product summary
Loading...
company name :
HUABIO
product type :
antibody
product name :
TFPI
catalog :
HA722199
quantity :
100μl
price :
385.00 USD
clonality :
monoclonal
host :
domestic rabbit
conjugate :
nonconjugated
clone name :
JE40-58
reactivity :
human
application :
western blot, immunoprecipitation, immunohistochemistry - paraffin section
more info or order :
image
image 1 :

Western blot analysis of TFPI on different lysates with Rabbit anti-TFPI antibody (HA722199) at 1/1,000 dilution.
Lane 1: HepG2 cell lysate
Lane 2: LoVo cell lysate (negative)
Lane 3: HUVEC cell lysate
Lane 4: EA.hy926 cell lysate
Lysates/proteins at 20 µg/Lane.
Predicted band size: 35 kDa
Observed band size: 35-45 kDa
Exposure time: 59 seconds; ECL: K1801;
4-20% SDS-PAGE gel.
Proteins were transferred to a PVDF membrane and blocked with 5% NFDM/TBST for 1 hour at room temperature. The primary antibody (HA722199) at 1/1,000 dilution was used in 5% NFDM/TBST at 4℃ overnight. Goat Anti-Rabbit IgG - HRP Secondary Antibody (HA1001) at 1/50,000 dilution was used for 1 hour at room temperature.
image 2 :

TFPI was immunoprecipitated from 0.2 mg HepG2 cell lysate with HA722199 at 2 µg/10 µl beads. Western blot was performed from the immunoprecipitate using HA722199 at 1/1,000 dilution. Anti-Rabbit IgG for IP Nano-secondary antibody (NBI01H) at 1/5,000 dilution was used for 1 hour at room temperature.
Lane 1: HepG2 cell lysate (input)
Lane 2: HA722199 IP in HepG2 cell lysate
Lane 3: Rabbit IgG instead of HA722199 in HepG2 cell lysate
Blocking/Dilution buffer: 5% NFDM/TBST
Exposure time: 52 seconds; ECL: K1802
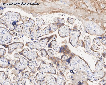
image 3 :

Immunohistochemical analysis of paraffin-embedded human placenta tissue with Rabbit anti-TFPI antibody (HA722199) at 1/200 dilution.
The section was pre-treated using heat mediated antigen retrieval with Tris-EDTA buffer (pH 9.0) for 20 minutes. The tissues were blocked in 1% BSA for 20 minutes at room temperature, washed with ddH2O and PBS, and then probed with the primary antibody (HA722199) at 1/200 dilution for 1 hour at room temperature. The detection was performed using an HRP conjugated compact polymer system. DAB was used as the chromogen. Tissues were counterstained with hematoxylin and mounted with DPX.
product information
SKU :
HA722199
Target name :
TFPI
Species reactivity :
Human
Applications :
WB,IHC-P,IP
Conjugate :
Non-conjugated
Immunogen :
Synthetic peptide within Human TFPI aa 250-304.
Uniprot id :
P10646>SwissProt: P10646 Human
Host :
Rabbit
Clone number :
JE40-58
Isotype :
IgG
Size :
100μl
List Price :
385.00 USD
Storage Buffer :
1*TBS (pH7.4), 0.05% BSA, 40% Glycerol. Preservative: 0.05% Sodium Azide.
Form :
Liquid
Storage Instruction :
Shipped at 4℃. Store at +4℃ short term (1-2 weeks). It is recommended to aliquot into single-use upon delivery. Store at -20℃ long term.
Purity :
Protein A affinity purified.
Product type :
Recombinant Rabbit monoclonal Antibody
Positive control :
HepG2 cell lysate, HUVEC cell lysate, EA.hy926 cell lysate, human placenta tissue.
Molecular wt :
Predicted band size: 35 kDa
Subcellular location :
Secreted, Microsome membrane.
Concentration :
1 mg/mL.
Recommended dilutions :
WB: 1:1,000
;IHC-P: 1:200
;IP: 1-2μg/sample
Advanced Validation :
Relative expression (RE)
more info or order :
company information

HUABIO
Founded in 2007, HUABIO is dedicated to developing high-quality antibodies that advance innovation. We are passionate about the accuracy, efficiency, and consistency of our products. That is why we have invested in new production platforms, like recombinant rabbit monoclonals, alpaca nanobodies, and adopted aggressive QA standards to deliver cutting-edge antibodies with uncompromised quality.
We hope to see you at your next discovery!
We hope to see you at your next discovery!
browse more products
questions and comments
