product summary
Loading...
company name :
HUABIO
product type :
antibody
product name :
ROCK2
catalog :
HA722176
quantity :
100μl
price :
385.00 USD
clonality :
monoclonal
host :
domestic rabbit
conjugate :
nonconjugated
clone name :
JE31-36
reactivity :
human, mouse, rat
application :
western blot, immunohistochemistry - paraffin section
more info or order :
image
image 1 :

Western blot analysis of ROCK2 on different lysates with Rabbit anti-ROCK2 antibody (HA722176) at 1/1,000 dilution.
Lane 1: HepG2 cell lysate
Lane 2: MCF7 cell lysate
Lane 3: C2C12 cell lysate
Lane 4: C6 cell lysate
Lane 5: Mouse brain tissue lysate
Lane 6: Rat brain tissue lysate
Lysates/proteins at 20 µg/Lane.
Predicted band size: 161 kDa
Observed band size: 150 kDa
Exposure time: 59 seconds; ECL: K1801;
4-20% SDS-PAGE gel.
Proteins were transferred to a PVDF membrane and blocked with 5% NFDM/TBST for 1 hour at room temperature. The primary antibody (HA722176) at 1/1,000 dilution was used in 5% NFDM/TBST at 4℃ overnight. Goat Anti-Rabbit IgG - HRP Secondary Antibody (HA1001) at 1/50,000 dilution was used for 1 hour at room temperature.
image 2 :

Immunocytochemistry analysis of HeLa cells labeling ROCK2 with Rabbit anti-ROCK2 antibody (HA722176) at 1/100 dilution.
Cells were fixed in 4% paraformaldehyde for 20 minutes at room temperature, permeabilized with 0.1% Triton X-100 in PBS for 5 minutes at room temperature, then blocked with 1% BSA in 10% negative goat serum for 1 hour at room temperature. Cells were then incubated with Rabbit anti-ROCK2 antibody (HA722176) at 1/100 dilution in 1% BSA in PBST overnight at 4 ℃. Goat Anti-Rabbit IgG H&L (iFluor™ 488, HA1121) was used as the secondary antibody at 1/1,000 dilution. PBS instead of the primary antibody was used as the secondary antibody only control. Nuclear DNA was labelled in blue with DAPI.
Beta tubulin (M1305-2, red) was stained at 1/100 dilution overnight at +4℃. Goat Anti-Mouse IgG H&L (iFluor™ 594, HA1126) was used as the secondary antibody at 1/1,000 dilution.
image 3 :

Immunohistochemical analysis of paraffin-embedded mouse brain tissue with Rabbit anti-ROCK2 antibody (HA722176) at 1/1,000 dilution.
The section was pre-treated using heat mediated antigen retrieval with Tris-EDTA buffer (pH 9.0) for 20 minutes. The tissues were blocked in 1% BSA for 20 minutes at room temperature, washed with ddH2O and PBS, and then probed with the primary antibody (HA722176) at 1/1,000 dilution for 1 hour at room temperature. The detection was performed using an HRP conjugated compact polymer system. DAB was used as the chromogen. Tissues were counterstained with hematoxylin and mounted with DPX.
product information
SKU :
HA722176
Target name :
ROCK2
Species reactivity :
Human,Mouse,Rat
Applications :
WB,IF-Cell,IHC-P
Conjugate :
Non-conjugated
Immunogen :
Synthetic peptide within C terminal Human ROCK2.
Uniprot id :
O75116>SwissProt: O75116 Human;SwissProt: P70336 Mouse;SwissProt: Q62868 Rat
Host :
Rabbit
Clone number :
JE31-36
Isotype :
IgG
Size :
100μl
List Price :
385.00 USD
Storage Buffer :
1*TBS (pH7.4), 0.05% BSA, 40% Glycerol. Preservative: 0.05% Sodium Azide.
Form :
Liquid
Storage Instruction :
Shipped at 4℃. Store at +4℃ short term (1-2 weeks). It is recommended to aliquot into single-use upon delivery. Store at -20℃ long term.
Purity :
Protein A affinity purified.
Product type :
Recombinant Rabbit monoclonal Antibody
Positive control :
HepG2 cell lysate, MCF7 cell lysate, C2C12 cell lysate, C6 cell lysate, mouse brain tissue lysate, rat brain tissue lysate, HeLa, mouse brain tissue, rat brain tissue.
Molecular wt :
Predicted band size: 161 kDa
Subcellular location :
Cytoplasm, Cell membrane, Nucleus, cytoskeleton, microtubule organizing center, centrosome.
Concentration :
1 mg/mL.
Recommended dilutions :
WB: 1:1,000
;IF-Cell: 1:100
;IHC-P: 1:1,000
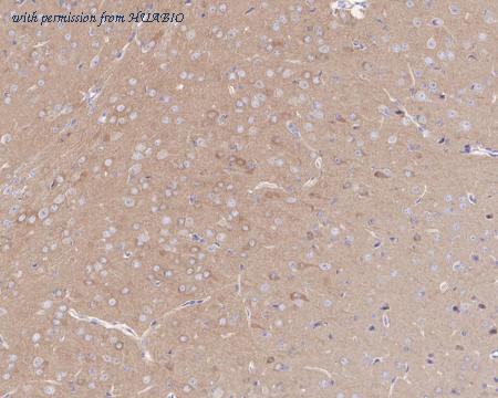
Pic img4 :
https://storage.huabio.cn/huabio/productImg/HA722176_4.jpg
Pic legend4 :
Immunohistochemical analysis of paraffin-embedded rat brain tissue with Rabbit anti-ROCK2 antibody (HA722176) at 1/1,000 dilution.
The section was pre-treated using heat mediated antigen retrieval with Tris-EDTA buffer (pH 9.0) for 20 minutes. The tissues were blocked in 1% BSA for 20 minutes at room temperature, washed with ddH2O and PBS, and then probed with the primary antibody (HA722176) at 1/1,000 dilution for 1 hour at room temperature. The detection was performed using an HRP conjugated compact polymer system. DAB was used as the chromogen. Tissues were counterstained with hematoxylin and mounted with DPX.
more info or order :
company information

HUABIO
Founded in 2007, HUABIO is dedicated to developing high-quality antibodies that advance innovation. We are passionate about the accuracy, efficiency, and consistency of our products. That is why we have invested in new production platforms, like recombinant rabbit monoclonals, alpaca nanobodies, and adopted aggressive QA standards to deliver cutting-edge antibodies with uncompromised quality.
We hope to see you at your next discovery!
We hope to see you at your next discovery!
related products
browse more products
questions and comments
