product summary
Loading...
company name :
HUABIO
product type :
antibody
product name :
HADHA
catalog :
HA721652
quantity :
100μl
price :
385.00 USD
clonality :
monoclonal
host :
domestic rabbit
conjugate :
nonconjugated
clone name :
PSH01-28
reactivity :
human, mouse, rat
application :
western blot, immunohistochemistry - paraffin section
more info or order :
image
image 1 :

Western blot analysis of HADHA on different lysates with Rabbit anti-HADHA antibody (HA721652) at 1/1,000 dilution.
Lane 1: 293T cell lysate
Lane 2: HeLa cell lysate
Lane 3: HepG2 cell lysate
Lane 4: Jurkat cell lysate
Lane 5: SH-SY5Y cell lysate
Lane 6: COS-1 cell lysate
Lane 7: Mouse heart tissue lysate
Lane 8: Mouse kidney tissue lysate
Lane 9: Human kidney tissue lysate
Lane 10: Rat liver tissue lysate
Lysates/proteins at 30 µg/Lane.
Predicted band size: 83 kDa
Observed band size: 74 kDa
Exposure time: 1 minute 40 seconds;
4-20% SDS-PAGE gel.
Proteins were transferred to a PVDF membrane and blocked with 5% NFDM/TBST for 1 hour at room temperature. The primary antibody (HA721652) at 1/1,000 dilution was used in 5% NFDM/TBST at room temperature for 2 hours. Goat Anti-Rabbit IgG - HRP Secondary Antibody (HA1001) at 1:100,000 dilution was used for 1 hour at room temperature.
image 2 :

Immunocytochemistry analysis of HeLa cells labeling HADHA with Rabbit anti-HADHA antibody (HA721652) at 1/100 dilution.
Cells were fixed in 4% paraformaldehyde for 20 minutes at room temperature, permeabilized with 0.1% Triton X-100 in PBS for 5 minutes at room temperature, then blocked with 1% BSA in 10% negative goat serum for 1 hour at room temperature. Cells were then incubated with Rabbit anti-HADHA antibody (HA721652) at 1/100 dilution in 1% BSA in PBST overnight at 4 ℃. Goat Anti-Rabbit IgG H&L (iFluor™ 488, HA1121) was used as the secondary antibody at 1/1,000 dilution. PBS instead of the primary antibody was used as the secondary antibody only control. Nuclear DNA was labelled in blue with DAPI.
Beta tubulin (M1305-2, red) was stained at 1/100 dilution overnight at +4℃. Goat Anti-Mouse IgG H&L (iFluor™ 594, HA1126) was used as the secondary antibody at 1/1,000 dilution.
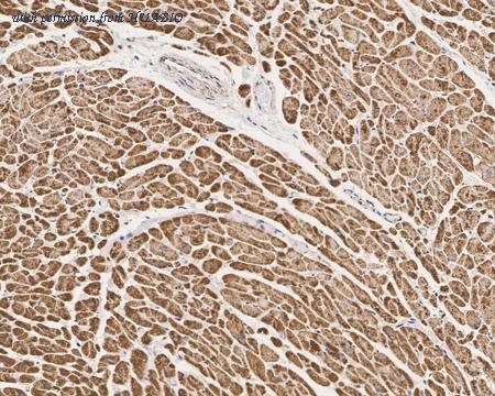
image 3 :

