product summary
Loading...
company name :
HUABIO
product type :
antibody
product name :
Hexokinase II
catalog :
HA723033
quantity :
100μl
price :
385.00 USD
clonality :
monoclonal
host :
domestic rabbit
conjugate :
nonconjugated
clone name :
PSH08-81
reactivity :
human, mouse, rat
application :
western blot, immunoprecipitation, immunohistochemistry - paraffin section
more info or order :
image
image 1 :

Western blot analysis of Hexokinase II on different lysates with Rabbit anti-Hexokinase II antibody (HA723033) at 1/2,000 dilution.
Lane 1: HeLa cell lysate (20 µg/Lane)
Lane 2: 293T cell lysate (20 µg/Lane)
Lane 3: HepG2 cell lysate (20 µg/Lane)
Lane 4: Jurkat cell lysate (20 µg/Lane)
Lane 5: A549 cell lysate (negative) (20 µg/Lane)
Lane 6: LNCaP cell lysate (20 µg/Lane)
Lane 7: NIH/3T3 cell lysate (20 µg/Lane)
Lane 8: 4T1 cell lysate (20 µg/Lane)
Lane 9: PC-12 cell lysate (20 µg/Lane)
Lane 10: Mouse skeletal muscle tissue lysate (40 µg/Lane)
Lane 11: Mouse testis tissue lysate (40 µg/Lane)
Lane 12: Rat skeletal muscle tissue lysate (40 µg/Lane)
Lane 13: Rat testis tissue lysate (40 µg/Lane)
Predicted band size: 102 kDa
Observed band size: 102 kDa
Exposure time: 2 minutes 18 seconds; ECL: K1801;
4-20% SDS-PAGE gel.
Proteins were transferred to a PVDF membrane and blocked with 5% NFDM/TBST for 1 hour at room temperature. The primary antibody (HA723033) at 1/2,000 dilution was used in 5% NFDM/TBST at 4℃ overnight. Goat Anti-Rabbit IgG - HRP Secondary Antibody (HA1001) at 1/50,000 dilution was used for 1 hour at room temperature.
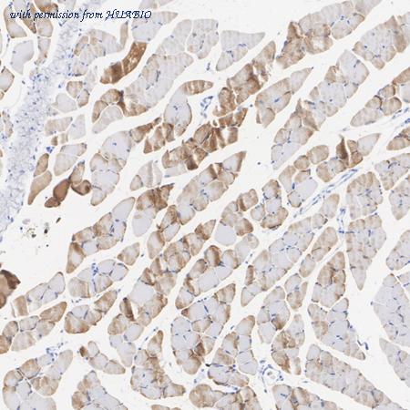
image 2 :

Immunohistochemical analysis of paraffin-embedded mouse skeletal muscle tissue with Rabbit anti-Hexokinase II antibody (HA723033) at 1/200 dilution.
The section was pre-treated using heat mediated antigen retrieval with Tris-EDTA buffer (pH 9.0) for 20 minutes. The tissues were blocked in 1% BSA for 20 minutes at room temperature, washed with ddH2O and PBS, and then probed with the primary antibody (HA723033) at 1/200 dilution for 1 hour at room temperature. The detection was performed using an HRP conjugated compact polymer system. DAB was used as the chromogen. Tissues were counterstained with hematoxylin and mounted with DPX.
image 3 :

