product summary
Loading...
company name :
HUABIO
product type :
antibody
product name :
METTL14
catalog :
HA722910
quantity :
100μl
price :
385.00 USD
clonality :
monoclonal
host :
domestic rabbit
conjugate :
nonconjugated
clone name :
PSH07-85
reactivity :
human, mouse, rat
application :
western blot, immunoprecipitation, flow cytometry, immunohistochemistry - paraffin section
more info or order :
image
image 1 :

Western blot analysis of METTL14 on different lysates with Rabbit anti-METTL14 antibody (HA722910) at 1/5,000 dilution.
Lane 1: A431 cell lysate (20 µg/Lane)
Lane 2: Raji cell lysate (20 µg/Lane)
Lane 3: PC-12 cell lysate (20 µg/Lane)
Lane 4: COS-1 cell lysate (20 µg/Lane)
Lane 5: Mouse testis tissue lysate (40 µg/Lane)
Lane 6: Rat testis tissue lysate (40 µg/Lane)
Predicted band size: 52 kDa
Observed band size: 60 kDa
Exposure time: 30 seconds; ECL: K1801;
4-20% SDS-PAGE gel.
Proteins were transferred to a PVDF membrane and blocked with 5% NFDM/TBST for 1 hour at room temperature. The primary antibody (HA722910) at 1/5,000 dilution was used in 5% NFDM/TBST at 4℃ overnight. Goat Anti-Rabbit IgG - HRP Secondary Antibody (HA1001) at 1/50,000 dilution was used for 1 hour at room temperature.
image 2 :

Immunocytochemistry analysis of A431 cells labeling METTL14 with Rabbit anti-METTL14 antibody (HA722910) at 1/100 dilution.
Cells were fixed in 4% paraformaldehyde for 15 minutes at room temperature, permeabilized with 0.1% Triton X-100 in PBS for 15 minutes at room temperature, then blocked with 1% BSA in 10% negative goat serum for 1 hour at room temperature. Cells were then incubated with Rabbit anti-METTL14 antibody (HA722910) at 1/100 dilution in 1% BSA in PBST overnight at 4 ℃. Goat Anti-Rabbit IgG H&L (iFluor™ 488, HA1121) was used as the secondary antibody at 1/1,000 dilution. PBS instead of the primary antibody was used as the secondary antibody only control. Nuclear DNA was labelled in blue with DAPI.
Beta tubulin (M1305-2, red) was stained at 1/100 dilution overnight at +4℃. Goat Anti-Mouse IgG H&L (iFluor™ 594, HA1126) was used as the secondary antibody at 1/1,000 dilution.
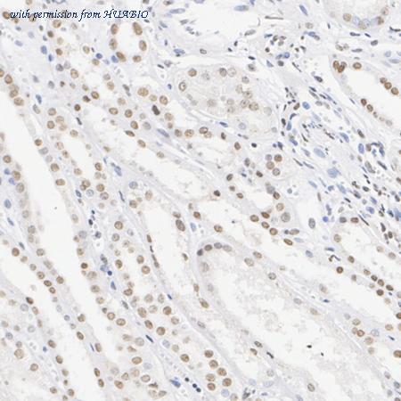
image 3 :

Immunohistochemical analysis of paraffin-embedded human kidney tissue with Rabbit anti-METTL14 antibody (HA722910) at 1/1,000 dilution.
The section was pre-treated using heat mediated antigen retrieval with sodium citrate buffer (pH 6.0) (high pressure) for 2 minutes. The tissues were blocked in 1% BSA for 20 minutes at room temperature, washed with ddH2O and PBS, and then probed with the primary antibody (HA722910) at 1/1,000 dilution for 1 hour at room temperature. The detection was performed using an HRP conjugated compact polymer system. DAB was used as the chromogen. Tissues were counterstained with hematoxylin and mounted with DPX.
product information
SKU :
HA722910
Target name :
METTL14
Species reactivity :
Human,Mouse,Rat,Monkey
Applications :
WB,IF-Cell,IHC-P,FC,IP
Conjugate :
Non-conjugated
Immunogen :
Recombinant protein within human METTL14 aa 1-150.
