product summary
Loading...
company name :
HUABIO
product type :
antibody
product name :
ALDH1A2
catalog :
HA721592
quantity :
100μl
price :
385.00 USD
clonality :
monoclonal
host :
domestic rabbit
conjugate :
nonconjugated
clone name :
JE41-38
reactivity :
human, mouse, rat
application :
western blot, immunohistochemistry - paraffin section
more info or order :
image
image 1 :

Western blot analysis of ALDH1A2 on different lysates with Rabbit anti-ALDH1A2 antibody (HA721592) at 1/1,000 dilution.
Lane 1: K-562 cell lysate (20 µg/Lane)
Lane 2: Mouse testis tissue lysate (40 µg/Lane)
Predicted band size: 57 kDa
Observed band size: 53 kDa
Exposure time: 3 minutes;
4-20% SDS-PAGE gel.
Proteins were transferred to a PVDF membrane and blocked with 5% NFDM/TBST for 1 hour at room temperature. The primary antibody (HA721592) at 1/1,000 dilution was used in 5% NFDM/TBST at room temperature for 2 hours. Goat Anti-Rabbit IgG - HRP Secondary Antibody (HA1001) at 1:100,000 dilution was used for 1 hour at room temperature.
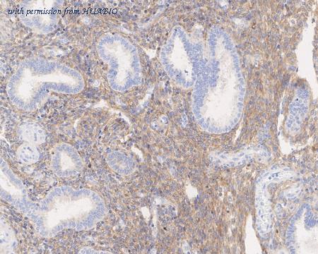
image 2 :

Immunohistochemical analysis of paraffin-embedded human endometrium tissue with Rabbit anti-ALDH1A2 antibody (HA721592) at 1/1,000 dilution.
The section was pre-treated using heat mediated antigen retrieval with Tris-EDTA buffer (pH 9.0) for 20 minutes. The tissues were blocked in 1% BSA for 20 minutes at room temperature, washed with ddH2O and PBS, and then probed with the primary antibody (HA721592) at 1/1,000 dilution for 1 hour at room temperature. The detection was performed using an HRP conjugated compact polymer system. DAB was used as the chromogen. Tissues were counterstained with hematoxylin and mounted with DPX.
image 3 :

Immunohistochemical analysis of paraffin-embedded human testis tissue with Rabbit anti-ALDH1A2 antibody (HA721592) at 1/200 dilution.
The section was pre-treated using heat mediated antigen retrieval with Tris-EDTA buffer (pH 9.0) for 20 minutes. The tissues were blocked in 1% BSA for 20 minutes at room temperature, washed with ddH2O and PBS, and then probed with the primary antibody (HA721592) at 1/200 dilution for 1 hour at room temperature. The detection was performed using an HRP conjugated compact polymer system. DAB was used as the chromogen. Tissues were counterstained with hematoxylin and mounted with DPX.
product information
SKU :
HA721592
Target name :
ALDH1A2
Species reactivity :
Human,Mouse,Rat
Applications :
WB,IHC-P,IF-Tissue
Conjugate :
Non-conjugated
Immunogen :
Synthetic peptide within Human ALDH1A2 aa 1-50 / 518.
Uniprot id :
O94788>SwissProt: O94788 Human;SwissProt: Q62148 Mouse;SwissProt: Q63639 Rat
Host :
Rabbit
Clone number :
JE41-38
Isotype :
IgG
Size :
100μl
List Price :
385.00 USD
Storage Buffer :
1*TBS (pH7.4), 0.05% BSA, 40% Glycerol. Preservative: 0.05% Sodium Azide.
Form :
Liquid
Storage Instruction :
Shipped at 4℃. Store at +4℃ short term (1-2 weeks). It is recommended to aliquot into single-use upon delivery. Store at -20℃ long term.
Purity :
Protein A affinity purified.
Product type :
Recombinant Rabbit monoclonal Antibody
Positive control :
K-562 cell lysate, mouse testis tissue lysate, human endometrium tissue, human testis tissue, mouse testis tissue, rat testis tissue.
Molecular wt :
Predicted band size: 57 kDa
Subcellular location :
Cytoplasm
Concentration :
1 mg/mL.
Recommended dilutions :
WB: 1:1,000
;IHC-P: 1:200-1:1,000
;IF-Tissue: 1:200
Pic img4 :
https://storage.huabio.cn/huabio/productImg/HA721592_4.jpg
Pic legend4 :
Immunohistochemical analysis of paraffin-embedded mouse testis tissue with Rabbit anti-ALDH1A2 antibody (HA721592) at 1/1,000 dilution.
The section was pre-treated using heat mediated antigen retrieval with Tris-EDTA buffer (pH 9.0) for 20 minutes. The tissues were blocked in 1% BSA for 20 minutes at room temperature, washed with ddH2O and PBS, and then probed with the primary antibody (HA721592) at 1/1,000 dilution for 1 hour at room temperature. The detection was performed using an HRP conjugated compact polymer system. DAB was used as the chromogen. Tissues were counterstained with hematoxylin and mounted with DPX.
Pic img5 :
https://storage.huabio.cn/huabio/productImg/HA721592_5.jpg
Pic legend5 :
Immunohistochemical analysis of paraffin-embedded rat testis tissue with Rabbit anti-ALDH1A2 antibody (HA721592) at 1/1,000 dilution.
The section was pre-treated using heat mediated antigen retrieval with Tris-EDTA buffer (pH 9.0) for 20 minutes. The tissues were blocked in 1% BSA for 20 minutes at room temperature, washed with ddH2O and PBS, and then probed with the primary antibody (HA721592) at 1/1,000 dilution for 1 hour at room temperature. The detection was performed using an HRP conjugated compact polymer system. DAB was used as the chromogen. Tissues were counterstained with hematoxylin and mounted with DPX.
Pic img6 :
https://storage.huabio.cn/huabio/productImg/HA721592_6.jpg
Pic legend6 :
Immunofluorescence analysis of paraffin-embedded mouse testis tissue labeling ALDH1A2 with Rabbit anti-ALDH1A2 antibody (HA721592) at 1/200 dilution.
The section was pre-treated using heat mediated antigen retrieval with Tris-EDTA buffer (pH 9.0) for 20 minutes. The tissues were blocked in 10% negative goat serum for 1 hour at room temperature, washed with PBS, and then probed with the primary antibody (HA721592, green) at 1/200 dilution overnight at 4 ℃, washed with PBS. Goat Anti-Rabbit IgG H&L (iFluor™ 488, HA1121) was used as the secondary antibody at 1/1,000 dilution. Nuclei were counterstained with DAPI (blue).
more info or order :
company information

HUABIO
Founded in 2007, HUABIO is dedicated to developing high-quality antibodies that advance innovation. We are passionate about the accuracy, efficiency, and consistency of our products. That is why we have invested in new production platforms, like recombinant rabbit monoclonals, alpaca nanobodies, and adopted aggressive QA standards to deliver cutting-edge antibodies with uncompromised quality.
We hope to see you at your next discovery!
We hope to see you at your next discovery!
browse more products
questions and comments
