product summary
Loading...
company name :
HUABIO
product type :
antibody
product name :
MTH1
catalog :
HA721817
quantity :
100μl
price :
385.00 USD
clonality :
monoclonal
host :
domestic rabbit
conjugate :
nonconjugated
clone name :
PSH02-40
reactivity :
human, mouse, rat
application :
western blot, flow cytometry, immunohistochemistry - paraffin section
more info or order :
image
image 1 :

Western blot analysis of MTH1 on different lysates with Rabbit anti-MTH1 antibody (HA721817) at 1/1,000 dilution and competitor's antibody at 1/1,000 dilution.
Lane 1: HEK-293 cell lysate
Lane 2: HeLa cell lysate
Lane 3: Jurkat cell lysate
Lane 4: HepG2 cell lysate
Lane 5: K-562 cell lysate
Lane 6: A549 cell lysate
Lane 7: MCF7 cell lysate
Lane 8: SW480 cell lysate
Lane 9: THP-1 cell lysate
Lane 10: SK-OV-3 cell lysate
Lane 11: U-2 OS cell lysate
Lysates/proteins at 20 µg/Lane.
Predicted band size: 18 kDa
Observed band size: 18 kDa
Exposure time: 5 minutes; ECL: K1802;
4-20% SDS-PAGE gel.
Proteins were transferred to a PVDF membrane and blocked with 5% NFDM/TBST for 1 hour at room temperature. The primary antibody (HA721817) at 1/1,000 dilution and competitor's antibody at 1/1,000 dilution were used in 5% NFDM/TBST at 4℃ overnight. Goat Anti-Rabbit IgG - HRP Secondary Antibody (HA1001) at 1/50,000 dilution was used for 1 hour at room temperature.
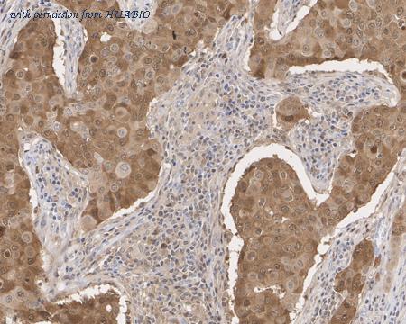
image 2 :

Immunohistochemical analysis of paraffin-embedded human breast cancer tissue with Rabbit anti-MTH1 antibody (HA721817) at 1/1,000 dilution.
The section was pre-treated using heat mediated antigen retrieval with Tris-EDTA buffer (pH 9.0) for 20 minutes. The tissues were blocked in 1% BSA for 20 minutes at room temperature, washed with ddH2O and PBS, and then probed with the primary antibody (HA721817) at 1/1,000 dilution for 1 hour at room temperature. The detection was performed using an HRP conjugated compact polymer system. DAB was used as the chromogen. Tissues were counterstained with hematoxylin and mounted with DPX.
image 3 :

