product summary
Loading...
company name :
HUABIO
product type :
antibody
product name :
CARM1
catalog :
HA722224
quantity :
100μl
price :
385.00 USD
clonality :
monoclonal
host :
domestic rabbit
conjugate :
nonconjugated
clone name :
PSH05-08
reactivity :
human, mouse, rat
application :
western blot, immunoprecipitation, immunohistochemistry - paraffin section
more info or order :
image
image 1 :

Western blot analysis of CARM1 on different lysates with Rabbit anti-CARM1 antibody (HA722224) at 1/1,000 dilution.
Lane 1: MCF7 cell lysate (20 µg/Lane)
Lane 2: MDA-MB-231 cell lysate (20 µg/Lane)
Lane 3: A431 cell lysate (20 µg/Lane)
Lane 4: HEK-293 cell lysate (20 µg/Lane)
Lane 5: HCT 116 cell lysate (20 µg/Lane)
Lane 6: EA.hy926 cell lysate (20 µg/Lane)
Lane 7: NIH/3T3 cell lysate (20 µg/Lane)
Lane 8: Mouse placenta tissue lysate (40 µg/Lane)
Predicted band size: 66 kDa
Observed band size: 60 kDa
Exposure time: 40 seconds; ECL: K1802;
4-20% SDS-PAGE gel.
Proteins were transferred to a PVDF membrane and blocked with 5% NFDM/TBST for 1 hour at room temperature. The primary antibody (HA722224) at 1/1,000 dilution was used in 5% NFDM/TBST at 4℃ overnight. Goat Anti-Rabbit IgG - HRP Secondary Antibody (HA1001) at 1/50,000 dilution was used for 1 hour at room temperature.
image 2 :

Immunohistochemical analysis of paraffin-embedded human testis tissue with Rabbit anti-CARM1 antibody (HA722224) at 1/1,000 dilution.
The section was pre-treated using heat mediated antigen retrieval with sodium citrate buffer (pH 6.0) (high pressure) for 2 minutes. The tissues were blocked in 1% BSA for 20 minutes at room temperature, washed with ddH2O and PBS, and then probed with the primary antibody (HA722224) at 1/1,000 dilution for 1 hour at room temperature. The detection was performed using an HRP conjugated compact polymer system. DAB was used as the chromogen. Tissues were counterstained with hematoxylin and mounted with DPX.
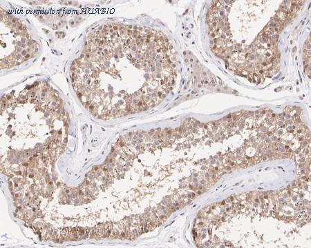
image 3 :

