product summary
Loading...
company name :
HUABIO
product type :
antibody
product name :
Integrin beta 3
catalog :
HA723085
quantity :
100μl
price :
385.00 USD
clonality :
monoclonal
host :
domestic rabbit
conjugate :
nonconjugated
clone name :
PSH09-27
reactivity :
human, mouse, rat
application :
western blot, immunohistochemistry - paraffin section
more info or order :
image
image 1 :

Western blot analysis of Integrin beta 3 on different lysates with Rabbit anti-Integrin beta 3 antibody (HA723085) at 1/5,000 dilution.
Lane 1: U-87 MG cell lysate (20 µg/Lane)
Lane 2: LNCaP cell lysate (low expression) (20 µg/Lane)
Lane 3: HUVEC cell lysate (20 µg/Lane)
Lane 4: C2C12 cell lysate (20 µg/Lane)
Lane 5: Mouse spleen tissue lysate (40 µg/Lane)
Lane 6: Rat spleen tissue lysate (40 µg/Lane)
Predicted band size: 87 kDa
Observed band size: 100 kDa
Exposure time: 20 seconds; ECL: K1801;
4-20% SDS-PAGE gel.
Proteins were transferred to a PVDF membrane and blocked with 5% NFDM/TBST for 1 hour at room temperature. The primary antibody (HA723085) at 1/5,000 dilution was used in 5% NFDM/TBST at 4℃ overnight. Goat Anti-Rabbit IgG - HRP Secondary Antibody (HA1001) at 1/50,000 dilution was used for 1 hour at room temperature.
image 2 :

Application: IF-Tissue
Species: Human
Site: spleen
Sample: Paraffin-embedded section
Antibody concentration: 1/1,000
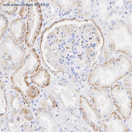
image 3 :

Immunohistochemical analysis of paraffin-embedded human kidney tissue with Rabbit anti-Integrin beta 3 antibody (HA723085) at 1/2,000 dilution.
The section was pre-treated using heat mediated antigen retrieval with Tris-EDTA buffer (pH 9.0) for 20 minutes. The tissues were blocked in 1% BSA for 20 minutes at room temperature, washed with ddH2O and PBS, and then probed with the primary antibody (HA723085) at 1/2,000 dilution for 1 hour at room temperature. The detection was performed using an HRP conjugated compact polymer system. DAB was used as the chromogen. Tissues were counterstained with hematoxylin and mounted with DPX.
product information
SKU :
HA723085
Target name :
Integrin beta 3
Species reactivity :
Human,Mouse,Rat
Applications :
WB,IHC-P,IF-Tissue
Conjugate :
Non-conjugated
Immunogen :
Synthetic peptide within human Integrin beta 3 aa 101-150.
Uniprot id :
P05106>SwissProt: P05106 Human;SwissProt: O54890 Mouse;Entrez Gene: 29302 Rat
Host :
Rabbit
Clone number :
PSH09-27
Isotype :
IgG
Size :
100μl
List Price :
385.00 USD
Storage Buffer :
PBS (pH7.4), 0.1% BSA, 40% Glycerol. Preservative: 0.05% Sodium Azide.
Form :
Liquid
Storage Instruction :
Shipped at 4℃. Store at +4℃ short term (1-2 weeks). It is recommended to aliquot into single-use upon delivery. Store at -20℃ long term.
Purity :
Protein A affinity purified.
Product type :
Recombinant Rabbit monoclonal Antibody
Positive control :
U-87 MG cell lysate, LNCaP cell lysate, HUVEC cell lysate, C2C12 cell lysate, Mouse spleen tissue lysate, Rat spleen tissue lysate, human kidney tissue, human spleen tissue, mouse spleen tissue, rat spleen tissue.
Molecular wt :
Predicted band size: 87 kDa
Subcellular location :
Cell membrane, Cell projection, lamellipodium membrane, Cell junction, focal adhesion, Postsynaptic cell membrane, Synapse.
Concentration :
1 mg/mL.
Recommended dilutions :
WB: 1:5,000
;IHC-P: 1:2,000
;IF-Tissue: 1:1,000
Advanced Validation :
Relative expression (RE)
Pic img4 :
https://storage.huabio.cn/huabio/productImg/HA723085_4.jpg
Pic legend4 :
Immunohistochemical analysis of paraffin-embedded human spleen tissue with Rabbit anti-Integrin beta 3 antibody (HA723085) at 1/2,000 dilution.
The section was pre-treated using heat mediated antigen retrieval with Tris-EDTA buffer (pH 9.0) for 20 minutes. The tissues were blocked in 1% BSA for 20 minutes at room temperature, washed with ddH2O and PBS, and then probed with the primary antibody (HA723085) at 1/2,000 dilution for 1 hour at room temperature. The detection was performed using an HRP conjugated compact polymer system. DAB was used as the chromogen. Tissues were counterstained with hematoxylin and mounted with DPX.
Pic img5 :
https://storage.huabio.cn/huabio/productImg/HA723085_5.jpg
Pic legend5 :
Immunohistochemical analysis of paraffin-embedded mouse spleen tissue with Rabbit anti-Integrin beta 3 antibody (HA723085) at 1/2,000 dilution.
The section was pre-treated using heat mediated antigen retrieval with Tris-EDTA buffer (pH 9.0) for 20 minutes. The tissues were blocked in 1% BSA for 20 minutes at room temperature, washed with ddH2O and PBS, and then probed with the primary antibody (HA723085) at 1/2,000 dilution for 1 hour at room temperature. The detection was performed using an HRP conjugated compact polymer system. DAB was used as the chromogen. Tissues were counterstained with hematoxylin and mounted with DPX.
Pic img6 :
https://storage.huabio.cn/huabio/productImg/HA723085_6.jpg
Pic legend6 :
Immunohistochemical analysis of paraffin-embedded rat spleen tissue with Rabbit anti-Integrin beta 3 antibody (HA723085) at 1/2,000 dilution.
The section was pre-treated using heat mediated antigen retrieval with Tris-EDTA buffer (pH 9.0) for 20 minutes. The tissues were blocked in 1% BSA for 20 minutes at room temperature, washed with ddH2O and PBS, and then probed with the primary antibody (HA723085) at 1/2,000 dilution for 1 hour at room temperature. The detection was performed using an HRP conjugated compact polymer system. DAB was used as the chromogen. Tissues were counterstained with hematoxylin and mounted with DPX.
more info or order :
company information

HUABIO
Founded in 2007, HUABIO is dedicated to developing high-quality antibodies that advance innovation. We are passionate about the accuracy, efficiency, and consistency of our products. That is why we have invested in new production platforms, like recombinant rabbit monoclonals, alpaca nanobodies, and adopted aggressive QA standards to deliver cutting-edge antibodies with uncompromised quality.
We hope to see you at your next discovery!
We hope to see you at your next discovery!
related products
browse more products
questions and comments
