product summary
Loading...
company name :
HUABIO
product type :
antibody
product name :
KDM3A / JHDM2A
catalog :
HA721729
quantity :
100μl
price :
385.00 USD
clonality :
monoclonal
host :
domestic rabbit
conjugate :
nonconjugated
clone name :
PSH01-77
reactivity :
human, mouse
application :
western blot, immunohistochemistry
more info or order :
image
image 1 :

Western blot analysis of KDM3A / JHDM2A on different lysates with Rabbit anti-KDM3A / JHDM2A antibody (HA721729) at 1/1,000 dilution.
Lane 1: HCT116 cell lysate
Lane 2: Hela cell lysate
Lane 3: MCF7 cell lysate
Lane 4: Ramos cell lysate
Lane 5: Jurkat cell lysate
Lane 6: NIH/3T3 cell lysate
Lysates/proteins at 30 µg/Lane.
Predicted band size: 147 kDa
Observed band size: 150 kDa
Exposure time: 2 minutes 50 seconds;
4-20% SDS-PAGE gel.
Proteins were transferred to a PVDF membrane and blocked with 5% NFDM/TBST for 1 hour at room temperature. The primary antibody (HA721729) at 1/1,000 dilution was used in 5% NFDM/TBST at 4℃ overnight. Goat Anti-Rabbit IgG - HRP Secondary Antibody (HA1001) at 1/50,000 dilution was used for 1 hour at room temperature.
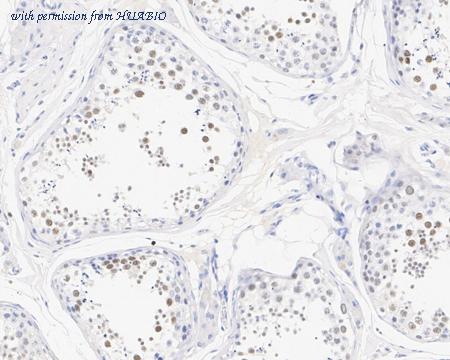
image 2 :

Immunohistochemical analysis of paraffin-embedded human testis tissue with Rabbit anti-KDM3A / JHDM2A antibody (HA721729) at 1/200 dilution.
The section was pre-treated using heat mediated antigen retrieval with sodium citrate buffer (pH 6.0) (high pressure) for 2 minutes. The tissues were blocked in 1% BSA for 20 minutes at room temperature, washed with ddH2O and PBS, and then probed with the primary antibody (HA721729) at 1/200 dilution for 1 hour at room temperature. The detection was performed using an HRP conjugated compact polymer system. DAB was used as the chromogen. Tissues were counterstained with hematoxylin and mounted with DPX.
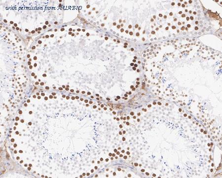
image 3 :

Immunohistochemical analysis of paraffin-embedded mouse testis tissue with Rabbit anti-KDM3A / JHDM2A antibody (HA721729) at 1/1,000 dilution.
The section was pre-treated using heat mediated antigen retrieval with sodium citrate buffer (pH 6.0) (high pressure) for 2 minutes. The tissues were blocked in 1% BSA for 20 minutes at room temperature, washed with ddH2O and PBS, and then probed with the primary antibody (HA721729) at 1/1,000 dilution for 1 hour at room temperature. The detection was performed using an HRP conjugated compact polymer system. DAB was used as the chromogen. Tissues were counterstained with hematoxylin and mounted with DPX.
product information
SKU :
HA721729
Target name :
KDM3A / JHDM2A
Species reactivity :
Human,Mouse
Applications :
WB,IHC
Conjugate :
Non-conjugated
Immunogen :
Recombinant protein within human KDM3A aa 1-400 / 1,321.
Uniprot id :
Q9Y4C1>SwissProt: Q9Y4C1 Human;SwissProt: Q6PCM1 Mouse
Host :
Rabbit
Clone number :
PSH01-77
Isotype :
IgG
Size :
100μl
List Price :
385.00 USD
Storage Buffer :
PBS (pH7.4), 0.1% BSA, 40% Glycerol. Preservative: 0.05% Sodium Azide.
Form :
Liquid
Storage Instruction :
Shipped at 4℃. Store at +4℃ short term (1-2 weeks). It is recommended to aliquot into single-use upon delivery. Store at -20℃ long term.
Purity :
Protein A affinity purified.
Product type :
Recombinant Rabbit monoclonal Antibody
Positive control :
HCT116 cell lysate, Hela cell lysate, MCF7 cell lysate, Ramos cell lysate, Jurkat cell lysate, NIH/3T3 cell lysate, human testis tissue, mouse testis tissue.
Molecular wt :
Predicted band size: 147 kDa
Subcellular location :
Cytoplasm, Nucleus
Concentration :
1 mg/mL.
Recommended dilutions :
WB: 1:1,000
;IHC: 1:200-1:1,000
more info or order :
company information

HUABIO
Founded in 2007, HUABIO is dedicated to developing high-quality antibodies that advance innovation. We are passionate about the accuracy, efficiency, and consistency of our products. That is why we have invested in new production platforms, like recombinant rabbit monoclonals, alpaca nanobodies, and adopted aggressive QA standards to deliver cutting-edge antibodies with uncompromised quality.
We hope to see you at your next discovery!
We hope to see you at your next discovery!
related products
browse more products
questions and comments
