product summary
Loading...
company name :
HUABIO
product type :
antibody
product name :
SIRT7
catalog :
HA723075
quantity :
100μl
price :
385.00 USD
clonality :
monoclonal
host :
domestic rabbit
conjugate :
nonconjugated
clone name :
PSH09-17
reactivity :
human, mouse, rat
application :
western blot, immunoprecipitation, chromatin immunoprecipitation, immunohistochemistry - paraffin section
more info or order :
image
image 1 :

Western blot analysis of SIRT7 on different lysates with Rabbit anti-SIRT7 antibody (HA723075) at 1/2,000 dilution.
Lane 1: HEK-293 cell lysate
Lane 2: HeLa cell lysate
Lane 3: U-2 OS cell lysate
Lane 4: Neuro-2a cell lysate
Lane 5: C6 cell lysate
Lane 6: Mouse liver tissue lysate
Lane 7: Rat spleen tissue lysate
Lysates/proteins at 20 µg/Lane.
Predicted band size: 45 kDa
Observed band size: 45 kDa
Exposure time: 3 minutes; ECL: K1801;
4-20% SDS-PAGE gel.
Proteins were transferred to a PVDF membrane and blocked with 5% NFDM/TBST for 1 hour at room temperature. The primary antibody (HA723075) at 1/2,000 dilution was used in 5% NFDM/TBST at 4℃ overnight. Goat Anti-Rabbit IgG - HRP Secondary Antibody (HA1001) at 1/50,000 dilution was used for 1 hour at room temperature.
image 2 :

Immunocytochemistry analysis of RAW264.7 cells labeling SIRT7 with Rabbit anti-SIRT7 antibody (HA723075) at 1/100 dilution.
Cells were fixed in 4% paraformaldehyde for 15 minutes at room temperature, permeabilized with 0.1% Triton X-100 in PBS for 15 minutes at room temperature, then blocked with 1% BSA in 10% negative goat serum for 1 hour at room temperature. Cells were then incubated with Rabbit anti-SIRT7 antibody (HA723075) at 1/100 dilution in 1% BSA in PBST overnight at 4 ℃. Goat Anti-Rabbit IgG H&L (iFluor™ 488, HA1121) was used as the secondary antibody at 1/1,000 dilution. PBS instead of the primary antibody was used as the secondary antibody only control. Nuclear DNA was labelled in blue with DAPI.
Beta tubulin (HA601187, red) was stained at 1/100 dilution overnight at +4℃. Goat Anti-Mouse IgG H&L (iFluor™ 594, HA1126) was used as the secondary antibody at 1/1,000 dilution.
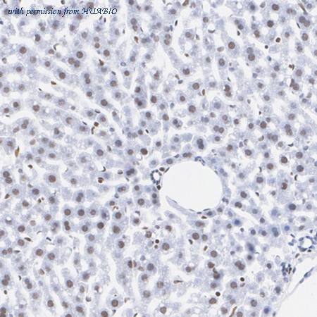
image 3 :

Immunohistochemical analysis of paraffin-embedded mouse liver tissue with Rabbit anti-SIRT7 antibody (HA723075) at 1/500 dilution.
The section was pre-treated using heat mediated antigen retrieval with sodium citrate buffer (pH 6.0) (high pressure) for 2 minutes. The tissues were blocked in 1% BSA for 20 minutes at room temperature, washed with ddH2O and PBS, and then probed with the primary antibody (HA723075) at 1/500 dilution for 1 hour at room temperature. The detection was performed using an HRP conjugated compact polymer system. DAB was used as the chromogen. Tissues were counterstained with hematoxylin and mounted with DPX.
product information
SKU :
HA723075
Target name :
SIRT7
Species reactivity :
Human,Mouse,Rat
Applications :
WB,IF-Cell,IHC-P,IP,ChIP
Conjugate :
Non-conjugated
Immunogen :
Recombinant protein within human SIRT7 aa 1-400.
Uniprot id :
Q9NRC8>SwissProt: Q9NRC8 Human;SwissProt: Q8BKJ9 Mouse;SwissProt: B2RZ55 Rat
Host :
Rabbit
Clone number :
PSH09-17
Isotype :
IgG
Size :
100μl
List Price :
385.00 USD
Storage Buffer :
PBS (pH7.4), 0.1% BSA, 40% Glycerol. Preservative: 0.05% Sodium Azide.
Form :
Liquid
Storage Instruction :
Shipped at 4℃. Store at +4℃ short term (1-2 weeks). It is recommended to aliquot into single-use upon delivery. Store at -20℃ long term.
Purity :
Protein A affinity purified.
Product type :
Recombinant Rabbit monoclonal Antibody
Positive control :
HEK-293 cell lysate, HeLa cell lysate, U-2 OS cell lysate, Neuro-2a cell lysate, C6 cell lysate, Mouse liver tissue lysate, Rat spleen tissue lysate, RAW264.7, mouse liver tissue.
Molecular wt :
Predicted band size: 45 kDa
Subcellular location :
Nucleus, nucleolus, nucleoplasm, Chromosome, Cytoplasm.
Concentration :
1 mg/mL.
Recommended dilutions :
WB: 1:2,000
;IF-Cell: 1:100
;IHC-P: 1:500
;IP: 1-2μg/sample
;ChIP: Use 0.5~2 μg for 25 μg of chromatin.
Pic img4 :
https://storage.huabio.cn/huabio/productImg/HA723075_4.jpg
Pic legend4 :
SIRT7 was immunoprecipitated from 0.2 mg HeLa cell lysate with HA723075 at 2 µg/10 µl beads. Western blot was performed from the immunoprecipitate using HA723075 at 1/1,000 dilution. Mouse Anti-Rabbit IgG kappa light chain secondary antibody (M1208-2) at 1/5,000 dilution was used for 1 hour at room temperature.
Lane 1: HeLa cell lysate (input)
Lane 2: HA723075 IP in HeLa cell lysate
Lane 3: Rabbit IgG instead of HA723075 in HeLa cell lysate
Blocking/Dilution buffer: 5% NFDM/TBST
Exposure time: 30 seconds; ECL: K1802
Pic img5 :
https://storage.huabio.cn/huabio/productImg/HA723075_5.jpg
Pic legend5 :
Chromatin immunoprecipitations were performed with cross-linked chromatin from HeLa cells with SIRT7 (HA723075) or Normal Rabbit IgG according to the ChIP protocol. The enriched DNA was quantified by real-time PCR using indicated primers. The amount of immunoprecipitated DNA in each sample is represented as signal relative to the total amount of input chromatin, which is equivalent to one.
more info or order :
company information

HUABIO
Founded in 2007, HUABIO is dedicated to developing high-quality antibodies that advance innovation. We are passionate about the accuracy, efficiency, and consistency of our products. That is why we have invested in new production platforms, like recombinant rabbit monoclonals, alpaca nanobodies, and adopted aggressive QA standards to deliver cutting-edge antibodies with uncompromised quality.
We hope to see you at your next discovery!
We hope to see you at your next discovery!
related products
browse more products
questions and comments
