product summary
Loading...
company name :
HUABIO
product type :
antibody
product name :
IDH1
catalog :
HA722696
quantity :
100μl
price :
385.00 USD
clonality :
monoclonal
host :
domestic rabbit
conjugate :
nonconjugated
clone name :
JE34-27
reactivity :
human, mouse, rat
application :
western blot, immunoprecipitation, immunohistochemistry - paraffin section
more info or order :
image
image 1 :

Western blot analysis of IDH1 on different lysates with Rabbit anti-IDH1 antibody (HA722696) at 1/1,000 dilution.
Lane 1: HeLa cell lysate
Lane 2: Raji cell lysate
Lane 3: HepG2 cell lysate
Lane 4: Neuro-2a cell lysate
Lane 5: C6 cell lysate
Lane 6: Mouse kidney tissue lysate
Lane 7: Rat kidney tissue lysate
Lysates/proteins at 20 µg/Lane.
Predicted band size: 47 kDa
Observed band size: 47 kDa
Exposure time: 10 seconds; ECL: K1801;
4-20% SDS-PAGE gel.
Proteins were transferred to a PVDF membrane and blocked with 5% NFDM/TBST for 1 hour at room temperature. The primary antibody (HA722696) at 1/1,000 dilution was used in 5% NFDM/TBST at 4℃ overnight. Goat Anti-Rabbit IgG - HRP Secondary Antibody (HA1001) at 1/50,000 dilution was used for 1 hour at room temperature.
image 2 :

Western blot analysis of IDH1 on different lysates with Rabbit anti-IDH1 antibody (HA722696) at 1/2,000 dilution.
Lane 1: HAP1-parental cell lysate
Lane 2: HAP1-IDH1 KD cell lysate
Lysates/proteins at 10 µg/Lane.
Predicted band size: 47 kDa
Observed band size: 47 kDa
Exposure time: 6 seconds; ECL: K1801;
4-20% SDS-PAGE gel.
Proteins were transferred to a PVDF membrane and blocked with 5% NFDM/TBST for 1 hour at room temperature. The primary antibody (HA722696) at 1/2,000 dilution was used in K1803 at 4℃ overnight. Goat Anti-Rabbit IgG - HRP Secondary Antibody (HA1001) at 1/50,000 dilution was used for 1 hour at room temperature.
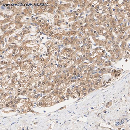
image 3 :

