product summary
Loading...
company name :
HUABIO
product type :
antibody
product name :
Phosphoserine aminotransferase
catalog :
HA723052
quantity :
100μl
price :
385.00 USD
clonality :
monoclonal
host :
domestic rabbit
conjugate :
nonconjugated
clone name :
PSH08-99
reactivity :
human, mouse, rat
application :
western blot, immunoprecipitation, flow cytometry, immunohistochemistry - paraffin section
more info or order :
image
image 1 :

Western blot analysis of Phosphoserine aminotransferase on different lysates with Rabbit anti-Phosphoserine aminotransferase antibody (HA723052) at 1/2,000 dilution.
Lane 1: NIH/3T3 cell lysate (20 µg/Lane)
Lane 2: mouse brain tissue lysate (40 µg/Lane)
Lane 3: rat brain tissue lysate (40 µg/Lane)
Predicted band size: 40 kDa
Observed band size: 40 kDa
Exposure time: 59 seconds; ECL: K1801;
4-20% SDS-PAGE gel.
Proteins were transferred to a PVDF membrane and blocked with 5% NFDM/TBST for 1 hour at room temperature. The primary antibody (HA723052) at 1/2,000 dilution was used in 5% NFDM/TBST at 4℃ overnight. Goat Anti-Rabbit IgG - HRP Secondary Antibody (HA1001) at 1/50,000 dilution was used for 1 hour at room temperature.
image 2 :

Western blot analysis of Phosphoserine aminotransferase on different lysates with Rabbit anti-Phosphoserine aminotransferase antibody (HA723052) at 1/2,000 dilution.
Lane 1: HeLa cell lysate
Lane 2: HEK-293 cell lysate
Lane 3: HepG2 cell lysate
Lane 4: K-562 cell lysate
Lane 5: A549 cell lysate
Lysates/proteins at 20 µg/Lane.
Predicted band size: 40 kDa
Observed band size: 40 kDa
Exposure time: 10 seconds; ECL: K1801;
4-20% SDS-PAGE gel.
Proteins were transferred to a PVDF membrane and blocked with 5% NFDM/TBST for 1 hour at room temperature. The primary antibody (HA723052) at 1/2,000 dilution was used in 5% NFDM/TBST at 4℃ overnight. Goat Anti-Rabbit IgG - HRP Secondary Antibody (HA1001) at 1/50,000 dilution was used for 1 hour at room temperature.
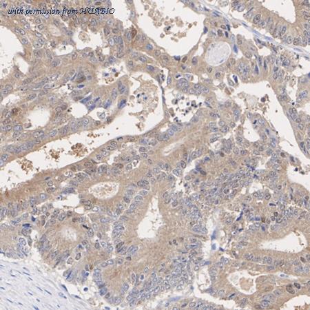
image 3 :

