product summary
Loading...
company name :
HUABIO
product type :
antibody
product name :
TopBP1
catalog :
HA721626
quantity :
100μl
price :
385.00 USD
clonality :
monoclonal
host :
domestic rabbit
conjugate :
nonconjugated
clone name :
PSH01-14
reactivity :
human
application :
western blot, immunohistochemistry - paraffin section
more info or order :
image
image 1 :

Western blot analysis of TopBP1 on different lysates with Rabbit anti-TopBP1 antibody (HA721626) at 1/1,000 dilution.
Lane 1: HeLa cell lysate
Lane 2: HEK-293 cell lysate
Lane 3: HCT 116 cell lysate
Lane 4: Jurkat cell lysate
Lane 5: K-562 cell lysate
Lane 6: HUVEC cell lysate
Lysates/proteins at 20 µg/Lane.
Predicted band size: 171 kDa
Observed band size: 171 kDa
Exposure time: 3 minutes 10 seconds;
4-20% SDS-PAGE gel.
Proteins were transferred to a PVDF membrane and blocked with 5% NFDM/TBST for 1 hour at room temperature. The primary antibody (HA721626) at 1/1,000 dilution was used in 5% NFDM/TBST at room temperature for 2 hours. Goat Anti-Rabbit IgG - HRP Secondary Antibody (HA1001) at 1:100,000 dilution was used for 1 hour at room temperature.
image 2 :

Western blot analysis of TopBP1 on different lysates with Rabbit anti-TopBP1 antibody (HA721626) at 1/2,000 dilution.
Lane 1: HEK-293-si NT cell lysate
Lane 2: HEK-293-si TopBP1 cell lysate
Lysates/proteins at 10 µg/Lane.
Predicted band size: 171 kDa
Observed band size: 171 kDa
Exposure time: 58 seconds;
4-20% SDS-PAGE gel.
Proteins were transferred to a PVDF membrane and blocked with 5% NFDM/TBST for 1 hour at room temperature. The primary antibody (HA721626) at 1/2,000 dilution was used in 5% NFDM/TBST at 4℃ overnight. Goat Anti-Rabbit IgG - HRP Secondary Antibody (HA1001) at 1/100,000 dilution was used for 1 hour at room temperature.
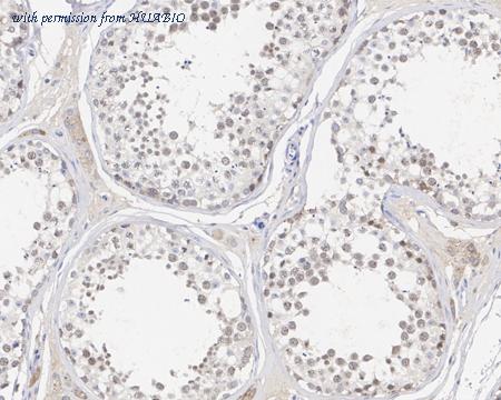
image 3 :

Immunohistochemical analysis of paraffin-embedded human testis tissue with Rabbit anti-TopBP1 antibody (HA721626) at 1/200 dilution.
The section was pre-treated using heat mediated antigen retrieval with sodium citrate buffer (pH 6.0) (high pressure) for 2 minutes. The tissues were blocked in 1% BSA for 20 minutes at room temperature, washed with ddH2O and PBS, and then probed with the primary antibody (HA721626) at 1/200 dilution for 1 hour at room temperature. The detection was performed using an HRP conjugated compact polymer system. DAB was used as the chromogen. Tissues were counterstained with hematoxylin and mounted with DPX.
product information
SKU :
HA721626
Target name :
TopBP1
Species reactivity :
Human
Applications :
WB,IHC-P
Conjugate :
Non-conjugated
Immunogen :
Recombinant protein within human TopBP1 aa 1,201-1,522 / 1,522.
Uniprot id :
Q92547>SwissProt: Q92547 Human
Host :
Rabbit
Clone number :
PSH01-14
Isotype :
IgG
Size :
100μl
List Price :
385.00 USD
Storage Buffer :
PBS (pH7.4), 0.1% BSA, 40% Glycerol. Preservative: 0.05% Sodium Azide.
Form :
Liquid
Storage Instruction :
Shipped at 4℃. Store at +4℃ short term (1-2 weeks). It is recommended to aliquot into single-use upon delivery. Store at -20℃ long term.
Purity :
Protein A affinity purified.
Product type :
Recombinant Rabbit monoclonal Antibody
Positive control :
HeLa cell lysate, HEK-293 cell lysate, HCT 116 cell lysate, Jurkat cell lysate, K-562 cell lysate, HUVEC cell lysate, human testis tissue.
Molecular wt :
Predicted band size: 171 kDa
Subcellular location :
Nucleus, Cytoplasm, cytoskeleton, microtubule organizing center, centrosome, spindle pole, Chromosome.
Concentration :
1 mg/mL.
Recommended dilutions :
WB: 1:1,000-1:2,000
;IHC-P: 1:200
Advanced Validation :
Knockdown (KD)
more info or order :
company information

HUABIO
Founded in 2007, HUABIO is dedicated to developing high-quality antibodies that advance innovation. We are passionate about the accuracy, efficiency, and consistency of our products. That is why we have invested in new production platforms, like recombinant rabbit monoclonals, alpaca nanobodies, and adopted aggressive QA standards to deliver cutting-edge antibodies with uncompromised quality.
We hope to see you at your next discovery!
We hope to see you at your next discovery!
related products
browse more products
questions and comments