Immunohistochemical analysis of paraffin-embedded human prostate cancer tissue with Rabbit anti-IDH1 antibody (HA722696) at 1/3,000 dilution.
The section was pre-treated using heat mediated antigen retrieval with Tris-EDTA buffer (pH 9.0) for 20 minutes. The tissues were blocked in 1% BSA for 20 minutes at room temperature, washed with ddH2O and PBS, and then probed with the primary antibody (HA722696) at 1/3,000 dilution for 1 hour at room temperature. The detection was performed using an HRP conjugated compact polymer system. DAB was used as the chromogen. Tissues were counterstained with hematoxylin and mounted with DPX.
product information
SKU :
HA722696
Target name :
IDH1
Species reactivity :
Human,Mouse,Rat
Applications :
WB,IHC-P,IP
Conjugate :
Non-conjugated
Immunogen :
Synthetic peptide within human IDH1 aa 51-100 / 414.
Uniprot id :
O75874>SwissProt: O75874 Human;SwissProt: O88844 Mouse;SwissProt: P41562 Rat
Host :
Rabbit
Clone number :
JE34-27
Isotype :
IgG
Size :
100μl
List Price :
385.00 USD
Storage Buffer :
1*TBS (pH7.4), 0.05% BSA, 40% Glycerol. Preservative: 0.05% Sodium Azide.
Form :
Liquid
Storage Instruction :
Shipped at 4℃. Store at +4℃ short term (1-2 weeks). It is recommended to aliquot into single-use upon delivery. Store at -20℃ long term.
Purity :
Protein A affinity purified.
Product type :
Recombinant Rabbit monoclonal Antibody
Positive control :
HeLa cell lysate, Raji cell lysate, HepG2 cell lysate, Neuro-2a cell lysate, C6 cell lysate, Mouse kidney tissue lysate, Rat kidney tissue lysate, human prostate cancer tissue, human kidney tissue, mouse kidney tissue, rat kidney tissue.
Molecular wt :
Predicted band size: 47 kDa
Subcellular location :
Cytoplasm, cytosol, Peroxisome.
Concentration :
1 mg/mL.
Recommended dilutions :
WB: 1:1,000-1:2,000
;IHC-P: 1:3,000
;IP: 1-2μg/sample
Advanced Validation :
Knockdown (KD)
Pic img4 :
https://storage.huabio.cn/huabio/productImg/HA722696_4.jpg
Pic legend4 :
Immunohistochemical analysis of paraffin-embedded human kidney tissue with Rabbit anti-IDH1 antibody (HA722696) at 1/3,000 dilution.
The section was pre-treated using heat mediated antigen retrieval with Tris-EDTA buffer (pH 9.0) for 20 minutes. The tissues were blocked in 1% BSA for 20 minutes at room temperature, washed with ddH2O and PBS, and then probed with the primary antibody (HA722696) at 1/3,000 dilution for 1 hour at room temperature. The detection was performed using an HRP conjugated compact polymer system. DAB was used as the chromogen. Tissues were counterstained with hematoxylin and mounted with DPX.
Pic img5 :
https://storage.huabio.cn/huabio/productImg/HA722696_5.jpg
Pic legend5 :
Immunohistochemical analysis of paraffin-embedded mouse kidney tissue with Rabbit anti-IDH1 antibody (HA722696) at 1/3,000 dilution.
The section was pre-treated using heat mediated antigen retrieval with Tris-EDTA buffer (pH 9.0) for 20 minutes. The tissues were blocked in 1% BSA for 20 minutes at room temperature, washed with ddH2O and PBS, and then probed with the primary antibody (HA722696) at 1/3,000 dilution for 1 hour at room temperature. The detection was performed using an HRP conjugated compact polymer system. DAB was used as the chromogen. Tissues were counterstained with hematoxylin and mounted with DPX.
Pic img6 :
https://storage.huabio.cn/huabio/productImg/HA722696_6.jpg
Pic legend6 :
Immunohistochemical analysis of paraffin-embedded rat kidney tissue with Rabbit anti-IDH1 antibody (HA722696) at 1/3,000 dilution.
The section was pre-treated using heat mediated antigen retrieval with Tris-EDTA buffer (pH 9.0) for 20 minutes. The tissues were blocked in 1% BSA for 20 minutes at room temperature, washed with ddH2O and PBS, and then probed with the primary antibody (HA722696) at 1/3,000 dilution for 1 hour at room temperature. The detection was performed using an HRP conjugated compact polymer system. DAB was used as the chromogen. Tissues were counterstained with hematoxylin and mounted with DPX.
Pic img7 :
https://storage.huabio.cn/huabio/productImg/HA722696_7.jpg
Pic legend7 :
IDH1 was immunoprecipitated from 0.2 mg HeLa cell lysate with HA722696 at 2 µg/10 µl beads. Western blot was performed from the immunoprecipitate using HA722696 at 1/1,000 dilution. Anti-Rabbit IgG for IP Nano-secondary antibody (NBI01H) at 1/5,000 dilution was used for 1 hour at room temperature.
Lane 1: HeLa cell lysate (input)
Lane 2: HA722696 IP in HeLa cell lysate
Lane 3: Rabbit IgG instead of HA722696 in HeLa cell lysate
Blocking/Dilution buffer: 5% NFDM/TBST
Exposure time: 8 seconds; ECL: K1802
more info or order :
company information

HUABIO
Founded in 2007, HUABIO is dedicated to developing high-quality antibodies that advance innovation. We are passionate about the accuracy, efficiency, and consistency of our products. That is why we have invested in new production platforms, like recombinant rabbit monoclonals, alpaca nanobodies, and adopted aggressive QA standards to deliver cutting-edge antibodies with uncompromised quality.
We hope to see you at your next discovery!
We hope to see you at your next discovery!
related products
browse more products
questions and comments
