product summary
Loading...
company name :
HUABIO
product type :
antibody
product name :
Digoxigenin
catalog :
HA722518
quantity :
100μl
price :
409.00 USD
clonality :
monoclonal
host :
domestic rabbit
conjugate :
HRP
clone name :
PSH04-39
application :
western blot, ELISA, immunohistochemistry - paraffin section
more info or order :
image
image 1 :

Western blot analysis of Digoxigenin on different lysates with Rabbit anti-Digoxigenin antibody (HA722518) at 1/2,000 dilution.
Lane 1: DIG-BSA (2 ng/Lane)
Lane 2: BSA (negative) (2 ng/Lane)
Lane 3: 293T cell lysate (negative) (20 µg/Lane)
Exposure time: 10 seconds; ECL: K1801;
4-20% SDS-PAGE gel.
Proteins were transferred to a PVDF membrane and blocked with 5% NFDM/TBST for 1 hour at room temperature. The primary antibody (HA722518) at 1/2,000 dilution was used in 5% NFDM/TBST at 4℃ overnight.
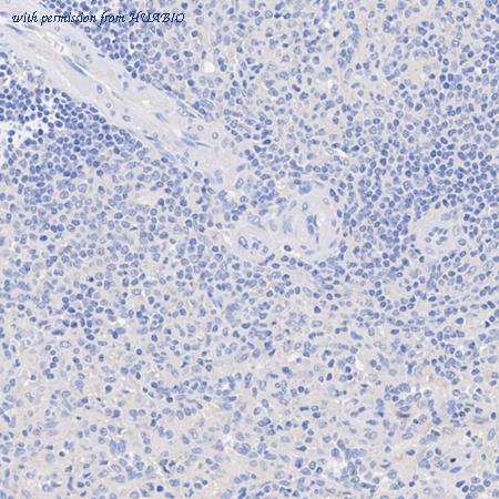
image 2 :

Immunohistochemical analysis of paraffin-embedded human tonsil tissue (negative) with Rabbit anti-Digoxigenin antibody (HA722518) at 1/1,000 dilution.
The section was pre-treated using heat mediated antigen retrieval with Tris-EDTA buffer (pH 9.0) for 20 minutes. The tissues were blocked in 1% BSA for 20 minutes at room temperature, washed with ddH2O and PBS, and then probed with the primary antibody (HA722518) at 1/1,000 dilution for 1 hour at room temperature. DAB was used as the chromogen. Tissues were counterstained with hematoxylin and mounted with DPX.
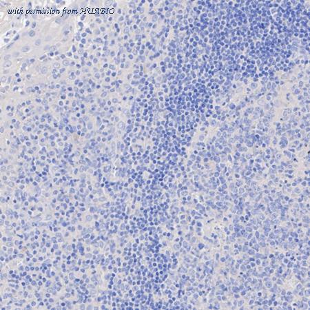
image 3 :

Immunohistochemical analysis of paraffin-embedded human spleen tissue (negative) with Rabbit anti-Digoxigenin antibody (HA722518) at 1/1,000 dilution.
The section was pre-treated using heat mediated antigen retrieval with Tris-EDTA buffer (pH 9.0) for 20 minutes. The tissues were blocked in 1% BSA for 20 minutes at room temperature, washed with ddH2O and PBS, and then probed with the primary antibody (HA722518) at 1/1,000 dilution for 1 hour at room temperature. DAB was used as the chromogen. Tissues were counterstained with hematoxylin and mounted with DPX.
product information
SKU :
HA722518
Target name :
Digoxigenin
Species reactivity :
Species independent
Applications :
WB,IHC-P,ELISA
Conjugate :
HRP-conjugated
Immunogen :
DIG-OVA
Uniprot id :
>
Host :
Rabbit
Clone number :
PSH04-39
Isotype :
IgG
Size :
100μl
List Price :
409.00 USD
Storage Buffer :
PBS (pH7.4), 0.1% BSA, 40% Glycerol.
Form :
Liquid
Storage Instruction :
Shipped at 4℃. Store at +4℃ short term (1-2 weeks). It is recommended to aliquot into single-use upon delivery. Store at -20℃ long term.
Purity :
Protein A affinity purified.
Product type :
Recombinant Rabbit monoclonal Antibody
Concentration :
1 mg/mL.
Recommended dilutions :
WB: 1:2,000
;IHC-P: 1:200-1:5,000
;ELISA: 1:5,000-1:20,000
Advanced Validation :
Relative expression (RE)
Pic img4 :
https://storage.huabio.cn/huabio/productImg/HA722518_4.jpg
Pic legend4 :
Immunohistochemical analysis of paraffin-embedded mouse spleen tissue (negative) with Rabbit anti-Digoxigenin antibody (HA722518) at 1/1,000 dilution.
The section was pre-treated using heat mediated antigen retrieval with Tris-EDTA buffer (pH 9.0) for 20 minutes. The tissues were blocked in 1% BSA for 20 minutes at room temperature, washed with ddH2O and PBS, and then probed with the primary antibody (HA722518) at 1/1,000 dilution for 1 hour at room temperature. DAB was used as the chromogen. Tissues were counterstained with hematoxylin and mounted with DPX.
Pic img5 :
https://storage.huabio.cn/huabio/productImg/HA722518_5.jpg
Pic legend5 :
Immunohistochemical analysis of paraffin-embedded rat spleen tissue (negative) with Rabbit anti-Digoxigenin antibody (HA722518) at 1/1,000 dilution.
The section was pre-treated using heat mediated antigen retrieval with Tris-EDTA buffer (pH 9.0) for 20 minutes. The tissues were blocked in 1% BSA for 20 minutes at room temperature, washed with ddH2O and PBS, and then probed with the primary antibody (HA722518) at 1/1,000 dilution for 1 hour at room temperature. DAB was used as the chromogen. Tissues were counterstained with hematoxylin and mounted with DPX.
more info or order :
company information

HUABIO
Founded in 2007, HUABIO is dedicated to developing high-quality antibodies that advance innovation. We are passionate about the accuracy, efficiency, and consistency of our products. That is why we have invested in new production platforms, like recombinant rabbit monoclonals, alpaca nanobodies, and adopted aggressive QA standards to deliver cutting-edge antibodies with uncompromised quality.
We hope to see you at your next discovery!
We hope to see you at your next discovery!
browse more products
questions and comments
