product summary
Loading...
company name :
HUABIO
product type :
antibody
product name :
Delta-catenin
catalog :
HA722438
quantity :
100μl
price :
385.00 USD
clonality :
monoclonal
host :
domestic rabbit
conjugate :
nonconjugated
clone name :
JE75-34
reactivity :
human, mouse, rat
application :
western blot, immunoprecipitation, immunohistochemistry - paraffin section, immunohistochemistry - frozen section
more info or order :
image
image 1 :

Western blot analysis of Delta-catenin on different lysates with Rabbit anti-Delta-catenin antibody (HA722438) at 1/1,000 dilution.
Lane 1: Mouse brain tissue lysate
Lane 2: Mouse hippocampus tissue lysate
Lane 3: Mouse heart tissue lysate (negative)
Lane 4: Mouse kidney tissue lysate (negative)
Lane 5: Mouse cerebellum tissue lysate
Lane 6: Rat brain tissue lysate
Lane 7: Rat heart tissue lysate (negative)
Lane 8: Rat kidney tissue lysate (negative)
Lane 9: Rat spleen tissue lysate (negative)
Lane 10: Rat hippocampus tissue lysate
Lane 11: Rat cerebellum tissue lysate
Lysates/proteins at 40 µg/Lane.
Predicted band size: 135 kDa
Observed band size: 135 kDa
Exposure time: 1 minute 2 seconds; ECL: K1801;
4-20% SDS-PAGE gel.
Proteins were transferred to a PVDF membrane and blocked with 5% NFDM/TBST for 1 hour at room temperature. The primary antibody (HA722438) at 1/1,000 dilution was used in 5% NFDM/TBST at 4℃ overnight. Goat Anti-Rabbit IgG - HRP Secondary Antibody (HA1001) at 1/50,000 dilution was used for 1 hour at room temperature.
image 2 :

Delta-catenin was immunoprecipitated from 0.2 mg mouse brain tissue lysate with HA722438 at 2 µg/10 µl beads. Western blot was performed from the immunoprecipitate using HA722438 at 1/1,000 dilution. Anti-Rabbit IgG for IP Nano-secondary antibody (NBI01H) at 1/5,000 dilution was used for 1 hour at room temperature.
Lane 1: Mouse brain tissue lysate (input)
Lane 2: HA722438 IP in mouse brain tissue lysate
Lane 3: Rabbit IgG instead of HA722438 in mouse brain tissue lysate
Blocking/Dilution buffer: 5% NFDM/TBST
Exposure time: 17 seconds; ECL: K1801
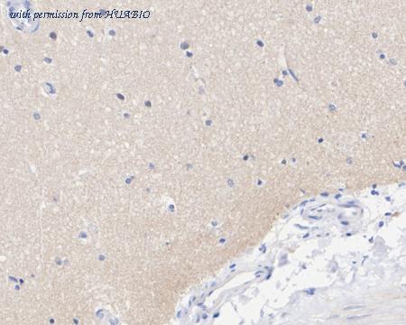
image 3 :

