product summary
Loading...
company name :
HUABIO
product type :
antibody
product name :
SREBP1
catalog :
HA722160
quantity :
100μl
price :
385.00 USD
clonality :
monoclonal
host :
domestic rabbit
conjugate :
nonconjugated
clone name :
PSH04-61
reactivity :
human
application :
western blot, immunohistochemistry - paraffin section
more info or order :
image
image 1 :

Western blot analysis of SREBP1 on different lysates with Rabbit anti-SREBP1 antibody (HA722160) at 1/2,000 dilution.
Lane 1: HeLa cell lysate
Lane 2: HEK-293 cell lysate
Lane 3: MCF7 cell lysate
Lane 4: A549 cell lysate
Lane 5: SK-Br-3 cell lysate
Lysates/proteins at 20 µg/Lane.
Predicted band size: 122 kDa
Observed band size: 80-100 kDa
Exposure time: 3 minutes; ECL: K1801;
4-20% SDS-PAGE gel.
Proteins were transferred to a PVDF membrane and blocked with 5% NFDM/TBST for 1 hour at room temperature. The primary antibody (HA722160) at 1/2,000 dilution was used in 5% NFDM/TBST at 4℃ overnight. Goat Anti-Rabbit IgG - HRP Secondary Antibody (HA1001) at 1/50,000 dilution was used for 1 hour at room temperature.
image 2 :

Western blot analysis of SREBP1 on different lysates with Rabbit anti-SREBP1 antibody (HA722160) at 1/2,000 dilution.
Lane 1: HeLa-si-NT cell lysate
Lane 2: HeLa-si-SREBP1 cell lysate
Lysates/proteins at 10 µg/Lane.
Predicted band size: 122 kDa
Observed band size: 100 kDa
Exposure time: 1 minute 50 seconds; ECL: K1801;
4-20% SDS-PAGE gel.
Proteins were transferred to a PVDF membrane and blocked with 5% NFDM/TBST for 1 hour at room temperature. The primary antibody (HA722160) at 1/2,000 dilution was used in 5% NFDM/TBST at 4℃ overnight. Goat Anti-Rabbit IgG - HRP Secondary Antibody (HA1001) at 1/50,000 dilution was used for 1 hour at room temperature.
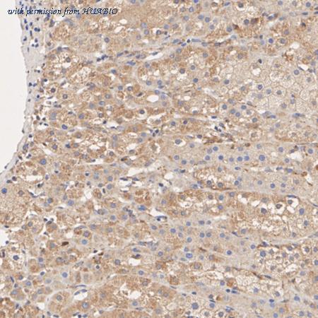
image 3 :

Immunohistochemical analysis of paraffin-embedded human adrenal gland tissue with Rabbit anti-SREBP1 antibody (HA722160) at 1/50 dilution.
The section was pre-treated using heat mediated antigen retrieval with sodium citrate buffer (pH 6.0) (high pressure) for 2 minutes. The tissues were blocked in 1% BSA for 20 minutes at room temperature, washed with ddH2O and PBS, and then probed with the primary antibody (HA722160) at 1/50 dilution for 1 hour at room temperature. The detection was performed using an HRP conjugated compact polymer system. DAB was used as the chromogen. Tissues were counterstained with hematoxylin and mounted with DPX.
product information
SKU :
HA722160
Target name :
SREBP1
Species reactivity :
Human
Applications :
WB,IHC-P,IF-Cell
Conjugate :
Non-conjugated
Immunogen :
Synthetic peptide within human SREBP1 aa 301-350 / 1,147.
Uniprot id :
P36956>SwissProt: P36956 Human
Host :
Rabbit
Clone number :
PSH04-61
Isotype :
IgG
Size :
100μl
List Price :
385.00 USD
Storage Buffer :
PBS (pH7.4), 0.1% BSA, 40% Glycerol. Preservative: 0.05% Sodium Azide.
Form :
Liquid
Storage Instruction :
Shipped at 4℃. Store at +4℃ short term (1-2 weeks). It is recommended to aliquot into single-use upon delivery. Store at -20℃ long term.
Purity :
Protein A affinity purified.
Product type :
Recombinant Rabbit monoclonal Antibody
Positive control :
HeLa cell lysate, HEK-293 cell lysate, MCF7 cell lysate, A549 cell lysate, SK-Br-3 cell lysate, human adrenal gland tissue, HeLa.
Molecular wt :
Predicted band size: 122 kDa
Subcellular location :
Endoplasmic reticulum membrane, Golgi apparatus membrane, Cytoplasmic vesicle, COPII-coated vesicle membrane; Nucleus.
Concentration :
1 mg/mL.
Recommended dilutions :
WB: 1:2,000
;IHC-P: 1:50
;IF-Cell: 1:100
Advanced Validation :
Knockdown (KD)
Pic img4 :
https://storage.huabio.cn/huabio/productImg/HA722160_4.jpg
Pic legend4 :
Immunocytochemistry analysis of HeLa cells labeling SREBP1 with Rabbit anti-SREBP1 antibody (HA722160) at 1/100 dilution.
Cells were fixed in 4% paraformaldehyde for 20 minutes at room temperature, permeabilized with 0.1% Triton X-100 in PBS for 5 minutes at room temperature, then blocked with 1% BSA in 10% negative goat serum for 1 hour at room temperature. Cells were then incubated with Rabbit anti-SREBP1 antibody (HA722160) at 1/100 dilution in 1% BSA in PBST overnight at 4 ℃. Goat Anti-Rabbit IgG H&L (iFluor™ 488, HA1121) was used as the secondary antibody at 1/1,000 dilution. PBS instead of the primary antibody was used as the secondary antibody only control. Nuclear DNA was labelled in blue with DAPI.
Beta tubulin (M1305-2, red) was stained at 1/100 dilution overnight at +4℃. Goat Anti-Mouse IgG H&L (iFluor™ 594, HA1126) was used as the secondary antibody at 1/1,000 dilution.
more info or order :
company information

HUABIO
Founded in 2007, HUABIO is dedicated to developing high-quality antibodies that advance innovation. We are passionate about the accuracy, efficiency, and consistency of our products. That is why we have invested in new production platforms, like recombinant rabbit monoclonals, alpaca nanobodies, and adopted aggressive QA standards to deliver cutting-edge antibodies with uncompromised quality.
We hope to see you at your next discovery!
We hope to see you at your next discovery!
related products
browse more products
questions and comments
