product summary
Loading...
company name :
HUABIO
product type :
antibody
product name :
TFE3
catalog :
HA721896
quantity :
100μl
price :
385.00 USD
clonality :
monoclonal
host :
domestic rabbit
conjugate :
nonconjugated
clone name :
JE60-60
reactivity :
human, mouse, rat
application :
western blot, flow cytometry, immunohistochemistry - paraffin section
more info or order :
image
image 1 :

Western blot analysis of TFE3 on different lysates with Rabbit anti-TFE3 antibody (HA721896) at 1/1,000 dilution.
Lane 1: U-2 OS cell lysate (20 µg/Lane)
Lane 2: 293T cell lysate (20 µg/Lane)
Lane 3: C2C12 cell lysate (20 µg/Lane)
Lane 4: Mouse testis tissue lysate (40 µg/Lane)
Lane 5: A-172 cell lysate (30 µg/Lane)
Lane 6: NIH/3T3 cell lysate (30 µg/Lane)
Lane 7: C6 cell lysate (30 µg/Lane)
Lane 8: PC-12 cell lysate (30 µg/Lane)
Predicted band size: 61 kDa
Observed band size: 70/80 kDa
Exposure time: 3 minutes;
4-20% SDS-PAGE gel.
Proteins were transferred to a PVDF membrane and blocked with 5% NFDM/TBST for 1 hour at room temperature. The primary antibody (HA721896) at 1/1,000 dilution was used in 5% NFDM/TBST at 4℃ overnight. Goat Anti-Rabbit IgG - HRP Secondary Antibody (HA1001) at 1/50,000 dilution was used for 1 hour at room temperature.
image 2 :

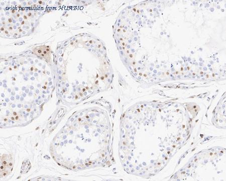
Immunohistochemical analysis of paraffin-embedded human testis tissue with Rabbit anti-TFE3 antibody (HA721896) at 1/800 dilution.
The section was pre-treated using heat mediated antigen retrieval with sodium citrate buffer (pH 6.0) (high pressure) for 2 minutes. The tissues were blocked in 1% BSA for 20 minutes at room temperature, washed with ddH2O and PBS, and then probed with the primary antibody (HA721896) at 1/800 dilution for 1 hour at room temperature. The detection was performed using an HRP conjugated compact polymer system. DAB was used as the chromogen. Tissues were counterstained with hematoxylin and mounted with DPX.
image 3 :

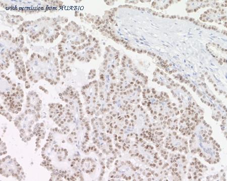
Immunohistochemical analysis of paraffin-embedded human thyroid carcinoma tissue with Rabbit anti-TFE3 antibody (HA721896) at 1/800 dilution.
The section was pre-treated using heat mediated antigen retrieval with sodium citrate buffer (pH 6.0) (high pressure) for 2 minutes. The tissues were blocked in 1% BSA for 20 minutes at room temperature, washed with ddH2O and PBS, and then probed with the primary antibody (HA721896) at 1/800 dilution for 1 hour at room temperature. The detection was performed using an HRP conjugated compact polymer system. DAB was used as the chromogen. Tissues were counterstained with hematoxylin and mounted with DPX.
product information
SKU :
HA721896
Target name :
TFE3
Species reactivity :
Human,Mouse,Rat
Applications :
WB,IHC-P,FC
Conjugate :
Non-conjugated
Immunogen :
Recombinant protein within Human TFE3 aa 150-499 / 575.
Uniprot id :
P19532>SwissProt: P19532 Human;SwissProt: Q64092 Mouse;Entrez Gene: 317376 Rat
Host :
Rabbit
Clone number :
JE60-60
Isotype :
IgG
Size :
100μl
List Price :
385.00 USD
Storage Buffer :
1*TBS (pH7.4), 0.05% BSA, 40% Glycerol. Preservative: 0.05% Sodium Azide.
Form :
Liquid
Storage Instruction :
Shipped at 4℃. Store at +4℃ short term (1-2 weeks). It is recommended to aliquot into single-use upon delivery. Store at -20℃ long term.
Purity :
Protein A affinity purified.
Product type :
Recombinant Rabbit monoclonal Antibody
Positive control :
U-2 OS cell lysate, 293T cell lysate, C2C12 cell lysate, mouse testis tissue lysate, A-172 cell lysate, NIH/3T3 cell lysate, C6 cell lysate, PC-12 cell lysate, human testis tissue, human thyroid carcinoma tissue, rat testis tissue, U-2 OS.
Molecular wt :
Predicted band size: 61 kDa
Subcellular location :
Cytoplasm, Nucleus.
Concentration :
1 mg/ml
Recommended dilutions :
WB: 1:1,000
;IHC-P: 1:800
;FC: 1:1,000
Pic img4 :
https://storage.huabio.cn/huabio/productImg/HA721896_4.jpg
Pic legend4 :
Immunohistochemical analysis of paraffin-embedded rat testis tissue with Rabbit anti-TFE3 antibody (HA721896) at 1/800 dilution.
The section was pre-treated using heat mediated antigen retrieval with sodium citrate buffer (pH 6.0) (high pressure) for 2 minutes. The tissues were blocked in 1% BSA for 20 minutes at room temperature, washed with ddH2O and PBS, and then probed with the primary antibody (HA721896) at 1/800 dilution for 1 hour at room temperature. The detection was performed using an HRP conjugated compact polymer system. DAB was used as the chromogen. Tissues were counterstained with hematoxylin and mounted with DPX.
Pic img5 :
https://storage.huabio.cn/huabio/productImg/HA721896_5.jpg
Pic legend5 :
Flow cytometric analysis of U-2 OS cells labeling TFE3.
Cells were fixed and permeabilized. Then stained with the primary antibody (HA721896, 1μg/mL) (red) compared with Rabbit IgG Isotype Control (green). After incubation of the primary antibody at +4℃ for an hour, the cells were stained with a iFluor™ 488 conjugate-Goat anti-Rabbit IgG Secondary antibody (HA1121) at 1/1,000 dilution for 30 minutes at +4℃. Unlabelled sample was used as a control (cells without incubation with primary antibody; black).
more info or order :
company information

HUABIO
Founded in 2007, HUABIO is dedicated to developing high-quality antibodies that advance innovation. We are passionate about the accuracy, efficiency, and consistency of our products. That is why we have invested in new production platforms, like recombinant rabbit monoclonals, alpaca nanobodies, and adopted aggressive QA standards to deliver cutting-edge antibodies with uncompromised quality.
We hope to see you at your next discovery!
We hope to see you at your next discovery!
browse more products
questions and comments
