product summary
Loading...
company name :
HUABIO
product type :
antibody
product name :
CD11b
catalog :
HA722856
quantity :
100μl
price :
385.00 USD
clonality :
monoclonal
host :
domestic rabbit
conjugate :
nonconjugated
clone name :
JE01-17
reactivity :
human, mouse, rat
application :
western blot, immunohistochemistry - paraffin section, immunohistochemistry - frozen section
more info or order :
image
image 1 :

Western blot analysis of CD11b on different lysates with Rabbit anti-CD11b antibody (HA722856) at 1/2,000 dilution.
Lane 1: RAW264.7 cell lysate (5 µg/Lane)
Lane 2: C2C12 cell lysate (negative) (10 µg/Lane)
Lane 3: J774A.1 cell lysate (5 µg/Lane)
Lane 4: Mouse spleen tissue lysate (20 µg/Lane)
Lane 5: Mouse heart tissue lysate (negative) (20 µg/Lane)
Lane 6: Rat spleen tissue lysate (20 µg/Lane)
Lane 7: Rat heart tissue lysate (negative) (20 µg/Lane)
Predicted band size: 127 kDa
Observed band size: 170 kDa
Exposure time: 20 seconds; ECL: K1801;
4-20% SDS-PAGE gel.
Proteins were transferred to a PVDF membrane and blocked with 5% NFDM/TBST for 1 hour at room temperature. The primary antibody (HA722856) at 1/2,000 dilution was used in 5% NFDM/TBST at 4℃ overnight. Goat Anti-Rabbit IgG - HRP Secondary Antibody (HA1001) at 1/50,000 dilution was used for 1 hour at room temperature.
image 2 :

Immunofluorescence analysis of frozen mouse spleen tissue with Rabbit anti-CD11b antibody (HA722856) at 1/500 dilution.
The section was pre-treated using heat mediated antigen retrieval with sodium citrate buffer (pH 6.0) for about 2 minutes in microwave oven. The tissues were blocked in 10% negative goat serum for 1 hour at room temperature, washed with PBS, and then probed with the primary antibody (HA722856, green) at 1/500 dilution overnight at 4 ℃, washed with PBS. Goat Anti-Rabbit IgG H&L (iFluor™ 488, HA1121) was used as the secondary antibody at 1/1,000 dilution. Nuclei were counterstained with DAPI (blue).
image 3 :

