product summary
Loading...
company name :
HUABIO
product type :
antibody
product name :
Pan-Lactyl-lysine
catalog :
HA722037
quantity :
100μl
price :
385.00 USD
clonality :
monoclonal
host :
domestic rabbit
conjugate :
nonconjugated
clone name :
PSH03-73
application :
western blot, flow cytometry, immunohistochemistry - paraffin section, dot blot
more info or order :
image
image 1 :

Western blot analysis of Pan-Lactyl-lysine on different lysates with Rabbit anti-Pan-Lactyl-lysine antibody (HA722037) at 1/2,000 dilution.
Lane 1: HeLa cell lysate
Lane 2: HeLa treated with 100mM Lactate sodium for 24 hours cell lysate
Lysates/proteins at 20 µg/Lane.
Observed band size: Mutiple kDa
Exposure time: 59 seconds;
4-20% SDS-PAGE gel.
Proteins were transferred to a PVDF membrane and blocked with 5% NFDM/TBST for 1 hour at room temperature. The primary antibody (HA722037) at 1/2,000 dilution was used in 5% NFDM/TBST at 4℃ overnight. Goat Anti-Rabbit IgG - HRP Secondary Antibody (HA1001) at 1/50,000 dilution was used for 1 hour at room temperature.
image 2 :

Immunocytochemistry analysis of HeLa cells treated with or without 100mM Lactate sodium for 24 hours labeling Pan-Lactyl-lysine with Rabbit anti-Pan-Lactyl-lysine antibody (HA722037) at 1/1,000 dilution.
Cells were fixed in 4% paraformaldehyde for 20 minutes at room temperature, permeabilized with 0.1% Triton X-100 in PBS for 5 minutes at room temperature, then blocked with 1% BSA in 10% negative goat serum for 1 hour at room temperature. Cells were then incubated with Rabbit anti-Pan-Lactyl-lysine antibody (HA722037) at 1/1,000 dilution in 1% BSA in PBST overnight at 4 ℃. Goat Anti-Rabbit IgG H&L (iFluor™ 488, HA1121) was used as the secondary antibody at 1/1,000 dilution. PBS instead of the primary antibody was used as the secondary antibody only control. Nuclear DNA was labelled in blue with DAPI.
Beta tubulin (M1305-2, red) was stained at 1/100 dilution overnight at +4℃. Goat Anti-Mouse IgG H&L (iFluor™ 594, HA1126) was used as the secondary antibody at 1/1,000 dilution.
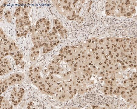
image 3 :

