product summary
Loading...
company name :
HUABIO
product type :
antibody
product name :
XIAP
catalog :
HA722113
quantity :
100μl
price :
385.00 USD
clonality :
monoclonal
host :
domestic rabbit
conjugate :
nonconjugated
clone name :
PSH04-30
reactivity :
human, mouse, rat
application :
western blot, immunohistochemistry - paraffin section
more info or order :
image
image 1 :

Western blot analysis of XIAP on different lysates with Rabbit anti-XIAP antibody (HA722113) at 1/2,000 dilution and competitor's antibody at 1/2,000 dilution.
Lane 1: 293T cell lysate (20 µg/Lane)
Lane 2: MCF7 cell lysate (20 µg/Lane)
Lane 3: HT-29 cell lysate (20 µg/Lane)
Lane 4: A549 cell lysate (20 µg/Lane)
Lane 5: HeLa cell lysate (20 µg/Lane)
Lane 6: COS-1 cell lysate (20 µg/Lane)
Lane 7: NIH/3T3 cell lysate (20 µg/Lane)
Lane 8: PC-12 cell lysate (20 µg/Lane)
Lane 9: Mouse brain tissue lysate (20 µg/Lane)
Lane 10: Rat brain tissue lysate (20 µg/Lane)
Predicted band size: 57 kDa
Observed band size: 50 kDa
Exposure time: Lane 1-10 (left): 20 seconds; Lane 1-10 (right): 3 minutes; ECL: K1801; 4-20% SDS-PAGE gel.
Proteins were transferred to a PVDF membrane and blocked with 5% NFDM/TBST for 1 hour at room temperature. The primary antibody (HA722113) at 1/2,000 dilution and competitor's antibody at 1/2,000 dilution were used in 5% NFDM/TBST at 4℃ overnight. Goat Anti-Rabbit IgG - HRP Secondary Antibody (HA1001) at 1/50,000 dilution was used for 1 hour at room temperature.
image 2 :

Western blot analysis of XIAP with Rabbit anti-XIAP antibody (HA722113) at 1/2,000 dilution.
Lane 1: Wild-type Caco-2 whole cell lysate (10 µg/Lane)
Lane 2/3: XIAP knockdown Caco-2 whole cell lysate (10 µg/Lane)
Predicted band size: 57 kDa
Observed band size: 50 kDa
Exposure time: 1 minute; ECL: K1801; 4-20% SDS-PAGE gel.
HA722113 was shown to specifically react with XIAP in wild-type Caco-2 cells. Weakened bands were observed when XIAP knockdown samples were tested. Wild-type and XIAP knockdown samples were subjected to SDS-PAGE. Proteins were transferred to a PVDF membrane and blocked with 5% NFDM in TBST for 1 hour at room temperature. The primary antibody (HA722113) at 1/2,000 dilution were used in 5% NFDM/TBST at 4℃ overnight. Goat Anti-Rabbit IgG - HRP Secondary Antibody (HA1001) at 1/50,000 dilution was used for 1 hour at room temperature.
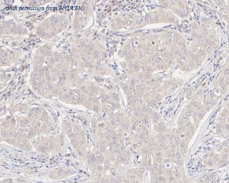
image 3 :

Immunohistochemical analysis of paraffin-embedded human breast cancer tissue with Rabbit anti-XIAP antibody (HA722113) at 1/50 dilution.
The section was pre-treated using heat mediated antigen retrieval with sodium citrate buffer (pH 6.0) (high pressure) for 2 minutes. The tissues were blocked in 1% BSA for 20 minutes at room temperature, washed with ddH2O and PBS, and then probed with the primary antibody (HA722113) at 1/50 dilution for 1 hour at room temperature. The detection was performed using an HRP conjugated compact polymer system. DAB was used as the chromogen. Tissues were counterstained with hematoxylin and mounted with DPX.
product information
SKU :
HA722113
Target name :
XIAP
Species reactivity :
Human,Mouse,Rat,Monkey
Applications :
WB,IHC-P
Conjugate :
Non-conjugated
Immunogen :
Recombinant protein within human XIAP aa 301-450 / 497.
Uniprot id :
P98170>SwissProt: P98170 Human;SwissProt: Q60989 Mouse;SwissProt: Q9R0I6 Rat
Host :
Rabbit
Clone number :
PSH04-30
Isotype :
IgG
Size :
100μl
List Price :
385.00 USD
Storage Buffer :
PBS (pH7.4), 0.1% BSA, 40% Glycerol. Preservative: 0.05% Sodium Azide.
Form :
Liquid
Storage Instruction :
Shipped at 4℃. Store at +4℃ short term (1-2 weeks). It is recommended to aliquot into single-use upon delivery. Store at -20℃ long term.
Purity :
Protein A affinity purified.
Product type :
Recombinant Rabbit monoclonal Antibody
Positive control :
293T cell lysate, MCF7 cell lysate, HT-29 cell lysate, A549 cell lysate, HeLa cell lysate, COS-1 cell lysate, NIH/3T3 cell lysate, PC-12 cell lysate, mouse brain tissue lysate, rat brain tissue lysate, human breast cancer tissue, human colon tissue, rat colon tissue.
Molecular wt :
Predicted band size: 57 kDa
Subcellular location :
Cytoplasm, Nucleus.
Concentration :
1 mg/mL.
Recommended dilutions :
WB: 1:2,000
;IHC-P: 1:50
Advanced Validation :
Knockdown (KD)
Pic img4 :
https://storage.huabio.cn/huabio/productImg/HA722113_4.jpg
Pic legend4 :
Immunohistochemical analysis of paraffin-embedded human colon tissue with Rabbit anti-XIAP antibody (HA722113) at 1/50 dilution.
The section was pre-treated using heat mediated antigen retrieval with sodium citrate buffer (pH 6.0) (high pressure) for 2 minutes. The tissues were blocked in 1% BSA for 20 minutes at room temperature, washed with ddH2O and PBS, and then probed with the primary antibody (HA722113) at 1/50 dilution for 1 hour at room temperature. The detection was performed using an HRP conjugated compact polymer system. DAB was used as the chromogen. Tissues were counterstained with hematoxylin and mounted with DPX.
Pic img5 :
https://storage.huabio.cn/huabio/productImg/HA722113_5.jpg
Pic legend5 :
Immunohistochemical analysis of paraffin-embedded rat colon tissue with Rabbit anti-XIAP antibody (HA722113) at 1/50 dilution.
The section was pre-treated using heat mediated antigen retrieval with sodium citrate buffer (pH 6.0) (high pressure) for 2 minutes. The tissues were blocked in 1% BSA for 20 minutes at room temperature, washed with ddH2O and PBS, and then probed with the primary antibody (HA722113) at 1/50 dilution for 1 hour at room temperature. The detection was performed using an HRP conjugated compact polymer system. DAB was used as the chromogen. Tissues were counterstained with hematoxylin and mounted with DPX.
more info or order :
company information

HUABIO
Founded in 2007, HUABIO is dedicated to developing high-quality antibodies that advance innovation. We are passionate about the accuracy, efficiency, and consistency of our products. That is why we have invested in new production platforms, like recombinant rabbit monoclonals, alpaca nanobodies, and adopted aggressive QA standards to deliver cutting-edge antibodies with uncompromised quality.
We hope to see you at your next discovery!
We hope to see you at your next discovery!
related products
browse more products
questions and comments