Immunohistochemical analysis of paraffin-embedded mouse testis tissue with Rabbit anti-Hexokinase II antibody (HA723033) at 1/1,000 dilution.
The section was pre-treated using heat mediated antigen retrieval with Tris-EDTA buffer (pH 9.0) for 20 minutes. The tissues were blocked in 1% BSA for 20 minutes at room temperature, washed with ddH2O and PBS, and then probed with the primary antibody (HA723033) at 1/1,000 dilution for 1 hour at room temperature. The detection was performed using an HRP conjugated compact polymer system. DAB was used as the chromogen. Tissues were counterstained with hematoxylin and mounted with DPX.
product information
SKU :
HA723033
Target name :
Hexokinase II
Species reactivity :
Human,Mouse,Rat
Applications :
WB,IHC-P,IF-Cell,IP
Conjugate :
Non-conjugated
Immunogen :
Recombinant protein within human Hexokinase II aa 1-500.
Uniprot id :
P52789>SwissProt: P52789 Human;SwissProt: O08528 Mouse;SwissProt: P27881 Rat
Host :
Rabbit
Clone number :
PSH08-81
Isotype :
IgG
Size :
100μl
List Price :
385.00 USD
Storage Buffer :
PBS (pH7.4), 0.1% BSA, 40% Glycerol. Preservative: 0.05% Sodium Azide.
Form :
Liquid
Storage Instruction :
Shipped at 4℃. Store at +4℃ short term (1-2 weeks). It is recommended to aliquot into single-use upon delivery. Store at -20℃ long term.
Purity :
Protein A affinity purified.
Product type :
Recombinant Rabbit monoclonal Antibody
Positive control :
HeLa cell lysate, 293T cell lysate, HepG2 cell lysate, Jurkat cell lysate, LNCaP cell lysate, NIH/3T3 cell lysate, 4T1 cell lysate, PC-12 cell lysate, Mouse skeletal muscle tissue lysate, Mouse testis tissue lysate, Rat skeletal muscle tissue lysate, Rat testis tissue lysate, mouse skeletal muscle tissue, mouse testis tissue, PC-12.
Molecular wt :
Predicted band size: 102 kDa
Subcellular location :
Mitochondrion outer membrane, Cytoplasm, cytosol.
Concentration :
1 mg/mL.
Recommended dilutions :
WB: 1:2,000
;IHC-P: 1:200-1:1,000
;IF-Cell: 1:50
;IP: 1-2μg/sample
Advanced Validation :
Relative expression (RE)
Pic img4 :
https://storage.huabio.cn/huabio/productImg/HA723033_4.jpg
Pic legend4 :
Immunocytochemistry analysis of PC-12 cells labeling Hexokinase II with Rabbit anti-Hexokinase II antibody (HA723033) at 1/50 dilution.
Cells were fixed in 4% paraformaldehyde for 15 minutes at room temperature, permeabilized with 0.1% Triton X-100 in PBS for 15 minutes at room temperature, then blocked with 1% BSA in 10% negative goat serum for 1 hour at room temperature. Cells were then incubated with Rabbit anti-Hexokinase II antibody (HA723033) at 1/50 dilution in 1% BSA in PBST overnight at 4 ℃. Goat Anti-Rabbit IgG H&L (iFluor™ 488, HA1121) was used as the secondary antibody at 1/1,000 dilution. PBS instead of the primary antibody was used as the secondary antibody only control. Nuclear DNA was labelled in blue with DAPI.
Beta tubulin (HA601187, red) was stained at 1/100 dilution overnight at +4℃. Goat Anti-Mouse IgG H&L (iFluor™ 594, HA1126) was used as the secondary antibody at 1/1,000 dilution.
Pic img5 :
https://storage.huabio.cn/huabio/productImg/HA723033_5.jpg
Pic legend5 :
Hexokinase II was immunoprecipitated from 0.2 mg HeLa cell lysate with HA723033 at 2 µg/10 µl beads. Western blot was performed from the immunoprecipitate using HA723033 at 1/2,000 dilution. Mouse Anti-Rabbit IgG kappa light chain secondary antibody (M1208-2) at 1/5,000 dilution was used for 1 hour at room temperature.
Lane 1: HeLa cell lysate (input)
Lane 2: HA723033 IP in HeLa cell lysate
Lane 3: Rabbit IgG instead of HA723033 in HeLa cell lysate
Blocking/Dilution buffer: 5% NFDM/TBST
Exposure time: 3 seconds; ECL: K1801
more info or order :
company information

HUABIO
Founded in 2007, HUABIO is dedicated to developing high-quality antibodies that advance innovation. We are passionate about the accuracy, efficiency, and consistency of our products. That is why we have invested in new production platforms, like recombinant rabbit monoclonals, alpaca nanobodies, and adopted aggressive QA standards to deliver cutting-edge antibodies with uncompromised quality.
We hope to see you at your next discovery!
We hope to see you at your next discovery!
related products
browse more products
questions and comments