Immunohistochemical analysis of paraffin-embedded human heart tissue with Rabbit anti-HADHA antibody (HA721652) at 1/1,000 dilution.
The section was pre-treated using heat mediated antigen retrieval with Tris-EDTA buffer (pH 9.0) for 20 minutes. The tissues were blocked in 1% BSA for 20 minutes at room temperature, washed with ddH2O and PBS, and then probed with the primary antibody (HA721652) at 1/1,000 dilution for 1 hour at room temperature. The detection was performed using an HRP conjugated compact polymer system. DAB was used as the chromogen. Tissues were counterstained with hematoxylin and mounted with DPX.
product information
SKU :
HA721652
Target name :
HADHA
Species reactivity :
Human,Mouse,Rat,Monkey
Applications :
WB,IHC-P,IF-Cell
Conjugate :
Non-conjugated
Immunogen :
Recombinant protein within human HADHA aa 1-763 / 763.
Uniprot id :
P40939>SwissProt: P40939 Human;SwissProt: Q8BMS1 Mouse;SwissProt: Q64428 Rat
Host :
Rabbit
Clone number :
PSH01-28
Isotype :
IgG
Size :
100μl
List Price :
385.00 USD
Storage Buffer :
PBS (pH7.4), 0.1% BSA, 40% Glycerol. Preservative: 0.05% Sodium Azide.
Form :
Liquid
Storage Instruction :
Shipped at 4℃. Store at +4℃ short term (1-2 weeks). It is recommended to aliquot into single-use upon delivery. Store at -20℃ long term.
Purity :
Protein A affinity purified.
Product type :
Recombinant Rabbit monoclonal Antibody
Positive control :
293T cell lysate, HeLa cell lysate, HepG2 cell lysate, Jurkat cell lysate, SH-SY5Y cell lysate, COS-1 cell lysate, mouse heart tissue lysate, mouse kidney tissue lysate, human kidney tissue lysate, rat liver tissue lysate, HeLa, human heart tissue, human kidney tissue, mouse heart tissue, mouse kidney tissue, rat heart tissue.
Molecular wt :
Predicted band size: 83 kDa
Subcellular location :
Mitochondrion, Mitochondrion inner membrane.
Concentration :
1 mg/mL.
Recommended dilutions :
WB: 1:1,000
;IHC-P: 1:1,000
;IF-Cell: 1:100
Pic img4 :
https://storage.huabio.cn/huabio/productImg/HA721652_4.jpg
Pic legend4 :
Immunohistochemical analysis of paraffin-embedded human kidney tissue with Rabbit anti-HADHA antibody (HA721652) at 1/1,000 dilution.
The section was pre-treated using heat mediated antigen retrieval with Tris-EDTA buffer (pH 9.0) for 20 minutes. The tissues were blocked in 1% BSA for 20 minutes at room temperature, washed with ddH2O and PBS, and then probed with the primary antibody (HA721652) at 1/1,000 dilution for 1 hour at room temperature. The detection was performed using an HRP conjugated compact polymer system. DAB was used as the chromogen. Tissues were counterstained with hematoxylin and mounted with DPX.
Pic img5 :
https://storage.huabio.cn/huabio/productImg/HA721652_5.jpg
Pic legend5 :
Immunohistochemical analysis of paraffin-embedded mouse heart tissue with Rabbit anti-HADHA antibody (HA721652) at 1/1,000 dilution.
The section was pre-treated using heat mediated antigen retrieval with Tris-EDTA buffer (pH 9.0) for 20 minutes. The tissues were blocked in 1% BSA for 20 minutes at room temperature, washed with ddH2O and PBS, and then probed with the primary antibody (HA721652) at 1/1,000 dilution for 1 hour at room temperature. The detection was performed using an HRP conjugated compact polymer system. DAB was used as the chromogen. Tissues were counterstained with hematoxylin and mounted with DPX.
Pic img6 :
https://storage.huabio.cn/huabio/productImg/HA721652_6.jpg
Pic legend6 :
Immunohistochemical analysis of paraffin-embedded mouse kidney tissue with Rabbit anti-HADHA antibody (HA721652) at 1/1,000 dilution.
The section was pre-treated using heat mediated antigen retrieval with Tris-EDTA buffer (pH 9.0) for 20 minutes. The tissues were blocked in 1% BSA for 20 minutes at room temperature, washed with ddH2O and PBS, and then probed with the primary antibody (HA721652) at 1/1,000 dilution for 1 hour at room temperature. The detection was performed using an HRP conjugated compact polymer system. DAB was used as the chromogen. Tissues were counterstained with hematoxylin and mounted with DPX.
Pic img7 :
https://storage.huabio.cn/huabio/productImg/HA721652_7.jpg
Pic legend7 :
Immunohistochemical analysis of paraffin-embedded rat heart tissue with Rabbit anti-HADHA antibody (HA721652) at 1/1,000 dilution.
The section was pre-treated using heat mediated antigen retrieval with Tris-EDTA buffer (pH 9.0) for 20 minutes. The tissues were blocked in 1% BSA for 20 minutes at room temperature, washed with ddH2O and PBS, and then probed with the primary antibody (HA721652) at 1/1,000 dilution for 1 hour at room temperature. The detection was performed using an HRP conjugated compact polymer system. DAB was used as the chromogen. Tissues were counterstained with hematoxylin and mounted with DPX.
more info or order :
company information

HUABIO
Founded in 2007, HUABIO is dedicated to developing high-quality antibodies that advance innovation. We are passionate about the accuracy, efficiency, and consistency of our products. That is why we have invested in new production platforms, like recombinant rabbit monoclonals, alpaca nanobodies, and adopted aggressive QA standards to deliver cutting-edge antibodies with uncompromised quality.
We hope to see you at your next discovery!
We hope to see you at your next discovery!
related products
browse more products
questions and comments
