product summary
Loading...
company name :
HUABIO
product type :
antibody
product name :
Cyclophilin 40
catalog :
HA721849
quantity :
100μl
price :
385.00 USD
clonality :
monoclonal
host :
domestic rabbit
conjugate :
nonconjugated
clone name :
PSH02-71
reactivity :
human
application :
western blot, flow cytometry, immunohistochemistry - paraffin section
more info or order :
image
image 1 :

Western blot analysis of Cyclophilin 40 on different lysates with Rabbit anti-Cyclophilin 40 antibody (HA721849) at 1/1,000 dilution.
Lane 1: HeLa cell lysate
Lane 2: 293T cell lysate
Lane 3: K-562 cell lysate
Lane 4: HepG2 cell lysate
Lane 5: MCF7 cell lysate
Lane 6: Jurkat cell lysate
Lane 7: COS-1 cell lysate
Lane 8: Human liver tissue lysate
Lysates/proteins at 30 µg/Lane.
Predicted band size: 41 kDa
Observed band size: 41 kDa
Exposure time: 1 minutes 2 seconds;
4-20% SDS-PAGE gel.
Proteins were transferred to a PVDF membrane and blocked with 5% NFDM/TBST for 1 hour at room temperature. The primary antibody (HA721849) at 1/1,000 dilution was used in 5% NFDM/TBST at 4℃ overnight. Goat Anti-Rabbit IgG - HRP Secondary Antibody (HA1001) at 1/50,000 dilution was used for 1 hour at room temperature.
image 2 :

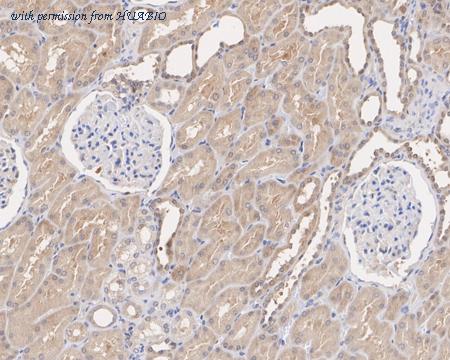
Immunohistochemical analysis of paraffin-embedded human kidney tissue with Rabbit anti-Cyclophilin 40 antibody (HA721849) at 1/2,000 dilution.
The section was pre-treated using heat mediated antigen retrieval with Tris-EDTA buffer (pH 9.0) for 20 minutes. The tissues were blocked in 1% BSA for 20 minutes at room temperature, washed with ddH2O and PBS, and then probed with the primary antibody (HA721849) at 1/2,000 dilution for 1 hour at room temperature. The detection was performed using an HRP conjugated compact polymer system. DAB was used as the chromogen. Tissues were counterstained with hematoxylin and mounted with DPX.
image 3 :

Immunocytochemistry analysis of 293T cells labeling Cyclophilin 40 with Rabbit anti-Cyclophilin 40 antibody (HA721849) at 1/100 dilution.
Cells were fixed in 100% precooled methanol for 5 minutes at room temperature, then blocked with 1% BSA in 10% negative goat serum for 1 hour at room temperature. Cells were then incubated with Rabbit anti-Cyclophilin 40 antibody (HA721849) at 1/100 dilution in 1% BSA in PBST overnight at 4 ℃. Goat Anti-Rabbit IgG H&L (iFluor™ 488, HA1121) was used as the secondary antibody at 1/1,000 dilution. PBS instead of the primary antibody was used as the secondary antibody only control. Nuclear DNA was labelled in blue with DAPI.
Beta tubulin (M1305-2, red) was stained at 1/100 dilution overnight at +4℃. Goat Anti-Mouse IgG H&L (iFluor™ 594, HA1126) was used as the secondary antibody at 1/1,000 dilution.
product information
SKU :
HA721849
Target name :
Cyclophilin 40
Species reactivity :
Human,Monkey
Applications :
WB,IHC-P,FC,IF-Cell
Conjugate :
Non-conjugated
Immunogen :
Recombinant protein within human Cyclophilin 40 aa 151-370 / 370.
Uniprot id :
Q08752>SwissProt: Q08752 Human
Host :
Rabbit
Clone number :
PSH02-71
Isotype :
IgG
Size :
100μl
List Price :
385.00 USD
Storage Buffer :
1*TBS (pH7.4), 0.1% BSA, 40% Glycerol. Preservative: 0.05% Sodium Azide.
Form :
Liquid
Storage Instruction :
Shipped at 4℃. Store at +4℃ short term (1-2 weeks). It is recommended to aliquot into single-use upon delivery. Store at -20℃ long term.
Purity :
Protein A affinity purified.
Product type :
Recombinant Rabbit monoclonal Antibody
Positive control :
HeLa cell lysate, 293T cell lysate, K-562 cell lysate, HepG2 cell lysate, MCF7 cell lysate, Jurkat cell lysate, COS-1 cell lysate, human liver tissue lysate, human kidney tissue, 293T.
Molecular wt :
Predicted band size: 41 kDa
Subcellular location :
Cytoplasm, Nucleus, nucleolus, nucleoplasm.
Concentration :
1 mg/mL.
Recommended dilutions :
WB:1:1,000
;IHC-P:1:2,000
;FC:1:1,000
;IF-Cell:1:100
Pic img4 :
https://storage.huabio.cn/huabio/productImg/HA721849_4.jpg
Pic legend4 :
Flow cytometric analysis of 293T cells labeling Cyclophilin 40.
Cells were fixed and permeabilized. Then stained with the primary antibody (HA721849, 1:100) (red) compared with Rabbit IgG Isotype Control (green). After incubation of the primary antibody at +4℃ for an hour, the cells were stained with a iFluor™ 488 conjugate-Goat anti-Rabbit IgG Secondary antibody (HA1121) at 1/1,000 dilution for 30 minutes at +4℃. Unlabelled sample was used as a control (cells without incubation with primary antibody; black).
more info or order :
company information

HUABIO
Founded in 2007, HUABIO is dedicated to developing high-quality antibodies that advance innovation. We are passionate about the accuracy, efficiency, and consistency of our products. That is why we have invested in new production platforms, like recombinant rabbit monoclonals, alpaca nanobodies, and adopted aggressive QA standards to deliver cutting-edge antibodies with uncompromised quality.
We hope to see you at your next discovery!
We hope to see you at your next discovery!
related products
browse more products
questions and comments
