product summary
Loading...
company name :
HUABIO
product type :
antibody
product name :
REA
catalog :
HA721588
quantity :
100μl
price :
385.00 USD
clonality :
monoclonal
host :
domestic rabbit
conjugate :
nonconjugated
clone name :
JE35-46
reactivity :
human, mouse, rat
application :
western blot, flow cytometry, immunohistochemistry - paraffin section
more info or order :
image
image 1 :

Western blot analysis of REA on different lysates with Rabbit anti-REA antibody (HA721588) at 1/1,000 dilution.
Lane 1: Huh7 cell lysate (15 µg/Lane)
Lane 2: HeLa cell lysate (15 µg/Lane)
Lane 3: HepG2 cell lysate (15 µg/Lane)
Lane 4: PANC-1 cell lysate (15 µg/Lane)
Lane 5: RAW264.7 cell lysate (15 µg/Lane)
Lane 6: NIH/3T3 cell lysate (15 µg/Lane)
Lane 7: PC-12 cell lysate (15 µg/Lane)
Lane 8: Mouse liver tissue lysate (30 µg/Lane)
Lane 9: Rat liver tissue lysate (30 µg/Lane)
Lane 10: Mouse heart tissue lysate (30 µg/Lane)
Lane 11: Rat heart tissue lysate (30 µg/Lane)
Lane 12: Mouse testis tissue lysate (30 µg/Lane)
Lane 13: Rat testis tissue lysate (30 µg/Lane)
Predicted band size: 33 kDa
Observed band size: 33 kDa
Exposure time: 3 minutes;
4-20% SDS-PAGE gel.
Proteins were transferred to a PVDF membrane and blocked with 5% NFDM/TBST for 1 hour at room temperature. The primary antibody (HA721588) at 1/1,000 dilution was used in 5% NFDM/TBST at room temperature for 2 hours. Goat Anti-Rabbit IgG - HRP Secondary Antibody (HA1001) at 1:100,000 dilution was used for 1 hour at room temperature.
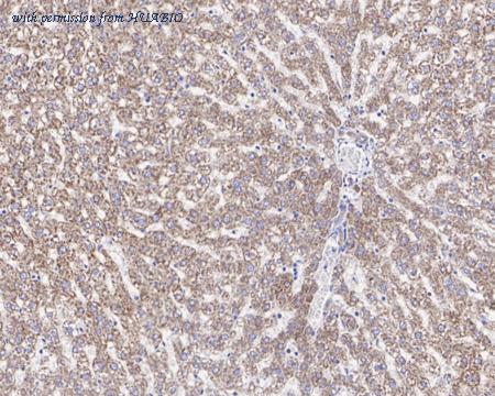
image 2 :

Immunohistochemical analysis of paraffin-embedded human liver tissue with Rabbit anti-REA antibody (HA721588) at 1/1,000 dilution.
The section was pre-treated using heat mediated antigen retrieval with Tris-EDTA buffer (pH 9.0) for 20 minutes. The tissues were blocked in 1% BSA for 20 minutes at room temperature, washed with ddH2O and PBS, and then probed with the primary antibody (HA721588) at 1/1,000 dilution for 1 hour at room temperature. The detection was performed using an HRP conjugated compact polymer system. DAB was used as the chromogen. Tissues were counterstained with hematoxylin and mounted with DPX.
image 3 :

