product summary
Loading...
company name :
HUABIO
product type :
antibody
product name :
Leukotriene B4 Receptor
catalog :
HA721994
quantity :
100μl
price :
385.00 USD
clonality :
monoclonal
host :
domestic rabbit
conjugate :
nonconjugated
clone name :
JE58-77
reactivity :
human, mouse, rat
application :
western blot, immunohistochemistry - paraffin section
more info or order :
image
image 1 :

Western blot analysis of Leukotriene B4 Receptor on different lysates with Rabbit anti-Leukotriene B4 Receptor antibody (HA721994) at 1/1,000 dilution.
Lane 1: MCF7 cell lysate
Lane 2: MDA-MB-468 cell lysate (no heat)
Notice: no heat means the lysate is not boiled.
Lysates/proteins at 20 µg/Lane.
Predicted band size: 38 kDa
Observed band size: 38 kDa
Exposure time: 10 seconds; ECL: K1801;
4-20% SDS-PAGE gel.
Proteins were transferred to a PVDF membrane and blocked with 5% NFDM/TBST for 1 hour at room temperature. The primary antibody (HA721994) at 1/1,000 dilution was used in 5% NFDM/TBST at 4℃ overnight. Goat Anti-Rabbit IgG - HRP Secondary Antibody (HA1001) at 1/50,000 dilution was used for 1 hour at room temperature.
image 2 :

Western blot analysis of Leukotriene B4 Receptor on different lysates with Rabbit anti-Leukotriene B4 Receptor antibody (HA721994) at 1/1,000 dilution.
Lane 1: Mouse skin tissue lysate (hot lysis)
Lane 2: Mouse lung tissue lysate (no heat)
Lane 3: Rat lung tissue lysate (no heat)
Notice: no heat means the lysate is not boiled.
Lysates/proteins at 40 µg/Lane.
Predicted band size: 38 kDa
Observed band size: 38 kDa
Exposure time: 1 minute; ECL: K1802;
4-20% SDS-PAGE gel.
Proteins were transferred to a PVDF membrane and blocked with 5% NFDM/TBST for 1 hour at room temperature. The primary antibody (HA721994) at 1/1,000 dilution was used in 5% NFDM/TBST at 4℃ overnight. Goat Anti-Rabbit IgG - HRP Secondary Antibody (HA1001) at 1/50,000 dilution was used for 1 hour at room temperature.
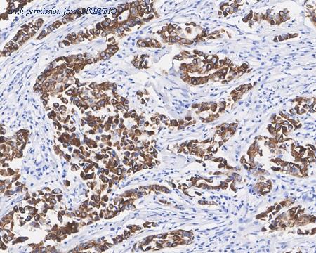
image 3 :

Immunohistochemical analysis of paraffin-embedded human breast cancer tissue with Rabbit anti-Leukotriene B4 Receptor antibody (HA721994) at 1/1,000 dilution.
The section was pre-treated using heat mediated antigen retrieval with Tris-EDTA buffer (pH 9.0) for 20 minutes. The tissues were blocked in 1% BSA for 20 minutes at room temperature, washed with ddH2O and PBS, and then probed with the primary antibody (HA721994) at 1/1,000 dilution for 1 hour at room temperature. The detection was performed using an HRP conjugated compact polymer system. DAB was used as the chromogen. Tissues were counterstained with hematoxylin and mounted with DPX.
product information
SKU :
HA721994
Target name :
Leukotriene B4 Receptor
Species reactivity :
Human,Mouse,Rat
Applications :
WB,IHC-P
Conjugate :
Non-conjugated
Immunogen :
Synthetic peptide within Human Leukotriene B4 Receptor aa 303-352 / 352.
Uniprot id :
Q15722>SwissProt: Q15722 Human;SwissProt: O88855 Mouse;SwissProt: Q9R0Q2 Rat
Host :
Rabbit
Clone number :
JE58-77
Isotype :
IgG
Size :
100μl
List Price :
385.00 USD
Storage Buffer :
1*TBS (pH7.4), 0.05% BSA, 40% Glycerol. Preservative: 0.05% Sodium Azide.
Form :
Liquid
Storage Instruction :
Shipped at 4℃. Store at +4℃ short term (1-2 weeks). It is recommended to aliquot into single-use upon delivery. Store at -20℃ long term.
Purity :
Protein A affinity purified.
Product type :
Recombinant Rabbit monoclonal Antibody
Positive control :
MCF7 cell lysate, MDA-MB-468 cell lysate, mouse skin tissue lysate, mouse lung tissue lysate, rat lung tissue lysate, human breast cancer tissue, human esophagus tissue.
Molecular wt :
Predicted band size: 38 kDa
Subcellular location :
Cell membrane
Concentration :
1 mg/mL.
Recommended dilutions :
WB: 1:1,000
;IHC-P: 1:200-1:1,000
Pic img4 :
https://storage.huabio.cn/huabio/productImg/HA721994_4.jpg
Pic legend4 :
Immunohistochemical analysis of paraffin-embedded human esophagus tissue with Rabbit anti-Leukotriene B4 Receptor antibody (HA721994) at 1/200 dilution.
The section was pre-treated using heat mediated antigen retrieval with Tris-EDTA buffer (pH 9.0) for 20 minutes. The tissues were blocked in 1% BSA for 20 minutes at room temperature, washed with ddH2O and PBS, and then probed with the primary antibody (HA721994) at 1/200 dilution for 1 hour at room temperature. The detection was performed using an HRP conjugated compact polymer system. DAB was used as the chromogen. Tissues were counterstained with hematoxylin and mounted with DPX.
more info or order :
company information

HUABIO
Founded in 2007, HUABIO is dedicated to developing high-quality antibodies that advance innovation. We are passionate about the accuracy, efficiency, and consistency of our products. That is why we have invested in new production platforms, like recombinant rabbit monoclonals, alpaca nanobodies, and adopted aggressive QA standards to deliver cutting-edge antibodies with uncompromised quality.
We hope to see you at your next discovery!
We hope to see you at your next discovery!
browse more products
questions and comments
