product summary
Loading...
company name :
HUABIO
product type :
antibody
product name :
KPNB1
catalog :
HA721703
quantity :
100μl
price :
385.00 USD
clonality :
monoclonal
host :
domestic rabbit
conjugate :
nonconjugated
clone name :
PSH01-60
reactivity :
human, mouse, rat
application :
western blot, immunoprecipitation, immunohistochemistry - paraffin section
more info or order :
image
image 1 :

Western blot analysis of KPNB1 on different lysates with Rabbit anti-KPNB1 antibody (HA721703) at 1/1,000 dilution.
Lane 1: HeLa cell lysate (20 µg/Lane)
Lane 2: HepG2 cell lysate (20 µg/Lane)
Lane 3: A431 cell lysate (20 µg/Lane)
Lane 4: A549 cell lysate (20 µg/Lane)
Lane 5: Jurkat cell lysate (20 µg/Lane)
Lane 6: K-562 cell lysate (20 µg/Lane)
Lane 7: Caco-2 cell lysate (20 µg/Lane)
Lane 8: NIH/3T3 cell lysate (20 µg/Lane)
Lane 9: PC-12 cell lysate (20 µg/Lane)
Lane 10: C6 cell lysate (20 µg/Lane)
Lane 11: Mouse spleen tissue lysate (40 µg/Lane)
Lane 12: Mouse testis tissue lysate (40 µg/Lane)
Lane 13: Rat spleen tissue lysate (40 µg/Lane)
Lane 14: Rat testis tissue lysate (40 µg/Lane)
Predicted band size: 97 kDa
Observed band size: 97 kDa
Exposure time: 1 minute;
4-20% SDS-PAGE gel.
Proteins were transferred to a PVDF membrane and blocked with 5% NFDM/TBST for 1 hour at room temperature. The primary antibody (HA721703) at 1/1,000 dilution was used in 5% NFDM/TBST at room temperature for 2 hours. Goat Anti-Rabbit IgG - HRP Secondary Antibody (HA1001) at 1/100,000 dilution was used for 1 hour at room temperature.
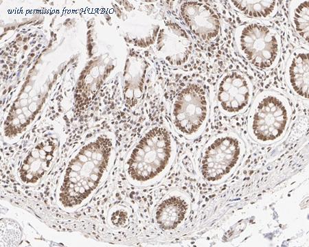
image 2 :

Immunohistochemical analysis of paraffin-embedded human colon tissue with Rabbit anti-KPNB1 antibody (HA721703) at 1/1,000 dilution.
The section was pre-treated using heat mediated antigen retrieval with sodium citrate buffer (pH 6.0) (high pressure) for 2 minutes. The tissues were blocked in 1% BSA for 20 minutes at room temperature, washed with ddH2O and PBS, and then probed with the primary antibody (HA721703) at 1/1,000 dilution for 1 hour at room temperature. The detection was performed using an HRP conjugated compact polymer system. DAB was used as the chromogen. Tissues were counterstained with hematoxylin and mounted with DPX.
image 3 :

