at 4 ℃. Goat Anti-Rabbit IgG H&L (iFluor™ 594, HA1126) was used as the secondary antibody at 1/1,000 dilution. PBS instead of the primary antibody was used as the secondary antibody only control. Nuclear DNA was labelled in blue with DAPI.
Beta tubulin (HA601187, red) was stained at 1/100 dilution overnight at +4℃. Goat Anti-Mouse IgG H&L (iFluor™ 594, HA1126) was used as the secondary antibody at 1/1,000 dilution.
Pic img10 :
https://storage.huabio.cn/huabio/productImg/HA723413_10.jpg
Pic legend10 :
BAF170 was immunoprecipitated from 0.2 mg MCF7 cell lysate with HA723413 at 2 µg/10 µl beads. Western blot was performed from the immunoprecipitate using HA723413 at 1/1,000 dilution. HRP Conjugated Anti-Rabbit IgG for IP Nano-secondary antibody at 1/5,000 dilution was used for 1 hour at room temperature.
Lane 1: MCF7 cell lysate (input)
Lane 2: HA723413 IP in MCF7 cell lysate
Lane 3: Rabbit IgG instead of HA723413 in MCF7 cell lysate
Blocking/Dilution buffer: 5% NFDM/TBST
Exposure time: 30 seconds; ECL: K1801
Pic img11 :
https://storage.huabio.cn/huabio/productImg/HA723413_11.jpg
Pic legend11 :
Chromatin immunoprecipitations were performed with cross-linked chromatin from HeLa cells with BAF170 (HA723413) or Normal Rabbit IgG according to the ChIP protocol. The enriched DNA was quantified by real-time PCR using indicated primers. The amount of immunoprecipitated DNA in each sample is represented as signal relative to the total amount of input chromatin, which is equivalent to one.
more info or order :
company information

HUABIO
Founded in 2007, HUABIO is dedicated to developing high-quality antibodies that advance innovation. We are passionate about the accuracy, efficiency, and consistency of our products. That is why we have invested in new production platforms, like recombinant rabbit monoclonals, alpaca nanobodies, and adopted aggressive QA standards to deliver cutting-edge antibodies with uncompromised quality.
We hope to see you at your next discovery!
We hope to see you at your next discovery!
related products
browse more products
questions and comments