Immunohistochemical analysis of paraffin-embedded human colon cancer tissue with Rabbit anti-Phosphoserine aminotransferase antibody (HA723052) at 1/1,000 dilution.
The section was pre-treated using heat mediated antigen retrieval with Tris-EDTA buffer (pH 9.0) for 20 minutes. The tissues were blocked in 1% BSA for 20 minutes at room temperature, washed with ddH2O and PBS, and then probed with the primary antibody (HA723052) at 1/1,000 dilution for 1 hour at room temperature. The detection was performed using an HRP conjugated compact polymer system. DAB was used as the chromogen. Tissues were counterstained with hematoxylin and mounted with DPX.
product information
SKU :
HA723052
Target name :
Phosphoserine aminotransferase
Species reactivity :
Human,Mouse,Rat
Applications :
WB,IHC-P,FC,IP
Conjugate :
Non-conjugated
Immunogen :
Recombinant protein within human PSAT1 aa 1-370.
Uniprot id :
Q9Y617>SwissProt: Q9Y617 Human;SwissProt: Q99K85 Mouse;Entrez Gene: 293820 Rat
Host :
Rabbit
Clone number :
PSH08-99
Isotype :
IgG
Size :
100μl
List Price :
385.00 USD
Storage Buffer :
PBS (pH7.4), 0.1% BSA, 40% Glycerol. Preservative: 0.05% Sodium Azide.
Form :
Liquid
Storage Instruction :
Shipped at 4℃. Store at +4℃ short term (1-2 weeks). It is recommended to aliquot into single-use upon delivery. Store at -20℃ long term.
Purity :
Protein A affinity purified.
Product type :
Recombinant Rabbit monoclonal Antibody
Positive control :
NIH/3T3 cell lysate, mouse brain tissue lysate, rat brain tissue lysate, HeLa cell lysate, HEK-293 cell lysate, HepG2 cell lysate, K-562 cell lysate, A549 cell lysate, human colon cancer tissue, human kidney tissue, rat kidney tissue, HeLa.
Molecular wt :
Predicted band size: 40 kDa
Subcellular location :
Cytoplasm, cytosol.
Concentration :
1 mg/mL.
Recommended dilutions :
WB: 1:2,000
;IHC-P: 1:1,000
;FC: 1:1,000
;IP: 1-2μg/sample
Pic img4 :
https://storage.huabio.cn/huabio/productImg/HA723052_4.jpg
Pic legend4 :
Immunohistochemical analysis of paraffin-embedded human kidney tissue with Rabbit anti-Phosphoserine aminotransferase antibody (HA723052) at 1/1,000 dilution.
The section was pre-treated using heat mediated antigen retrieval with Tris-EDTA buffer (pH 9.0) for 20 minutes. The tissues were blocked in 1% BSA for 20 minutes at room temperature, washed with ddH2O and PBS, and then probed with the primary antibody (HA723052) at 1/1,000 dilution for 1 hour at room temperature. The detection was performed using an HRP conjugated compact polymer system. DAB was used as the chromogen. Tissues were counterstained with hematoxylin and mounted with DPX.
Pic img5 :
https://storage.huabio.cn/huabio/productImg/HA723052_5.jpg
Pic legend5 :
Immunohistochemical analysis of paraffin-embedded rat kidney tissue with Rabbit anti-Phosphoserine aminotransferase antibody (HA723052) at 1/1,000 dilution.
The section was pre-treated using heat mediated antigen retrieval with Tris-EDTA buffer (pH 9.0) for 20 minutes. The tissues were blocked in 1% BSA for 20 minutes at room temperature, washed with ddH2O and PBS, and then probed with the primary antibody (HA723052) at 1/1,000 dilution for 1 hour at room temperature. The detection was performed using an HRP conjugated compact polymer system. DAB was used as the chromogen. Tissues were counterstained with hematoxylin and mounted with DPX.
Pic img6 :
https://storage.huabio.cn/huabio/productImg/HA723052_6.jpg
Pic legend6 :
Flow cytometric analysis of HeLa cells labeling Phosphoserine aminotransferase.
Cells were fixed and permeabilized. Then stained with the primary antibody (HA723052, 1/1,000) (red) compared with Rabbit IgG Isotype Control (green). After incubation of the primary antibody at +4℃ for an hour, the cells were stained with a iFluor™ 488 conjugate-Goat anti-Rabbit IgG Secondary antibody (HA1121) at 1/1,000 dilution for 30 minutes at +4℃. Unlabelled sample was used as a control (cells without incubation with primary antibody; black).
Pic img7 :
https://storage.huabio.cn/huabio/productImg/HA723052_7.jpg
Pic legend7 :
Phosphoserine aminotransferase was immunoprecipitated from 0.2 mg HeLa cell lysate with HA723052 at 2 µg/10 µl beads. Western blot was performed from the immunoprecipitate using HA723052 at 1/1,000 dilution. Mouse Anti-Rabbit IgG kappa light chain secondary antibody (M1208-2) at 1/5,000 dilution was used for 1 hour at room temperature.
Lane 1: HeLa cell lysate (input)
Lane 2: HA723052 IP in HeLa cell lysate
Lane 3: Rabbit IgG instead of HA723052 in HeLa cell lysate
Blocking/Dilution buffer: 5% NFDM/TBST
Exposure time: 2 seconds; ECL: K1801
more info or order :
company information

HUABIO
Founded in 2007, HUABIO is dedicated to developing high-quality antibodies that advance innovation. We are passionate about the accuracy, efficiency, and consistency of our products. That is why we have invested in new production platforms, like recombinant rabbit monoclonals, alpaca nanobodies, and adopted aggressive QA standards to deliver cutting-edge antibodies with uncompromised quality.
We hope to see you at your next discovery!
We hope to see you at your next discovery!
related products
browse more products
questions and comments
