product summary
Loading...
company name :
HUABIO
product type :
antibody
product name :
Cullin 3
catalog :
HA721711
quantity :
100μl
price :
385.00 USD
clonality :
monoclonal
host :
domestic rabbit
conjugate :
nonconjugated
clone name :
JE37-29
reactivity :
human, mouse, rat
application :
western blot, immunohistochemistry - paraffin section
more info or order :
image
image 1 :

Western blot analysis of Cullin 3 on different lysates with Rabbit anti-Cullin 3 antibody (HA721711) at 1/1,000 dilution.
Lane 1: SW480 cell lysate
Lane 2: SW620 cell lysate
Lane 3: HT-29 cell lysate
Lane 4: Mouse testis tissue lysate
Lane 5: Rat testis tissue lysate
Lane 6: Mouse brain tissue lysate
Lane 7: Rat brain tissue lysate
Lysates/proteins at 20 µg/Lane.
Predicted band size: 89 kDa
Observed band size: 75 kDa
Exposure time: 5 minutes;
4-20% SDS-PAGE gel.
Proteins were transferred to a PVDF membrane and blocked with 5% NFDM/TBST for 1 hour at room temperature. The primary antibody (HA721711) at 1/1,000 dilution was used in 5% NFDM/TBST at 4℃ overnight. Goat Anti-Rabbit IgG - HRP Secondary Antibody (HA1001) at 1/50,000 dilution was used for 1 hour at room temperature.
image 2 :

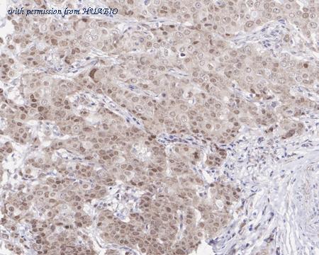
Immunohistochemical analysis of paraffin-embedded human breast carcinoma tissue with Rabbit anti-Cullin 3 antibody (HA721711) at 1/1,000 dilution.
The section was pre-treated using heat mediated antigen retrieval with sodium citrate buffer (pH 6.0) (high pressure) for 2 minutes. The tissues were blocked in 1% BSA for 20 minutes at room temperature, washed with ddH2O and PBS, and then probed with the primary antibody (HA721711) at 1/1,000 dilution for 1 hour at room temperature. The detection was performed using an HRP conjugated compact polymer system. DAB was used as the chromogen. Tissues were counterstained with hematoxylin and mounted with DPX.
image 3 :

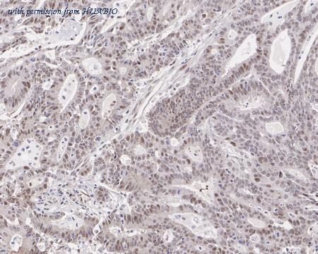
Immunohistochemical analysis of paraffin-embedded human colon carcinoma tissue with Rabbit anti-Cullin 3 antibody (HA721711) at 1/200 dilution.
The section was pre-treated using heat mediated antigen retrieval with sodium citrate buffer (pH 6.0) (high pressure) for 2 minutes. The tissues were blocked in 1% BSA for 20 minutes at room temperature, washed with ddH2O and PBS, and then probed with the primary antibody (HA721711) at 1/200 dilution for 1 hour at room temperature. The detection was performed using an HRP conjugated compact polymer system. DAB was used as the chromogen. Tissues were counterstained with hematoxylin and mounted with DPX.
product information
SKU :
HA721711
Target name :
Cullin 3
Species reactivity :
Human,Mouse,Rat
Applications :
WB,IHC-P
Conjugate :
Non-conjugated
Immunogen :
Synthetic peptide within Human Cullin 3 aa 719-768 / 768.
Uniprot id :
Q13618>SwissProt: Q13618 Human;SwissProt: Q9JLV5 Mouse;SwissProt: B5DF89 Rat
Host :
Rabbit
Clone number :
JE37-29
Isotype :
IgG
Size :
100μl
List Price :
385.00 USD
Storage Buffer :
1*TBS (pH7.4), 0.05% BSA, 40% Glycerol. Preservative: 0.05% Sodium Azide.
Form :
Liquid
Storage Instruction :
Shipped at 4℃. Store at +4℃ short term (1-2 weeks). It is recommended to aliquot into single-use upon delivery. Store at -20℃ long term.
Purity :
Protein A affinity purified.
Product type :
Recombinant Rabbit monoclonal Antibody
Positive control :
SW480 cell lysate, SW620 cell lysate, HT-29 cell lysate, mouse testis tissue lysate, rat testis tissue lysate, mouse brain tissue lysate, rat brain tissue lysate, human breast carcinoma tissue, human colon carcinoma tissue, human testis tissue.
Molecular wt :
Predicted band size: 89 kDa
Subcellular location :
Nucleus, Golgi apparatus, Cell projection, cilium, flagellum, Cytoplasm, cytoskeleton, spindle, cytoskeleton, microtubule organizing center, centrosome, cytoskeleton, spindle pole.
Concentration :
1 mg/mL.
Recommended dilutions :
WB: 1:1,000
;IHC-P: 1:200-1:1,000
Pic img4 :
https://storage.huabio.cn/huabio/productImg/HA721711_4.jpg
Pic legend4 :
Immunohistochemical analysis of paraffin-embedded human testis tissue with Rabbit anti-Cullin 3 antibody (HA721711) at 1/1,000 dilution.
The section was pre-treated using heat mediated antigen retrieval with sodium citrate buffer (pH 6.0) (high pressure) for 2 minutes. The tissues were blocked in 1% BSA for 20 minutes at room temperature, washed with ddH2O and PBS, and then probed with the primary antibody (HA721711) at 1/1,000 dilution for 1 hour at room temperature. The detection was performed using an HRP conjugated compact polymer system. DAB was used as the chromogen. Tissues were counterstained with hematoxylin and mounted with DPX.
more info or order :
company information

HUABIO
Founded in 2007, HUABIO is dedicated to developing high-quality antibodies that advance innovation. We are passionate about the accuracy, efficiency, and consistency of our products. That is why we have invested in new production platforms, like recombinant rabbit monoclonals, alpaca nanobodies, and adopted aggressive QA standards to deliver cutting-edge antibodies with uncompromised quality.
We hope to see you at your next discovery!
We hope to see you at your next discovery!
browse more products
questions and comments
