product summary
Loading...
company name :
HUABIO
product type :
antibody
product name :
Cathepsin L
catalog :
HA722064
quantity :
100μl
price :
385.00 USD
clonality :
monoclonal
host :
domestic rabbit
conjugate :
nonconjugated
clone name :
PSH03-92
reactivity :
human, mouse, rat
application :
western blot, immunohistochemistry - paraffin section
more info or order :
image
image 1 :

Western blot analysis of Cathepsin L on different lysates with Rabbit anti-Cathepsin L antibody (HA722064) at 1/5,000 dilution.
Lane 1: A549 cell lysate (15 µg/Lane)
Lane 2: HepG2 cell lysate (15 µg/Lane)
Lane 3: HEK-293 cell lysate (15 µg/Lane)
Lane 4: MDA-MB-231 cell lysate (15 µg/Lane)
Lane 5: Human kidney tissue lysate (30 µg/Lane)
Lane 6: Human liver tissue lysate (30 µg/Lane)
Lane 7: NIH/3T3 cell lysate (15 µg/Lane)
Lane 8: PC-12 cell lysate (15 µg/Lane)
Lane 9: Mouse kidney tissue lysate (30 µg/Lane)
Lane 10: Rat kidney tissue lysate (30 µg/Lane)
Lane 11: Mouse liver tissue lysate (30 µg/Lane)
Lane 12: Rat liver tissue lysate (30 µg/Lane)
Lane 13: COS-1 cell lysate (15 µg/Lane)
Predicted band size: 38 kDa
Observed band size: 20-45 kDa
Exposure time: 10 seconds;
4-20% SDS-PAGE gel.
Proteins were transferred to a PVDF membrane and blocked with 5% NFDM/TBST for 1 hour at room temperature. The primary antibody (HA722064) at 1/5,000 dilution was used in 5% NFDM/TBST at 4℃ overnight. Goat Anti-Rabbit IgG - HRP Secondary Antibody (HA1001) at 1/50,000 dilution was used for 1 hour at room temperature.
image 2 :

Immunohistochemical analysis of paraffin-embedded human kidney tissue with Rabbit anti-Cathepsin L antibody (HA722064) at 1/10,000 dilution.
The section was pre-treated using heat mediated antigen retrieval with sodium citrate buffer (pH 6.0) (high pressure) for 2 minutes. The tissues were blocked in 1% BSA for 20 minutes at room temperature, washed with ddH2O and PBS, and then probed with the primary antibody (HA722064) at 1/1,000 dilution for 1 hour at room temperature. The detection was performed using an HRP conjugated compact polymer system. DAB was used as the chromogen. Tissues were counterstained with hematoxylin and mounted with DPX.
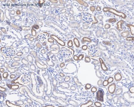
image 3 :

Immunohistochemical analysis of paraffin-embedded mouse kidney tissue with Rabbit anti-Cathepsin L antibody (HA722064) at 1/10,000 dilution.
The section was pre-treated using heat mediated antigen retrieval with sodium citrate buffer (pH 6.0) (high pressure) for 2 minutes. The tissues were blocked in 1% BSA for 20 minutes at room temperature, washed with ddH2O and PBS, and then probed with the primary antibody (HA722064) at 1/1,000 dilution for 1 hour at room temperature. The detection was performed using an HRP conjugated compact polymer system. DAB was used as the chromogen. Tissues were counterstained with hematoxylin and mounted with DPX.
product information
SKU :
HA722064
Target name :
Cathepsin L
Species reactivity :
Human,Mouse,Rat,Monkey
Applications :
WB,IHC-P
Conjugate :
Non-conjugated
Immunogen :
Recombinant protein within human Cathepsin L aa 84-333 / 333.
Uniprot id :
P07711>SwissProt: P07711 Human;SwissProt: P06797 Mouse;SwissProt: P07154 Rat
Host :
Rabbit
Clone number :
PSH03-92
Isotype :
IgG
Size :
100μl
List Price :
385.00 USD
Storage Buffer :
PBS (pH7.4), 0.1% BSA, 40% Glycerol. Preservative: 0.05% Sodium Azide.
Form :
Liquid
Storage Instruction :
Shipped at 4℃. Store at +4℃ short term (1-2 weeks). It is recommended to aliquot into single-use upon delivery. Store at -20℃ long term.
Purity :
Protein A affinity purified.
Product type :
Recombinant Rabbit monoclonal Antibody
Positive control :
A549 cell lysate, HepG2 cell lysate, HEK-293 cell lysate, MDA-MB-231 cell lysate, human kidney tissue lysate, human liver tissue lysate, NIH/3T3 cell lysate, PC-12 cell lysate, mouse kidney tissue lysate, rat kidney tissue lysate, mouse liver tissue lysate, rat liver tissue lysate, COS-1 cell lysate, human kidney tissue, mouse kidney tissue, rat kidney tissue.
Molecular wt :
Predicted band size: 38 kDa
Subcellular location :
Lysosome, Apical cell membrane, Cytoplasmic vesicle, secretory vesicle, chromaffin granule, Secreted, extracellular space.
Concentration :
1 mg/mL.
Recommended dilutions :
WB: 1:5,000
;IHC-P: 1:10,000
Advanced Validation :
Knockdown (KD)
Pic img4 :
https://storage.huabio.cn/huabio/productImg/HA722064_4.jpg
Pic legend4 :
Immunohistochemical analysis of paraffin-embedded rat kidney tissue with Rabbit anti-Cathepsin L antibody (HA722064) at 1/10,000 dilution.
The section was pre-treated using heat mediated antigen retrieval with sodium citrate buffer (pH 6.0) (high pressure) for 2 minutes. The tissues were blocked in 1% BSA for 20 minutes at room temperature, washed with ddH2O and PBS, and then probed with the primary antibody (HA722064) at 1/1,000 dilution for 1 hour at room temperature. The detection was performed using an HRP conjugated compact polymer system. DAB was used as the chromogen. Tissues were counterstained with hematoxylin and mounted with DPX.
Pic img5 :
https://storage.huabio.cn/huabio/productImg/HA722064_5.jpg
Pic legend5 :
Western blot analysis of Cathepsin L on different lysates with Rabbit anti-Cathepsin L antibody (HA722064) at 1/5,000 dilution.
Lane 1: HCT 116-si NT cell lysate (10 µg/Lane)
Lane 2: HCT 116-si Cathepsin L cell lysate (10 µg/Lane)
Predicted band size: 38 kDa
Observed band size: 20 kDa
Exposure time: 10 seconds; ECL: K1801;
4-20% SDS-PAGE gel.
Proteins were transferred to a PVDF membrane and blocked with 5% NFDM/TBST for 1 hour at room temperature. The primary antibody (HA722064) at 1/5,000 dilution was used in 5% NFDM/TBST at 4℃ overnight. Goat Anti-Rabbit IgG - HRP Secondary Antibody (HA1001) at 1/50,000 dilution was used for 1 hour at room temperature.
more info or order :
company information

HUABIO
Founded in 2007, HUABIO is dedicated to developing high-quality antibodies that advance innovation. We are passionate about the accuracy, efficiency, and consistency of our products. That is why we have invested in new production platforms, like recombinant rabbit monoclonals, alpaca nanobodies, and adopted aggressive QA standards to deliver cutting-edge antibodies with uncompromised quality.
We hope to see you at your next discovery!
We hope to see you at your next discovery!
related products
browse more products
questions and comments