Immunohistochemical analysis of paraffin-embedded human breast cancer tissue with Rabbit anti-Pan-Lactyl-lysine antibody (HA722037) at 1/1,000 dilution.
The section was pre-treated using heat mediated antigen retrieval with sodium citrate buffer (pH 6.0) (high pressure) for 2 minutes. The tissues were blocked in 1% BSA for 20 minutes at room temperature, washed with ddH2O and PBS, and then probed with the primary antibody (HA722037) at 1/1,000 dilution for 1 hour at room temperature. The detection was performed using an HRP conjugated compact polymer system. DAB was used as the chromogen. Tissues were counterstained with hematoxylin and mounted with DPX.
product information
SKU :
HA722037
Target name :
Pan-Lactyl-lysine
Species reactivity :
Species independent
Applications :
WB,IHC-P,IF-Cell,FC,Dot Blot
Conjugate :
Non-conjugated
Immunogen :
Synthetic Lactyl lysine-containing peptide.
Uniprot id :
>
Host :
Rabbit
Clone number :
PSH03-73
Isotype :
IgG
Size :
100μl
List Price :
385.00 USD
Storage Buffer :
PBS (pH7.4), 0.1% BSA, 40% Glycerol. Preservative: 0.05% Sodium Azide.
Form :
Liquid
Storage Instruction :
Shipped at 4℃. Store at +4℃ short term (1-2 weeks). It is recommended to aliquot into single-use upon delivery. Store at -20℃ long term.
Purity :
Protein A affinity purified.
Product type :
Recombinant Rabbit monoclonal Antibody
Positive control :
HeLa treated with 100mM Lactate sodium for 24 hours cell lysate, human breast cancer tissue, human colon cancer tissue, mouse small intestine tissue, rat small intestine tissue, HeLa cells treated with 100mM Lactate sodium for 24 hours.
Concentration :
1 mg/mL.
Recommended dilutions :
WB: 1:2,000
;IHC-P: 1:500-1:1,000
;IF-Cell: 1:1,000
;FC: 1:1,000
;Dot Blot: 1:2,000
Advanced Validation :
Cell treatment (CT)
Pic img4 :
https://storage.huabio.cn/huabio/productImg/HA722037_4.jpg
Pic legend4 :
Immunohistochemical analysis of paraffin-embedded human colon cancer tissue with Rabbit anti-Pan-Lactyl-lysine antibody (HA722037) at 1/1,000 dilution.
The section was pre-treated using heat mediated antigen retrieval with sodium citrate buffer (pH 6.0) (high pressure) for 2 minutes. The tissues were blocked in 1% BSA for 20 minutes at room temperature, washed with ddH2O and PBS, and then probed with the primary antibody (HA722037) at 1/1,000 dilution for 1 hour at room temperature. The detection was performed using an HRP conjugated compact polymer system. DAB was used as the chromogen. Tissues were counterstained with hematoxylin and mounted with DPX.
Pic img5 :
https://storage.huabio.cn/huabio/productImg/HA722037_5.jpg
Pic legend5 :
Immunohistochemical analysis of paraffin-embedded mouse small intestine tissue with Rabbit anti-Pan-Lactyl-lysine antibody (HA722037) at 1/500 dilution.
The section was pre-treated using heat mediated antigen retrieval with sodium citrate buffer (pH 6.0) (high pressure) for 2 minutes. The tissues were blocked in 1% BSA for 20 minutes at room temperature, washed with ddH2O and PBS, and then probed with the primary antibody (HA722037) at 1/500 dilution for 1 hour at room temperature. The detection was performed using an HRP conjugated compact polymer system. DAB was used as the chromogen. Tissues were counterstained with hematoxylin and mounted with DPX.
Pic img6 :
https://storage.huabio.cn/huabio/productImg/HA722037_6.jpg
Pic legend6 :
Immunohistochemical analysis of paraffin-embedded rat small intestine tissue with Rabbit anti-Pan-Lactyl-lysine antibody (HA722037) at 1/500 dilution.
The section was pre-treated using heat mediated antigen retrieval with sodium citrate buffer (pH 6.0) (high pressure) for 2 minutes. The tissues were blocked in 1% BSA for 20 minutes at room temperature, washed with ddH2O and PBS, and then probed with the primary antibody (HA722037) at 1/500 dilution for 1 hour at room temperature. The detection was performed using an HRP conjugated compact polymer system. DAB was used as the chromogen. Tissues were counterstained with hematoxylin and mounted with DPX.
Pic img7 :
https://storage.huabio.cn/huabio/productImg/HA722037_7.jpg
Pic legend7 :
Flow cytometric analysis of HeLa cells treated with or without 100mM Lactate sodium for 24 hours labeling Pan-Lactyl-lysine.
Cells were fixed and permeabilized. Then stained with the primary antibody (HA722037, 1μg/mL) (red) compared with Rabbit IgG Isotype Control (green). After incubation of the primary antibody at +4℃ for an hour, the cells were stained with a iFluor™ 488 conjugate-Goat anti-Rabbit IgG Secondary antibody (HA1121) at 1/1,000 dilution for 30 minutes at +4℃. Unlabelled sample was used as a control (cells without incubation with primary antibody; black).
Pic img8 :
https://storage.huabio.cn/huabio/productImg/HA722037_8.jpg
Pic legend8 :
Dot blot analysis of Pan-Lactyl-lysine on different proteins with Rabbit anti-Pan-Lactyl-lysine antibody (HA722037) at 1/2,000 dilution. Goat Anti-Rabbit IgG - HRP Secondary Antibody (HA1001) at 1/50,000 dilution for 1 hour at room temperature.
Lane 1: Lac pepetide library (positive)
Lane 2: Ac peptide library (negative)
Lane 3: Non-lac peptide library (negative)
Proteins loading: 100ng, 20ng, 4ng;
Blocking and dilution buffer: 5% NFDM/TBST;
Exposure time: 20 seconds.
more info or order :
company information

HUABIO
Founded in 2007, HUABIO is dedicated to developing high-quality antibodies that advance innovation. We are passionate about the accuracy, efficiency, and consistency of our products. That is why we have invested in new production platforms, like recombinant rabbit monoclonals, alpaca nanobodies, and adopted aggressive QA standards to deliver cutting-edge antibodies with uncompromised quality.
We hope to see you at your next discovery!
We hope to see you at your next discovery!
browse more products
questions and comments