Immunofluorescence analysis of frozen rat spleen tissue with Rabbit anti-CD11b antibody (HA722856) at 1/500 dilution.
The section was pre-treated using heat mediated antigen retrieval with sodium citrate buffer (pH 6.0) for about 2 minutes in microwave oven. The tissues were blocked in 10% negative goat serum for 1 hour at room temperature, washed with PBS, and then probed with the primary antibody (HA722856, green) at 1/500 dilution overnight at 4 ℃, washed with PBS. Goat Anti-Rabbit IgG H&L (iFluor™ 488, HA1121) was used as the secondary antibody at 1/1,000 dilution. Nuclei were counterstained with DAPI (blue).
product information
SKU :
HA722856
Target name :
CD11b
Species reactivity :
Human,Mouse,Rat
Applications :
WB,IHC-Fr,IHC-P,IF-Tissue
Conjugate :
Non-conjugated
Immunogen :
Synthetic peptide within human CD11b aa 17-66 / 1,152.
Uniprot id :
P11215>SwissProt: P11215 Human;SwissProt: P05555 Mouse;Entrez Gene: 25021 Rat
Host :
Rabbit
Clone number :
JE01-17
Isotype :
IgG
Size :
100μl
List Price :
385.00 USD
Storage Buffer :
1*TBS (pH7.4), 0.05% BSA, 40% Glycerol. Preservative: 0.05% Sodium Azide.
Form :
Liquid
Storage Instruction :
Shipped at 4℃. Store at +4℃ short term (1-2 weeks). It is recommended to aliquot into single-use upon delivery. Store at -20℃ long term.
Purity :
Protein A affinity purified.
Product type :
Recombinant Rabbit monoclonal Antibody
Positive control :
RAW264.7 cell lysate, J774A.1 cell lysate, Mouse spleen tissue lysate, Rat spleen tissue lysate, human cevical cancer tissue, human slpeen tissue, human tonsil tissue, mouse spleen tissue, rat spleen tissue.
Molecular wt :
Predicted band size: 127 kDa
Subcellular location :
Cell membrane, Membrane raft.
Concentration :
1 mg/mL.
Recommended dilutions :
WB: 1:2,000
;IHC-Fr: 1:500
;IHC-P: 1:2,000-1:5,000
;IF-Tissue: 1:500-1:1,000
Advanced Validation :
Relative expression (RE)
Pic img4 :
https://storage.huabio.cn/huabio/productImg/HA722856_4.jpg
Pic legend4 :
Application: IF-Tissue
Species: Mouse
Site: spleen
Sample: Paraffin-embedded section
Antibody concentration: 1/500
Pic img5 :
https://storage.huabio.cn/huabio/productImg/HA722856_5.jpg
Pic legend5 :
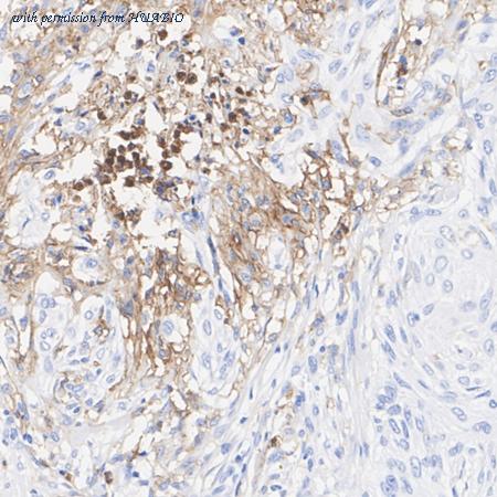
Immunohistochemical analysis of paraffin-embedded human cevical cancer tissue with Rabbit anti-CD11b antibody (HA722856) at 1/2,000 dilution.
The section was pre-treated using heat mediated antigen retrieval with Tris-EDTA buffer (pH 9.0) for 20 minutes. The tissues were blocked in 1% BSA for 20 minutes at room temperature, washed with ddH2O and PBS, and then probed with the primary antibody (HA722856) at 1/2,000 dilution for 1 hour at room temperature. The detection was performed using an HRP conjugated compact polymer system. DAB was used as the chromogen. Tissues were counterstained with hematoxylin and mounted with DPX.
Pic img6 :
https://storage.huabio.cn/huabio/productImg/HA722856_6.jpg
Pic legend6 :
Immunohistochemical analysis of paraffin-embedded human slpeen tissue with Rabbit anti-CD11b antibody (HA722856) at 1/2,000 dilution.
The section was pre-treated using heat mediated antigen retrieval with Tris-EDTA buffer (pH 9.0) for 20 minutes. The tissues were blocked in 1% BSA for 20 minutes at room temperature, washed with ddH2O and PBS, and then probed with the primary antibody (HA722856) at 1/2,000 dilution for 1 hour at room temperature. The detection was performed using an HRP conjugated compact polymer system. DAB was used as the chromogen. Tissues were counterstained with hematoxylin and mounted with DPX.
Pic img7 :
https://storage.huabio.cn/huabio/productImg/HA722856_7.jpg
Pic legend7 :
Immunohistochemical analysis of paraffin-embedded human tonsil tissue with Rabbit anti-CD11b antibody (HA722856) at 1/2,000 dilution.
The section was pre-treated using heat mediated antigen retrieval with Tris-EDTA buffer (pH 9.0) for 20 minutes. The tissues were blocked in 1% BSA for 20 minutes at room temperature, washed with ddH2O and PBS, and then probed with the primary antibody (HA722856) at 1/2,000 dilution for 1 hour at room temperature. The detection was performed using an HRP conjugated compact polymer system. DAB was used as the chromogen. Tissues were counterstained with hematoxylin and mounted with DPX.
Pic img8 :
https://storage.huabio.cn/huabio/productImg/HA722856_8.jpg
Pic legend8 :
Immunohistochemical analysis of paraffin-embedded mouse spleen tissue with Rabbit anti-CD11b antibody (HA722856) at 1/5,000 dilution.
The section was pre-treated using heat mediated antigen retrieval with Tris-EDTA buffer (pH 9.0) for 20 minutes. The tissues were blocked in 1% BSA for 20 minutes at room temperature, washed with ddH2O and PBS, and then probed with the primary antibody (HA722856) at 1/5,000 dilution for 1 hour at room temperature. The detection was performed using an HRP conjugated compact polymer system. DAB was used as the chromogen. Tissues were counterstained with hematoxylin and mounted with DPX.
Pic img9 :
https://storage.huabio.cn/huabio/productImg/HA722856_9.jpg
Pic legend9 :
Immunohistochemical analysis of paraffin-embedded rat spleen tissue with Rabbit anti-CD11b antibody (HA722856) at 1/5,000 dilution.
The section was pre-treated using heat mediated antigen retrieval with Tris-EDTA buffer (pH 9.0) for 20 minutes. The tissues were blocked in 1% BSA for 20 minutes at room temperature, washed with ddH2O and PBS, and then probed with the primary antibody (HA722856) at 1/5,000 dilution for 1 hour at room temperature. The detection was performed using an HRP conjugated compact polymer system. DAB was used as the chromogen. Tissues were counterstained with hematoxylin and mounted with DPX.
more info or order :
company information

HUABIO
Founded in 2007, HUABIO is dedicated to developing high-quality antibodies that advance innovation. We are passionate about the accuracy, efficiency, and consistency of our products. That is why we have invested in new production platforms, like recombinant rabbit monoclonals, alpaca nanobodies, and adopted aggressive QA standards to deliver cutting-edge antibodies with uncompromised quality.
We hope to see you at your next discovery!
We hope to see you at your next discovery!
related products
browse more products
questions and comments