Immunohistochemical analysis of paraffin-embedded human kidney tissue with Rabbit anti-KPNB1 antibody (HA721703) at 1/1,000 dilution.
The section was pre-treated using heat mediated antigen retrieval with sodium citrate buffer (pH 6.0) (high pressure) for 2 minutes. The tissues were blocked in 1% BSA for 20 minutes at room temperature, washed with ddH2O and PBS, and then probed with the primary antibody (HA721703) at 1/1,000 dilution for 1 hour at room temperature. The detection was performed using an HRP conjugated compact polymer system. DAB was used as the chromogen. Tissues were counterstained with hematoxylin and mounted with DPX.
product information
SKU :
HA721703
Target name :
KPNB1
Species reactivity :
Human,Mouse,Rat
Applications :
WB,IHC-P,IF-Tissue,IP
Conjugate :
Non-conjugated
Immunogen :
Recombinant protein within human KPNB1 aa 1-550.
Uniprot id :
Q14974>SwissProt: Q14974 Human;SwissProt: P70168 Mouse;SwissProt: P52296 Rat
Host :
Rabbit
Clone number :
PSH01-60
Isotype :
IgG
Size :
100μl
List Price :
385.00 USD
Storage Buffer :
PBS (pH7.4), 0.1% BSA, 40% Glycerol. Preservative: 0.05% Sodium Azide.
Form :
Liquid
Storage Instruction :
Shipped at 4℃. Store at +4℃ short term (1-2 weeks). It is recommended to aliquot into single-use upon delivery. Store at -20℃ long term.
Purity :
Protein A affinity purified.
Product type :
Recombinant Rabbit monoclonal Antibody
Positive control :
HeLa cell lysate, HepG2 cell lysate, A431 cell lysate, A549 cell lysate, Jurkat cell lysate, K-562 cell lysate, Caco-2 cell lysate, NIH/3T3 cell lysate, PC-12 cell lysate, C6 cell lysate, mouse spleen tissue lysate, mouse testis tissue lysate, rat spleen tissue lysate, rat testis tissue lysate, human colon tissue, human kidney tissue, human testis tissue, rat kidney tissue.
Molecular wt :
Predicted band size: 97.2 kDa
Subcellular location :
Cytoplasm. Nucleus envelope.
Concentration :
1 mg/ml
Recommended dilutions :
WB: 1:1,000
;IHC-P: 1:1,000
;IF-Tissue: 1:200
;IP: 1-2μg/sample
Pic img4 :
https://storage.huabio.cn/huabio/productImg/HA721703_4.jpg
Pic legend4 :
Immunohistochemical analysis of paraffin-embedded human testis tissue with Rabbit anti-KPNB1 antibody (HA721703) at 1/1,000 dilution.
The section was pre-treated using heat mediated antigen retrieval with sodium citrate buffer (pH 6.0) (high pressure) for 2 minutes. The tissues were blocked in 1% BSA for 20 minutes at room temperature, washed with ddH2O and PBS, and then probed with the primary antibody (HA721703) at 1/1,000 dilution for 1 hour at room temperature. The detection was performed using an HRP conjugated compact polymer system. DAB was used as the chromogen. Tissues were counterstained with hematoxylin and mounted with DPX.
Pic img5 :
https://storage.huabio.cn/huabio/productImg/HA721703_5.jpg
Pic legend5 :
Immunohistochemical analysis of paraffin-embedded rat kidney tissue with Rabbit anti-KPNB1 antibody (HA721703) at 1/1,000 dilution.
The section was pre-treated using heat mediated antigen retrieval with sodium citrate buffer (pH 6.0) (high pressure) for 2 minutes. The tissues were blocked in 1% BSA for 20 minutes at room temperature, washed with ddH2O and PBS, and then probed with the primary antibody (HA721703) at 1/1,000 dilution for 1 hour at room temperature. The detection was performed using an HRP conjugated compact polymer system. DAB was used as the chromogen. Tissues were counterstained with hematoxylin and mounted with DPX.
Pic img6 :
https://storage.huabio.cn/huabio/productImg/HA721703_6.jpg
Pic legend6 :
Immunofluorescence analysis of paraffin-embedded human testis tissue labeling KPNB1 with Rabbit anti-KPNB1 antibody (HA721703) at 1/200 dilution.
The section was pre-treated using heat mediated antigen retrieval with Tris-EDTA buffer (pH 9.0) for 20 minutes. The tissues were blocked in 10% negative goat serum for 1 hour at room temperature, washed with PBS, and then probed with the primary antibody (HA721703, green) at 1/200 dilution overnight at 4 ℃, washed with PBS. Goat Anti-Rabbit IgG H&L (iFluor™ 488, HA1121) was used as the secondary antibody at 1/1,000 dilution. Nuclei were counterstained with DAPI (blue).
Pic img7 :
https://storage.huabio.cn/huabio/productImg/HA721703_7.jpg
Pic legend7 :
KPNB1 was immunoprecipitated in 0.2mg HeLa cell lysate with HA721703 at 2 µg/10 µl beads. Western blot was performed from the immunoprecipitate using HA721703 at 1/1,000 dilution. Anti-Rabbit IgG for IP Nano-secondary antibody (NBI01H) at 1/5,000 dilution was used for 1 hour at room temperature.
Lane 1: HeLa cell lysate (input)
Lane 2: Rabbit IgG instead of HA721703 in HeLa cell lysate
Lane 3: HA721703 IP in HeLa cell lysate
Blocking/Dilution buffer: 5% NFDM/TBST
Exposure time: 24 seconds
more info or order :
company information

HUABIO
Founded in 2007, HUABIO is dedicated to developing high-quality antibodies that advance innovation. We are passionate about the accuracy, efficiency, and consistency of our products. That is why we have invested in new production platforms, like recombinant rabbit monoclonals, alpaca nanobodies, and adopted aggressive QA standards to deliver cutting-edge antibodies with uncompromised quality.
We hope to see you at your next discovery!
We hope to see you at your next discovery!
related products
browse more products
questions and comments
