product summary
Loading...
company name :
HUABIO
product type :
antibody
product name :
Phospho-EEF2 (T56)
catalog :
HA722670
quantity :
100μl
price :
385.00 USD
clonality :
monoclonal
host :
domestic rabbit
conjugate :
nonconjugated
clone name :
PSH06-36
reactivity :
human, mouse, rat
application :
western blot, immunohistochemistry - paraffin section
more info or order :
image
image 1 :

Western blot analysis of Phospho-EEF2 (T56) on different lysates with Rabbit anti-Phospho-EEF2 (T56) antibody (HA722670) at 1/2,000 dilution.
Lane 1: HeLa cell lysate
Lane 2: HeLa starved for 24 hours then add 10μM forskolin for 1 hour cell lysate
Lane 3: NIH/3T3 cell lysate
Lane 4: NIH/3T3 starved for 24 hours then add 10μM forskolin for 1 hour cell lysate
Lane 5: PC-12 cell lysate
Lane 6: PC-12 treated with 20μM forskolin for 1 hour then add 100nM Calyculin A for 30 minutes cell lysate
Lane 7: HepG2 cell lysate
Lysates/proteins at 20 µg/Lane.
Predicted band size: 95 kDa
Observed band size: 95 kDa
Exposure time: 3 minutes; ECL: K1802;
4-20% SDS-PAGE gel.
Proteins were transferred to a PVDF membrane and blocked with 5% NFDM/TBST for 1 hour at room temperature. The primary antibody (HA722670) at 1/2,000 dilution was used in 5% NFDM/TBST at 4℃ overnight. Goat Anti-Rabbit IgG - HRP Secondary Antibody (HA1001) at 1/50,000 dilution was used for 1 hour at room temperature.
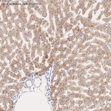
image 2 :

Immunohistochemical analysis of paraffin-embedded rat liver tissue with Rabbit anti-Phospho-EEF2 (T56) antibody (HA722670) at 1/500 dilution.
The section was pre-treated using heat mediated antigen retrieval with Tris-EDTA buffer (pH 9.0) for 20 minutes. The tissues were blocked in 1% BSA for 20 minutes at room temperature, washed with ddH2O and PBS, and then probed with the primary antibody (HA722670) at 1/500 dilution for 1 hour at room temperature. The detection was performed using an HRP conjugated compact polymer system. DAB was used as the chromogen. Tissues were counterstained with hematoxylin and mounted with DPX.
image 3 :

Immunocytochemistry analysis of HeLa cells starved for 24 hours then add 10μM forskolin for 1 hour labeling Phospho-EEF2 (T56) with Rabbit anti-Phospho-EEF2 (T56) antibody (HA722670) at 1/100 dilution.
Cells were fixed in 4% paraformaldehyde for 20 minutes at room temperature, permeabilized with 0.1% Triton X-100 in PBS for 5 minutes at room temperature, then blocked with 1% BSA in 10% negative goat serum for 1 hour at room temperature. Cells were then incubated with Rabbit anti-Phospho-EEF2 (T56) antibody (HA722670) at 1/100 dilution in 1% BSA in PBST overnight at 4 ℃. Goat Anti-Rabbit IgG H&L (iFluor™ 488, HA1121) was used as the secondary antibody at 1/1,000 dilution. PBS instead of the primary antibody was used as the secondary antibody only control. Nuclear DNA was labelled in blue with DAPI.
Beta tubulin (M1305-2, red) was stained at 1/100 dilution overnight at +4℃. Goat Anti-Mouse IgG H&L (iFluor™ 594, HA1126) was used as the secondary antibody at 1/1,000 dilution.
product information
SKU :
HA722670
Target name :
Phospho-EEF2 (T56)
Species reactivity :
Human,Mouse,Rat
Applications :
WB,IHC-P,IF-Cell
Conjugate :
Non-conjugated
Immunogen :
Synthetic phosphopeptide corresponding to residues surrounding Thr56 of human EEF2.
Uniprot id :
P13639>SwissProt: P13639 Human;SwissProt: P58252 Mouse;SwissProt: P05197 Rat
Host :
Rabbit
Clone number :
PSH06-36
Isotype :
IgG
Size :
100μl
List Price :
385.00 USD
Storage Buffer :
PBS (pH7.4), 0.1% BSA, 40% Glycerol. Preservative: 0.05% Sodium Azide.
Form :
Liquid
Storage Instruction :
Shipped at 4℃. Store at +4℃ short term (1-2 weeks). It is recommended to aliquot into single-use upon delivery. Store at -20℃ long term.
Purity :
Protein A affinity purified.
Product type :
Recombinant Rabbit monoclonal Antibody
Positive control :
HeLa starved for 24 hours then add 10μM forskolin for 1 hour cell lysate, NIH/3T3 cell lysate, NIH/3T3 starved for 24 hours then add 10μM forskolin for 1 hour cell lysate, PC-12 treated with 20μM forskolin for 1 hour then add 100nM Calyculin A for 30 minutes cell lysate, HepG2 cell lysate, rat liver tissue, HeLa cells starved for 24 hours then add 10μM forskolin for 1 hour, PC-12 cells treated with 20μM forskolin for 1 hour then add 100nM Calyculin A for 30 minutes.
Molecular wt :
Predicted band size: 95 kDa
Subcellular location :
Cytoplasm, Nucleus.
Concentration :
1 mg/mL.
Recommended dilutions :
WB: 1:2,000
;IHC-P: 1:500
;IF-Cell: 1:100
Advanced Validation :
Cell treatment (CT)
Pic img4 :
https://storage.huabio.cn/huabio/productImg/HA722670_4.jpg
Pic legend4 :
Immunocytochemistry analysis of PC-12 cells treated with 20μM forskolin for 1 hour then add 100nM Calyculin A for 30 minutes labeling Phospho-EEF2 (T56) with Rabbit anti-Phospho-EEF2 (T56) antibody (HA722670) at 1/100 dilution.
Cells were fixed in 4% paraformaldehyde for 20 minutes at room temperature, permeabilized with 0.1% Triton X-100 in PBS for 5 minutes at room temperature, then blocked with 1% BSA in 10% negative goat serum for 1 hour at room temperature. Cells were then incubated with Rabbit anti-Phospho-EEF2 (T56) antibody (HA722670) at 1/100 dilution in 1% BSA in PBST overnight at 4 ℃. Goat Anti-Rabbit IgG H&L (iFluor™ 488, HA1121) was used as the secondary antibody at 1/1,000 dilution. PBS instead of the primary antibody was used as the secondary antibody only control. Nuclear DNA was labelled in blue with DAPI.
Beta tubulin (M1305-2, red) was stained at 1/100 dilution overnight at +4℃. Goat Anti-Mouse IgG H&L (iFluor™ 594, HA1126) was used as the secondary antibody at 1/1,000 dilution.
more info or order :
company information

HUABIO
Founded in 2007, HUABIO is dedicated to developing high-quality antibodies that advance innovation. We are passionate about the accuracy, efficiency, and consistency of our products. That is why we have invested in new production platforms, like recombinant rabbit monoclonals, alpaca nanobodies, and adopted aggressive QA standards to deliver cutting-edge antibodies with uncompromised quality.
We hope to see you at your next discovery!
We hope to see you at your next discovery!
related products
browse more products
questions and comments