Immunohistochemical analysis of paraffin-embedded rat liver tissue with Rabbit anti-REA antibody (HA721588) at 1/200 dilution.
The section was pre-treated using heat mediated antigen retrieval with Tris-EDTA buffer (pH 9.0) for 20 minutes. The tissues were blocked in 1% BSA for 20 minutes at room temperature, washed with ddH2O and PBS, and then probed with the primary antibody (HA721588) at 1/200 dilution for 1 hour at room temperature. The detection was performed using an HRP conjugated compact polymer system. DAB was used as the chromogen. Tissues were counterstained with hematoxylin and mounted with DPX.
product information
SKU :
HA721588
Target name :
REA
Species reactivity :
Human,Mouse,Rat
Applications :
WB,IHC-P,IF-Cell,FC
Conjugate :
Non-conjugated
Immunogen :
Synthetic peptide within Human REA aa 151-200 / 299.
Uniprot id :
Q99623>SwissProt: Q99623 Human;SwissProt: O35129 Mouse;SwissProt: Q5XIH7 Rat
Host :
Rabbit
Clone number :
JE35-46
Isotype :
IgG
Size :
100μl
List Price :
385.00 USD
Storage Buffer :
1*TBS (pH7.4), 0.05% BSA, 40% Glycerol. Preservative: 0.05% Sodium Azide.
Form :
Liquid
Storage Instruction :
Shipped at 4℃. Store at +4℃ short term (1-2 weeks). It is recommended to aliquot into single-use upon delivery. Store at -20℃ long term.
Purity :
Protein A affinity purified.
Product type :
Recombinant Rabbit monoclonal Antibody
Positive control :
Huh7 cell lysate, HeLa cell lysate, HepG2 cell lysate, PANC-1 cell lysate, RAW264.7 cell lysate, NIH/3T3 cell lysate, PC-12 cell lysate, mouse liver tissue lysate, rat liver tissue lysate, mouse heart tissue lysate, rat heart tissue lysate, mouse testis tissue lysate, rat testis tissue lysate, human liver tissue, rat liver tissue, HeLa.
Molecular wt :
Predicted band size: 33 kDa
Subcellular location :
Mitochondrion inner membrane, Cytoplasm, Nucleus, Cell membrane.
Concentration :
1 mg/mL.
Recommended dilutions :
WB:1:1,000
;IHC-P: 1:200-1:1,000
;IF-Cell: 1:100
;FC: 1:500-1:1,000
Pic img4 :
https://storage.huabio.cn/huabio/productImg/HA721588_4.jpg
Pic legend4 :
Immunocytochemistry analysis of HeLa cells labeling REA with Rabbit anti-REA antibody (HA721588) at 1/100 dilution.
Cells were fixed in 4% paraformaldehyde for 10 minutes at 37 ℃, permeabilized with 0.05% Triton X-100 in PBS for 20 minutes, and then blocked with 2% negative goat serum for 30 minutes at room temperature. Cells were then incubated with Rabbit anti-REA antibody (HA721588) at 1/100 dilution in 2% negative goat serum overnight at 4 ℃. Goat Anti-Rabbit IgG H&L (iFluor™ 488, HA1121) was used as the secondary antibody at 1/1,000 dilution. Nuclear DNA was labelled in blue with DAPI.
Beta tubulin (M1305-2, red) was stained at 1/200 dilution overnight at +4℃. Goat Anti-Mouse IgG H&L (iFluor™ 594, HA1126) was used as the secondary antibody at 1/1,000 dilution.
Pic img5 :
https://storage.huabio.cn/huabio/productImg/HA721588_5.jpg
Pic legend5 :
Flow cytometric analysis of HeLa cells labeling REA.
Cells were fixed and permeabilized. Then stained with the primary antibody (HA721588, 1ug/ml) (red) compared with Rabbit IgG Isotype Control (green). After incubation of the primary antibody at +4℃ for an hour, the cells were stained with a iFluor™ 488 conjugate-Goat anti-Rabbit IgG Secondary antibody (HA1121) at 1/1,000 dilution for 30 minutes at +4℃. Unlabelled sample was used as a control (cells without incubation with primary antibody; black).
more info or order :
company information

HUABIO
Founded in 2007, HUABIO is dedicated to developing high-quality antibodies that advance innovation. We are passionate about the accuracy, efficiency, and consistency of our products. That is why we have invested in new production platforms, like recombinant rabbit monoclonals, alpaca nanobodies, and adopted aggressive QA standards to deliver cutting-edge antibodies with uncompromised quality.
We hope to see you at your next discovery!
We hope to see you at your next discovery!
browse more products
questions and comments