Uniprot id :
Q9HCE5>SwissProt: Q9HCE5 Human;SwissProt: Q3UIK4 Mouse;Entrez Gene: 295428 Rat
Host :
Rabbit
Clone number :
PSH07-85
Isotype :
IgG
Size :
100μl
List Price :
385.00 USD
Storage Buffer :
PBS (pH7.4), 0.1% BSA, 40% Glycerol. Preservative: 0.05% Sodium Azide.
Form :
Liquid
Storage Instruction :
Shipped at 4℃. Store at +4℃ short term (1-2 weeks). It is recommended to aliquot into single-use upon delivery. Store at -20℃ long term.
Purity :
Protein A affinity purified.
Product type :
Recombinant Rabbit monoclonal Antibody
Positive control :
A431 cell lysate, Raji cell lysate, PC-12 cell lysate, COS-1 cell lysate, Mouse testis tissue lysate, Rat testis tissue lysate, A431, human kidney tissue, human lung tissue, mouse testis tissue, rat kidney tissue, rat lung tissue, rat testis tissue.
Molecular wt :
Predicted band size: 52 kDa
Subcellular location :
Nucleus.
Concentration :
1 mg/mL.
Recommended dilutions :
WB: 1:5,000
;IF-Cell: 1:100
;IHC-P: 1:200-1:1,000
;FC: 1:1,000
;IP: 1-2μg/sample
Advanced Validation :
Knockdown (KD)
Pic img4 :
https://storage.huabio.cn/huabio/productImg/HA722910_4.jpg
Pic legend4 :
Immunohistochemical analysis of paraffin-embedded human lung tissue with Rabbit anti-METTL14 antibody (HA722910) at 1/1,000 dilution.
The section was pre-treated using heat mediated antigen retrieval with sodium citrate buffer (pH 6.0) (high pressure) for 2 minutes. The tissues were blocked in 1% BSA for 20 minutes at room temperature, washed with ddH2O and PBS, and then probed with the primary antibody (HA722910) at 1/1,000 dilution for 1 hour at room temperature. The detection was performed using an HRP conjugated compact polymer system. DAB was used as the chromogen. Tissues were counterstained with hematoxylin and mounted with DPX.
Pic img5 :
https://storage.huabio.cn/huabio/productImg/HA722910_5.jpg
Pic legend5 :
Immunohistochemical analysis of paraffin-embedded mouse testis tissue with Rabbit anti-METTL14 antibody (HA722910) at 1/1,000 dilution.
The section was pre-treated using heat mediated antigen retrieval with sodium citrate buffer (pH 6.0) (high pressure) for 2 minutes. The tissues were blocked in 1% BSA for 20 minutes at room temperature, washed with ddH2O and PBS, and then probed with the primary antibody (HA722910) at 1/1,000 dilution for 1 hour at room temperature. The detection was performed using an HRP conjugated compact polymer system. DAB was used as the chromogen. Tissues were counterstained with hematoxylin and mounted with DPX.
Pic img6 :
https://storage.huabio.cn/huabio/productImg/HA722910_6.jpg
Pic legend6 :
Immunohistochemical analysis of paraffin-embedded rat kidney tissue with Rabbit anti-METTL14 antibody (HA722910) at 1/1,000 dilution.
The section was pre-treated using heat mediated antigen retrieval with sodium citrate buffer (pH 6.0) (high pressure) for 2 minutes. The tissues were blocked in 1% BSA for 20 minutes at room temperature, washed with ddH2O and PBS, and then probed with the primary antibody (HA722910) at 1/1,000 dilution for 1 hour at room temperature. The detection was performed using an HRP conjugated compact polymer system. DAB was used as the chromogen. Tissues were counterstained with hematoxylin and mounted with DPX.
Pic img7 :
https://storage.huabio.cn/huabio/productImg/HA722910_7.jpg
Pic legend7 :
Immunohistochemical analysis of paraffin-embedded rat lung tissue with Rabbit anti-METTL14 antibody (HA722910) at 1/200 dilution.