Immunohistochemical analysis of paraffin-embedded human brain tissue with Rabbit anti-Delta-catenin antibody (HA722438) at 1/200 dilution.
The section was pre-treated using heat mediated antigen retrieval with sodium citrate buffer (pH 6.0) (high pressure) for 2 minutes. The tissues were blocked in 1% BSA for 20 minutes at room temperature, washed with ddH2O and PBS, and then probed with the primary antibody (HA722438) at 1/200 dilution for 1 hour at room temperature. The detection was performed using an HRP conjugated compact polymer system. DAB was used as the chromogen. Tissues were counterstained with hematoxylin and mounted with DPX.
product information
SKU :
HA722438
Target name :
Delta-catenin
Species reactivity :
Human,Mouse,Rat,Cynomolgus monkey,Pig
Applications :
WB,IHC-P,IP,IHC-Fr
Conjugate :
Non-conjugated
Immunogen :
Recombinant protein within Mouse Catenin delta-2 aa 1-100 / 1,247.
Uniprot id :
Q9UQB3>SwissProt: Q9UQB3 Human;SwissProt: O35927 Mouse;SwissProt: O35116 Rat
Host :
Rabbit
Clone number :
JE75-34
Isotype :
IgG
Size :
100μl
List Price :
385.00 USD
Storage Buffer :
1*TBS (pH7.4), 0.05% BSA, 40% Glycerol. Preservative: 0.05% Sodium Azide.
Form :
Liquid
Storage Instruction :
Shipped at 4℃. Store at +4℃ short term (1-2 weeks). It is recommended to aliquot into single-use upon delivery. Store at -20℃ long term.
Purity :
Protein A affinity purified.
Product type :
Recombinant Rabbit monoclonal Antibody
Positive control :
Mouse brain tissue lysate, mouse hippocampus tissue lysate, mouse cerebellum tissue lysate, rat brain tissue lysate, rat hippocampus tissue lysate, rat cerebellum tissue lysate, human brain tissue, mouse brain tissue, rat brain tissue.
Molecular wt :
Predicted band size: 135 kDa
Subcellular location :
Nucleus, Cell junction, adherens junction, Cell projection, dendrite, Perikaryon.
Concentration :
1 mg/mL.
Recommended dilutions :
WB: 1:1,000
;IHC-P: 1:200
;IP: 1-2μg/sample
;IHC-Fr: 1:200
Advanced Validation :
Relative expression (RE)
Pic img4 :
https://storage.huabio.cn/huabio/productImg/HA722438_4.jpg
Pic legend4 :
Immunohistochemical analysis of paraffin-embedded mouse brain tissue with Rabbit anti-Delta-catenin antibody (HA722438) at 1/200 dilution.
The section was pre-treated using heat mediated antigen retrieval with sodium citrate buffer (pH 6.0) (high pressure) for 2 minutes. The tissues were blocked in 1% BSA for 20 minutes at room temperature, washed with ddH2O and PBS, and then probed with the primary antibody (HA722438) at 1/200 dilution for 1 hour at room temperature. The detection was performed using an HRP conjugated compact polymer system. DAB was used as the chromogen. Tissues were counterstained with hematoxylin and mounted with DPX.
Pic img5 :
https://storage.huabio.cn/huabio/productImg/HA722438_5.jpg
Pic legend5 :
Immunohistochemical analysis of paraffin-embedded rat brain tissue with Rabbit anti-Delta-catenin antibody (HA722438) at 1/200 dilution.
The section was pre-treated using heat mediated antigen retrieval with sodium citrate buffer (pH 6.0) (high pressure) for 2 minutes. The tissues were blocked in 1% BSA for 20 minutes at room temperature, washed with ddH2O and PBS, and then probed with the primary antibody (HA722438) at 1/200 dilution for 1 hour at room temperature. The detection was performed using an HRP conjugated compact polymer system. DAB was used as the chromogen. Tissues were counterstained with hematoxylin and mounted with DPX.
Pic img6 :
https://storage.huabio.cn/huabio/productImg/HA722438_6.jpg
Pic legend6 :
Application: IHC-Fr
Species: Rat
Site: Cerebral cortex
Sample: Frozen section
Antibody concentration: 1/200
Antigen retrieval: The section was pre-treated using heat mediated antigen retrieval with sodium citrate buffer (pH 6.0) for about 2 minutes in microwave oven.
more info or order :
company information

HUABIO
Founded in 2007, HUABIO is dedicated to developing high-quality antibodies that advance innovation. We are passionate about the accuracy, efficiency, and consistency of our products. That is why we have invested in new production platforms, like recombinant rabbit monoclonals, alpaca nanobodies, and adopted aggressive QA standards to deliver cutting-edge antibodies with uncompromised quality.
We hope to see you at your next discovery!
We hope to see you at your next discovery!
related products
browse more products
questions and comments