Immunohistochemical analysis of paraffin-embedded human small intestine tissue with Rabbit anti-CARM1 antibody (HA722224) at 1/1,000 dilution.
The section was pre-treated using heat mediated antigen retrieval with sodium citrate buffer (pH 6.0) (high pressure) for 2 minutes. The tissues were blocked in 1% BSA for 20 minutes at room temperature, washed with ddH2O and PBS, and then probed with the primary antibody (HA722224) at 1/1,000 dilution for 1 hour at room temperature. The detection was performed using an HRP conjugated compact polymer system. DAB was used as the chromogen. Tissues were counterstained with hematoxylin and mounted with DPX.
product information
SKU :
HA722224
Target name :
CARM1
Species reactivity :
Human,Mouse,Rat
Applications :
WB,IHC-P,IP
Conjugate :
Non-conjugated
Immunogen :
Recombinant protein within human CARM1 aa 101-500 / 608.
Uniprot id :
Q86X55>SwissProt: Q86X55 Human;SwissProt: Q9WVG6 Mouse;SwissProt: Q4AE70 Rat
Host :
Rabbit
Clone number :
PSH05-08
Isotype :
IgG
Size :
100μl
List Price :
385.00 USD
Storage Buffer :
PBS (pH7.4), 0.1% BSA, 40% Glycerol. Preservative: 0.05% Sodium Azide.
Form :
Liquid
Storage Instruction :
Shipped at 4℃. Store at +4℃ short term (1-2 weeks). It is recommended to aliquot into single-use upon delivery. Store at -20℃ long term.
Purity :
Protein A affinity purified.
Product type :
Recombinant Rabbit monoclonal Antibody
Positive control :
MCF7 cell lysate, MDA-MB-231 cell lysate, A431 cell lysate, HEK-293 cell lysate, HCT 116 cell lysate, EA.hy926 cell lysate, NIH/3T3 cell lysate, mouse placenta tissue lysate, human testis tissue, human small intestine tissue, mouse small intestine tissue, rat small intestine tissue.
Molecular wt :
Predicted band size: 66 kDa
Subcellular location :
Nucleus, Cytoplasm, Chromosome.
Concentration :
1 mg/mL.
Recommended dilutions :
WB: 1:1,000
;IHC-P: 1:1,000
;IP: 1-2μg/sample
Pic img4 :
https://storage.huabio.cn/huabio/productImg/HA722224_4.jpg
Pic legend4 :
Immunohistochemical analysis of paraffin-embedded mouse small intestine tissue with Rabbit anti-CARM1 antibody (HA722224) at 1/1,000 dilution.
The section was pre-treated using heat mediated antigen retrieval with sodium citrate buffer (pH 6.0) (high pressure) for 2 minutes. The tissues were blocked in 1% BSA for 20 minutes at room temperature, washed with ddH2O and PBS, and then probed with the primary antibody (HA722224) at 1/1,000 dilution for 1 hour at room temperature. The detection was performed using an HRP conjugated compact polymer system. DAB was used as the chromogen. Tissues were counterstained with hematoxylin and mounted with DPX.
Pic img5 :
https://storage.huabio.cn/huabio/productImg/HA722224_5.jpg
Pic legend5 :
Immunohistochemical analysis of paraffin-embedded rat small intestine tissue with Rabbit anti-CARM1 antibody (HA722224) at 1/1,000 dilution.
The section was pre-treated using heat mediated antigen retrieval with sodium citrate buffer (pH 6.0) (high pressure) for 2 minutes. The tissues were blocked in 1% BSA for 20 minutes at room temperature, washed with ddH2O and PBS, and then probed with the primary antibody (HA722224) at 1/1,000 dilution for 1 hour at room temperature. The detection was performed using an HRP conjugated compact polymer system. DAB was used as the chromogen. Tissues were counterstained with hematoxylin and mounted with DPX.
Pic img6 :
https://storage.huabio.cn/huabio/productImg/HA722224_6.jpg
Pic legend6 :
CARM1 was immunoprecipitated from 0.2 mg HCT 116 cell lysate with CARM1 at 2 µg/10 µl beads. Western blot was performed from the immunoprecipitate using HA722224 at 1/1,000 dilution. HRP Conjugated Anti-Rabbit IgG for IP Nano-secondary antibody at 1/5,000 dilution was used for 1 hour at room temperature.
Lane 1: HCT 116 cell lysate (input)
Lane 2: HA722224 IP in HCT 116 cell lysate
Lane 3: Rabbit IgG instead of HA722224 in HCT 116 cell lysate
Blocking/Dilution buffer: 5% NFDM/TBST
Exposure time: 51 seconds; ECL: K1801
more info or order :
company information

HUABIO
Founded in 2007, HUABIO is dedicated to developing high-quality antibodies that advance innovation. We are passionate about the accuracy, efficiency, and consistency of our products. That is why we have invested in new production platforms, like recombinant rabbit monoclonals, alpaca nanobodies, and adopted aggressive QA standards to deliver cutting-edge antibodies with uncompromised quality.
We hope to see you at your next discovery!
We hope to see you at your next discovery!
related products
browse more products
questions and comments
