product summary
Loading...
company name :
HUABIO
product type :
antibody
product name :
KSR1
catalog :
HA721963
quantity :
100μl
price :
385.00 USD
clonality :
monoclonal
host :
domestic rabbit
conjugate :
nonconjugated
clone name :
JE57-75
reactivity :
human, mouse, rat
application :
western blot, flow cytometry, immunohistochemistry - paraffin section
more info or order :
image
image 1 :

Western blot analysis of KSR1 on different lysates with Rabbit anti-KSR1 antibody (HA721963) at 1/2,000 dilution.
Lane 1: HeLa cell lysate
Lane 2: HDLM-2 cell lysate
Lane 3: 293T cell lysate
Lane 4: NIH/3T3 cell lysate
Lane 5: COS-1 cell lysate
Lane 6: C2C12 cell lysate
Lane 7: C6 cell lysate
Lysates/proteins at 20 µg/Lane.
Predicted band size: 102 kDa
Observed band size: 120/100 kDa
Exposure time: 3 minutes; ECL: K1801;
4-20% SDS-PAGE gel.
Proteins were transferred to a PVDF membrane and blocked with 5% NFDM/TBST for 1 hour at room temperature. The primary antibody (HA721963) at 1/2,000 dilution was used in 5% NFDM/TBST at 4℃ overnight. Goat Anti-Rabbit IgG - HRP Secondary Antibody (HA1001) at 1/50,000 dilution was used for 1 hour at room temperature.
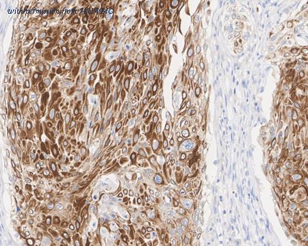
image 2 :

Immunohistochemical analysis of paraffin-embedded human cervical carcinoma tissue with Rabbit anti-KSR1 antibody (HA721963) at 1/200 dilution.
The section was pre-treated using heat mediated antigen retrieval with Tris-EDTA buffer (pH 9.0) for 20 minutes. The tissues were blocked in 1% BSA for 20 minutes at room temperature, washed with ddH2O and PBS, and then probed with the primary antibody (HA721963) at 1/200 dilution for 1 hour at room temperature. The detection was performed using an HRP conjugated compact polymer system. DAB was used as the chromogen. Tissues were counterstained with hematoxylin and mounted with DPX.
image 3 :

Flow cytometric analysis of C6 cells labeling KSR1.
Cells were fixed and permeabilized. Then stained with the primary antibody (HA721963, 1μg/mL) (red) compared with Rabbit IgG Isotype Control (green). After incubation of the primary antibody at +4℃ for an hour, the cells were stained with a iFluor™ 488 conjugate-Goat anti-Rabbit IgG Secondary antibody (HA1121) at 1/1,000 dilution for 30 minutes at +4℃. Unlabelled sample was used as a control (cells without incubation with primary antibody; black).
product information
SKU :
HA721963
Target name :
KSR1
Species reactivity :
Human,Mouse,Rat,Monkey
Applications :
WB,IHC-P,FC
Conjugate :
Non-conjugated
Immunogen :
Synthetic peptide within Human KSR1 aa 874-923 / 923.
Uniprot id :
Q8IVT5>SwissProt: Q8IVT5 Human;SwissProt: Q61097 Mouse;Entrez Gene: 360573 Rat
Host :
Rabbit
Clone number :
JE57-75
Isotype :
IgG
Size :
100μl
List Price :
385.00 USD
Storage Buffer :
1*TBS (pH7.4), 0.05% BSA, 40% Glycerol. Preservative: 0.05% Sodium Azide.
Form :
Liquid
Storage Instruction :
Shipped at 4℃. Store at +4℃ short term (1-2 weeks). It is recommended to aliquot into single-use upon delivery. Store at -20℃ long term.
Purity :
Protein A affinity purified.
Product type :
Recombinant Rabbit monoclonal Antibody
Positive control :
HeLa cell lysate, HDLM-2 cell lysate, 293T cell lysate, NIH/3T3 cell lysate, COS-1 cell lysate, C2C12 cell lysate, C6 cell lysate, human cervical carcinoma tissue, C6.
Molecular wt :
Predicted band size: 102 kDa
Subcellular location :
Cytoplasm, Membrane, Cell membrane, Cell projection, ruffle membrane, Endoplasmic reticulum membrane.
Concentration :
1 mg/mL.
Recommended dilutions :
WB: 1:2,000
;IHC-P: 1:200
;FC: 1:1,000
more info or order :
company information

HUABIO
Founded in 2007, HUABIO is dedicated to developing high-quality antibodies that advance innovation. We are passionate about the accuracy, efficiency, and consistency of our products. That is why we have invested in new production platforms, like recombinant rabbit monoclonals, alpaca nanobodies, and adopted aggressive QA standards to deliver cutting-edge antibodies with uncompromised quality.
We hope to see you at your next discovery!
We hope to see you at your next discovery!
browse more products
questions and comments