Western blot analysis of MTH1 on different lysates with Rabbit anti-MTH1 antibody (HA721817) at 1/1,000 dilution.
Lane 1: HEK-293 cell lysate
Lane 2: NIH/3T3 cell lysate
Lane 3: C2C12 cell lysate
Lane 4: bEnd.3 cell lysate
Lane 5: RAW264.7 cell lysate
Lane 6: F9 cell lysate
Lane 7: Neuro-2a cell lysate
Lane 8: C6 cell lysate
Lane 9: L6 cell lysate
Lane 10: PC-12 cell lysate
Lane 11: Mouse thymus tissue lysate
Lane 12: Rat thymus tissue lysate
Lane 13: Mouse testis tissue lysate
Lane 14: Rat testis tissue lysate
Lysates/proteins at 20 µg/Lane.
Predicted band size: 18 kDa
Observed band size: 18 kDa
Exposure time: 5 minutes; ECL: K1802;
4-20% SDS-PAGE gel.
Proteins were transferred to a PVDF membrane and blocked with 5% NFDM/TBST for 1 hour at room temperature. The primary antibody (HA721817) at 1/1,000 dilution was used in 5% NFDM/TBST at 4℃ overnight. Goat Anti-Rabbit IgG - HRP Secondary Antibody (HA1001) at 1/50,000 dilution was used for 1 hour at room temperature.
product information
SKU :
HA721817
Target name :
MTH1
Species reactivity :
Human,Mouse,Rat
Applications :
WB,IHC-P,FC
Conjugate :
Non-conjugated
Immunogen :
Recombinant protein within human MTH1 aa 1-156 / 156 (P36639).
Uniprot id :
P36639>SwissProt: P36639 Human;SwissProt: P53368 Mouse;SwissProt: P53369 Rat
Host :
Rabbit
Clone number :
PSH02-40
Isotype :
IgG
Size :
100μl
List Price :
385.00 USD
Storage Buffer :
PBS (pH7.4), 0.1% BSA, 40% Glycerol. Preservative: 0.05% Sodium Azide.
Form :
Liquid
Storage Instruction :
Shipped at 4℃. Store at +4℃ short term (1-2 weeks). It is recommended to aliquot into single-use upon delivery. Store at -20℃ long term.
Purity :
Protein A affinity purified.
Product type :
Recombinant Rabbit monoclonal Antibody
Positive control :
HEK-293 cell lysate, HeLa cell lysate, Jurkat cell lysate, HepG2 cell lysate, K-562 cell lysate, A549 cell lysate, MCF7 cell lysate, SW480 cell lysate, THP-1 cell lysate, SK-OV-3 cell lysate, U-2 OS cell lysate, human breast cancer tissue, NIH/3T3 cell lysate, C2C12 cell lysate, bEnd.3 cell lysate, RAW264.7 cell lysate, F9 cell lysate, Neuro-2a cell lysate, C6 cell lysate, L6 cell lysate, PC-12 cell lysate, mouse thymus tissue lysate, rat thymus tissue lysate, mouse testis tissue lysate, rat testis tissue lysate, human stomach cancer tissue, human thymus tissue, rat thymus tissue, Jurkat.
Molecular wt :
Predicted band size: 18 kDa
Subcellular location :
Cytoplasm, cytosol,Mitochondrion matrix,Nucleus,Mitochondrion matrix
Concentration :
1 mg/mL.
Recommended dilutions :
WB: 1:1,000
;IHC-P: 1:200~1:1,000
;FC: 1:1,000
Advanced Validation :
Knockdown (KD)
Pic img4 :
https://storage.huabio.cn/huabio/productImg/HA721817_4.jpg
Pic legend4 :
Immunohistochemical analysis of paraffin-embedded human stomach cancer tissue with Rabbit anti-MTH1 antibody (HA721817) at 1/200 dilution.
The section was pre-treated using heat mediated antigen retrieval with Tris-EDTA buffer (pH 9.0) for 20 minutes. The tissues were blocked in 1% BSA for 20 minutes at room temperature, washed with ddH2O and PBS, and then probed with the primary antibody (HA721817) at 1/200 dilution for 1 hour at room temperature. The detection was performed using an HRP conjugated compact polymer system. DAB was used as the chromogen. Tissues were counterstained with hematoxylin and mounted with DPX.
Pic img5 :
https://storage.huabio.cn/huabio/productImg/HA721817_5.jpg
Pic legend5 :
Immunohistochemical analysis of paraffin-embedded human thymus tissue with Rabbit anti-MTH1 antibody (HA721817) at 1/1,000 dilution.
The section was pre-treated using heat mediated antigen retrieval with Tris-EDTA buffer (pH 9.0) for 20 minutes. The tissues were blocked in 1% BSA for 20 minutes at room temperature, washed with ddH2O and PBS, and then probed with the primary antibody (HA721817) at 1/1,000 dilution for 1 hour at room temperature. The detection was performed using an HRP conjugated compact polymer system. DAB was used as the chromogen. Tissues were counterstained with hematoxylin and mounted with DPX.
Pic img6 :
https://storage.huabio.cn/huabio/productImg/HA721817_6.jpg
Pic legend6 :
Immunohistochemical analysis of paraffin-embedded rat thymus tissue with Rabbit anti-MTH1 antibody (HA721817) at 1/200 dilution.
The section was pre-treated using heat mediated antigen retrieval with Tris-EDTA buffer (pH 9.0) for 20 minutes. The tissues were blocked in 1% BSA for 20 minutes at room temperature, washed with ddH2O and PBS, and then probed with the primary antibody (HA721817) at 1/200 dilution for 1 hour at room temperature. The detection was performed using an HRP conjugated compact polymer system. DAB was used as the chromogen. Tissues were counterstained with hematoxylin and mounted with DPX.
Pic img7 :
https://storage.huabio.cn/huabio/productImg/HA721817_7.jpg
Pic legend7 :
Western blot analysis of MTH1 on different lysates with Rabbit anti-MTH1 antibody (HA721817) at 1/1,000 dilution.
Lane 1: HEK-293-si NT cell lysate
Lane 2: HEK-293-si MTH1 cell lysate
Lysates/proteins at 10 µg/Lane.
Predicted band size: 18 kDa
Observed band size: 18 kDa
Exposure time: 1 minute 34 seconds; ECL: K1801;
4-20% SDS-PAGE gel.
Proteins were transferred to a PVDF membrane and blocked with 5% NFDM/TBST for 1 hour at room temperature. The primary antibody (HA721817) at 1/1,000 dilution was used in 5% NFDM/TBST at 4℃ overnight. Goat Anti-Rabbit IgG - HRP Secondary Antibody (HA1001) at 1/50,000 dilution was used for 1 hour at room temperature.
Pic img8 :
https://storage.huabio.cn/huabio/productImg/HA721817_8.jpg
Pic legend8 :
Flow cytometric analysis of Jurkat cells labeling MTH1.
Cells were fixed and permeabilized. Then stained with the primary antibody (HA721817,1:1,000) (red) compared with Rabbit IgG Isotype Control (green). After incubation of the primary antibody at +4℃ for an hour, the cells were stained with a iFluor™ 488 conjugate-Goat anti-Rabbit IgG Secondary antibody (HA1121) at 1/1,000 dilution for 30 minutes at +4℃. Unlabelled sample was used as a control (cells without incubation with primary antibody; black).
more info or order :
company information

HUABIO
Founded in 2007, HUABIO is dedicated to developing high-quality antibodies that advance innovation. We are passionate about the accuracy, efficiency, and consistency of our products. That is why we have invested in new production platforms, like recombinant rabbit monoclonals, alpaca nanobodies, and adopted aggressive QA standards to deliver cutting-edge antibodies with uncompromised quality.
We hope to see you at your next discovery!
We hope to see you at your next discovery!
related products
browse more products
questions and comments
