product summary
Loading...
company name :
HUABIO
product type :
antibody
product name :
Steroid sulfatase
catalog :
HA722441
quantity :
100μl
price :
385.00 USD
clonality :
monoclonal
host :
domestic rabbit
conjugate :
nonconjugated
clone name :
PSH05-74
reactivity :
human
application :
western blot, immunohistochemistry - paraffin section
more info or order :
image
image 1 :

Western blot analysis of Steroid sulfatase on different lysates with Rabbit anti-Steroid sulfatase antibody (HA722441) at 1/2,000 dilution and competitor's antibody at 1/2,000 dilution.
Lane 1: Jurkat cell lysate
Lane 2: LNCaP cell lysate (negative)
Lane 3: HepG2 cell lysate
Lane 4: MCF7 cell lysate
Lane 5: Huh7 cell lysate
Lane 6: T-47D cell lysate
Lysates/proteins at 20 µg/Lane.
Predicted band size: 65 kDa
Observed band size: 65 kDa
Exposure time: 59 seconds; ECL: K1801;
4-20% SDS-PAGE gel.
Proteins were transferred to a PVDF membrane and blocked with 5% NFDM/TBST for 1 hour at room temperature. The primary antibody (HA722441) at 1/2,000 dilution and competitor's antibody at 1/2,000 dilution were used in 5% NFDM/TBST at 4℃ overnight. Goat Anti-Rabbit IgG - HRP Secondary Antibody (HA1001) at 1/50,000 dilution was used for 1 hour at room temperature.
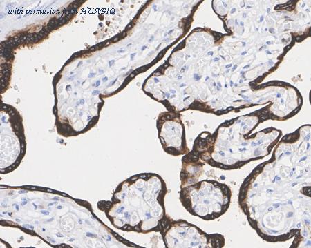
image 2 :

Immunohistochemical analysis of paraffin-embedded human placenta tissue with Rabbit anti-Steroid sulfatase antibody (HA722441) at 1/3,000 dilution.
The section was pre-treated using heat mediated antigen retrieval with Tris-EDTA buffer (pH 9.0) for 20 minutes. The tissues were blocked in 1% BSA for 20 minutes at room temperature, washed with ddH2O and PBS, and then probed with the primary antibody (HA722441) at 1/3,000 dilution for 1 hour at room temperature. The detection was performed using an HRP conjugated compact polymer system. DAB was used as the chromogen. Tissues were counterstained with hematoxylin and mounted with DPX.
image 3 :

Immunohistochemical analysis of paraffin-embedded human pancreas tissue (negative) with Rabbit anti-Steroid sulfatase antibody (HA722441) at 1/3,000 dilution.
The section was pre-treated using heat mediated antigen retrieval with Tris-EDTA buffer (pH 9.0) for 20 minutes. The tissues were blocked in 1% BSA for 20 minutes at room temperature, washed with ddH2O and PBS, and then probed with the primary antibody (HA722441) at 1/3,000 dilution for 1 hour at room temperature. The detection was performed using an HRP conjugated compact polymer system. DAB was used as the chromogen. Tissues were counterstained with hematoxylin and mounted with DPX.
product information
SKU :
HA722441
Target name :
Steroid sulfatase
Species reactivity :
Human
Applications :
WB,IHC-P
Conjugate :
Non-conjugated
Immunogen :
Recombinant protein within Human Steroid sulfatase aa 22-184 and aa 235-583.
Uniprot id :
P08842>SwissProt: P08842 Human
Host :
Rabbit
Clone number :
PSH05-74
Isotype :
IgG
Size :
100μl
List Price :
385.00 USD
Storage Buffer :
PBS (pH7.4), 0.1% BSA, 40% Glycerol. Preservative: 0.05% Sodium Azide.
Form :
Liquid
Storage Instruction :
Shipped at 4℃. Store at +4℃ short term (1-2 weeks). It is recommended to aliquot into single-use upon delivery. Store at -20℃ long term.
Purity :
Protein A affinity purified.
Product type :
Recombinant Rabbit monoclonal Antibody
Positive control :
Jurkat cell lysate HepG2 cell lysate, MCF7 cell lysate, Huh7 cell lysate, T-47D cell lysate, human placenta tissue.
Molecular wt :
Predicted band size: 65 kDa
Subcellular location :
Cytoplasmic vesicle. Endoplasmic reticulum.
Concentration :
1 mg/mL.
Recommended dilutions :
WB: 1:2,000
;IHC-P: 1:3,000
Advanced Validation :
Relative expression (RE)
more info or order :
company information

HUABIO
Founded in 2007, HUABIO is dedicated to developing high-quality antibodies that advance innovation. We are passionate about the accuracy, efficiency, and consistency of our products. That is why we have invested in new production platforms, like recombinant rabbit monoclonals, alpaca nanobodies, and adopted aggressive QA standards to deliver cutting-edge antibodies with uncompromised quality.
We hope to see you at your next discovery!
We hope to see you at your next discovery!
related products
browse more products
questions and comments