The section was pre-treated using heat mediated antigen retrieval with sodium citrate buffer (pH 6.0) (high pressure) for 2 minutes. The tissues were blocked in 1% BSA for 20 minutes at room temperature, washed with ddH2O and PBS, and then probed with the primary antibody (HA722910) at 1/200 dilution for 1 hour at room temperature. The detection was performed using an HRP conjugated compact polymer system. DAB was used as the chromogen. Tissues were counterstained with hematoxylin and mounted with DPX.
Pic img8 :
https://storage.huabio.cn/huabio/productImg/HA722910_8.jpg
Pic legend8 :
Immunohistochemical analysis of paraffin-embedded rat testis tissue with Rabbit anti-METTL14 antibody (HA722910) at 1/1,000 dilution.
The section was pre-treated using heat mediated antigen retrieval with sodium citrate buffer (pH 6.0) (high pressure) for 2 minutes. The tissues were blocked in 1% BSA for 20 minutes at room temperature, washed with ddH2O and PBS, and then probed with the primary antibody (HA722910) at 1/1,000 dilution for 1 hour at room temperature. The detection was performed using an HRP conjugated compact polymer system. DAB was used as the chromogen. Tissues were counterstained with hematoxylin and mounted with DPX.
Pic img9 :
https://storage.huabio.cn/huabio/productImg/HA722910_9.jpg
Pic legend9 :
Flow cytometric analysis of A431 cells labeling METTL14.
Cells were fixed and permeabilized. Then stained with the primary antibody (HA722910, 1/1,000) (red) compared with Rabbit IgG Isotype Control (green). After incubation of the primary antibody at +4℃ for an hour, the cells were stained with a iFluor™ 488 conjugate-Goat anti-Rabbit IgG Secondary antibody (HA1121) at 1/1,000 dilution for 30 minutes at +4℃. Unlabelled sample was used as a control (cells without incubation with primary antibody; black).
Pic img10 :
https://storage.huabio.cn/huabio/productImg/HA722910_10.jpg
Pic legend10 :
METTL14 was immunoprecipitated from 0.2 mg A431 cell lysate with HA722910 at 2 µg/10 µl beads. Western blot was performed from the immunoprecipitate using HA722910 at 1/5,000 dilution. Anti-Rabbit IgG for IP Nano-secondary antibody (NBI01H) at 1/5,000 dilution was used for 1 hour at room temperature.
Lane 1: A431 cell lysate (input)
Lane 2: HA722910 IP in A431 cell lysate
Lane 3: Rabbit IgG instead of HA722910 in A431 cell lysate
Blocking/Dilution buffer: 5% NFDM/TBST
Exposure time: 1 minute; ECL: K1801
Pic img11 :
https://storage.huabio.cn/huabio/productImg/HA722910_11.jpg
Pic legend11 :
Western blot analysis of METTL14 on different lysates with Rabbit anti-METTL14 antibody (HA722910) at 1/5,000 dilution.
Lane 1: HEK-293-parental cell lysate
Lane 2: HEK-293-METTL14 KD cell lysate
Lysates/proteins at 10 µg/Lane.
Predicted band size: 52 kDa
Observed band size: 60 kDa
Exposure time: 14 seconds; ECL: K1801;
4-20% SDS-PAGE gel.
Proteins were transferred to a PVDF membrane and blocked with 5% NFDM/TBST for 1 hour at room temperature. The primary antibody (HA722910) at 1/5,000 dilution was used in 5% NFDM/TBST at 4℃ overnight. Goat Anti-Rabbit IgG - HRP Secondary Antibody (HA1001) at 1/50,000 dilution was used for 1 hour at room temperature.
more info or order :
company information

HUABIO
Founded in 2007, HUABIO is dedicated to developing high-quality antibodies that advance innovation. We are passionate about the accuracy, efficiency, and consistency of our products. That is why we have invested in new production platforms, like recombinant rabbit monoclonals, alpaca nanobodies, and adopted aggressive QA standards to deliver cutting-edge antibodies with uncompromised quality.
We hope to see you at your next discovery!
We hope to see you at your next discovery!
related products
browse more products
questions and comments
